BRCC3 Antibody
-
中文名稱:BRCC3兔多克隆抗體
-
貨號:CSB-PA002798LA01HU
-
規格:¥440
-
圖片:
-
Western blot
All lanes: BRCC3 antibody at 2µg/ml + K562 whole cell lysate
Secondary
Goat polyclonal to rabbit IgG at 1/15000 dilution
Predicted band size: 37, 34, 24, 29 kDa
Observed band size: 37 kDa -
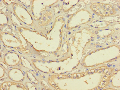
Immunohistochemistry of paraffin-embedded human kidney tissue using CSB-PA002798LA01HU at dilution of 1:100
-
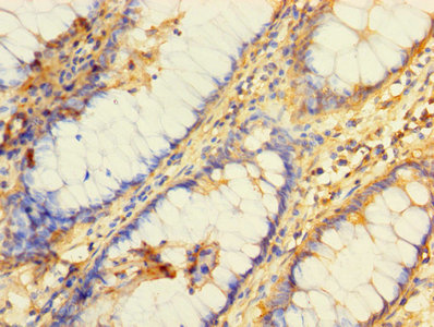
Immunohistochemistry of paraffin-embedded human colon tissue using CSB-PA002798LA01HU at dilution of 1:100
-
Immunohistochemistry of paraffin-embedded human ovarian cancer using CSB-PA002798LA01HU at dilution of 1:100
-
-
其他:
產品詳情
-
產品名稱:Rabbit anti-Homo sapiens (Human) BRCC3 Polyclonal antibody
-
Uniprot No.:
-
基因名:
-
別名:BRCA1-A complex subunit BRCC36 antibody; BRCA1/BRCA2 containing complex subunit 3 antibody; BRCA1/BRCA2 containing complex subunit 36 antibody; BRCA1/BRCA2-containing complex subunit 3 antibody; BRCA1/BRCA2-containing complex subunit 36 antibody; Brcc3 antibody; BRCC3_HUMAN antibody; BRCC36 antibody; BRISC complex subunit BRCC36 antibody; C6.1A antibody; Chromosome X open reading frame 53 antibody; CXorf53 antibody; Lys-63-specific deubiquitinase BRCC36 antibody; OTTHUMP00000061450 antibody
-
宿主:Rabbit
-
反應種屬:Human
-
免疫原:Recombinant Human Lys-63-specific deubiquitinase BRCC36 protein (14-316AA)
-
免疫原種屬:Homo sapiens (Human)
-
標記方式:Non-conjugated
本頁面中的產品,BRCC3 Antibody (CSB-PA002798LA01HU),的標記方式是Non-conjugated。對于BRCC3 Antibody,我們還提供其他標記。見下表:
-
克隆類型:Polyclonal
-
抗體亞型:IgG
-
純化方式:>95%, Protein G purified
-
濃度:It differs from different batches. Please contact us to confirm it.
-
保存緩沖液:Preservative: 0.03% Proclin 300
Constituents: 50% Glycerol, 0.01M PBS, PH 7.4 -
產品提供形式:Liquid
-
應用范圍:ELISA, WB, IHC
-
推薦稀釋比:
Application Recommended Dilution WB 1:1000-1:5000 IHC 1:20-1:200 -
Protocols:
-
儲存條件:Upon receipt, store at -20°C or -80°C. Avoid repeated freeze.
-
貨期:Basically, we can dispatch the products out in 1-3 working days after receiving your orders. Delivery time maybe differs from different purchasing way or location, please kindly consult your local distributors for specific delivery time.
-
用途:For Research Use Only. Not for use in diagnostic or therapeutic procedures.
相關產品
靶點詳情
-
功能:Metalloprotease that specifically cleaves 'Lys-63'-linked polyubiquitin chains. Does not have activity toward 'Lys-48'-linked polyubiquitin chains. Component of the BRCA1-A complex, a complex that specifically recognizes 'Lys-63'-linked ubiquitinated histones H2A and H2AX at DNA lesions sites, leading to target the BRCA1-BARD1 heterodimer to sites of DNA damage at double-strand breaks (DSBs). In the BRCA1-A complex, it specifically removes 'Lys-63'-linked ubiquitin on histones H2A and H2AX, antagonizing the RNF8-dependent ubiquitination at double-strand breaks (DSBs). Catalytic subunit of the BRISC complex, a multiprotein complex that specifically cleaves 'Lys-63'-linked ubiquitin in various substrates. Mediates the specific 'Lys-63'-specific deubiquitination associated with the COP9 signalosome complex (CSN), via the interaction of the BRISC complex with the CSN complex. The BRISC complex is required for normal mitotic spindle assembly and microtubule attachment to kinetochores via its role in deubiquitinating NUMA1. Plays a role in interferon signaling via its role in the deubiquitination of the interferon receptor IFNAR1; deubiquitination increases IFNAR1 activity by enhancing its stability and cell surface expression. Down-regulates the response to bacterial lipopolysaccharide (LPS) via its role in IFNAR1 deubiquitination.
-
基因功能參考文獻:
- this study shows that mitochondrial DNA oxidation induces imbalanced activity of NLRP3/NLRP6 inflammasomes by activation of caspase-8 and BRCC36 in dry eye PMID: 28238526
- In late S/G2 phase, the DNA damage-responsive E3 ligase RNF8 conjugates K63-linked ubiquitin chains to tankyrase 1, while in G1 phase such ubiquitin chains are removed by BRISC, an ABRO1/BRCC36-containing deubiquitinase complex. PMID: 27993934
- findings uncover a pivotal role of BRCC36 DUB in limiting DSB processing and repair and illustrate how cells may physically couple ubiquitin recognition and metabolizing activities for fine tuning of DNA repair processes. PMID: 27288411
- BRCC3 may play a role in B7-H3-induced 5-Fu resistance. PMID: 27175567
- BRCC3 inversely correlated with NPC overall and relapse-free survival. Its expression was higher in radioresistant NPC cells, where BRCC3 knockdown increased the cell survival fraction, attenuated DNA damage repair and resulted in G2/M cell cycle arrest. PMID: 26024915
- BRCC3 likely plays a role as tumor-associated gene in myelodysplastic syndromes and myelodysplastic/myeloproliferative neoplasms. PMID: 26001790
- KIAA0157 allosterically activates a cognate deubiquitinating enzyme (DUB) partner and implicates super dimerization as a new regulatory mechanism underlying BRCC36 DUB activity. PMID: 26344097
- upregulation of BRCC3 expression is associated with glioma. PMID: 25337721
- these data strongly suggest that BRCC3, a deubiquitinating enzyme that is part of the cellular BRCA1 and BRISC complexes, is an important player in angiogenesis and that BRCC3 loss-of-function mutations are associated with moyamoya angiopathy. PMID: 21596366
- NBA1/MERIT40 and BRE interaction is required for the integrity of two distinct deubiquitinating enzyme BRCC36-containing complexes PMID: 21282113
- scaffold proteins not only participate in the regulation of BRCC36 activity but also determine its subcellular localization and cellular functions. PMID: 20656690
- These findings demonstrate that BRCC3 is a novel effector of Raf-1, and implicate a role of BRCC3 in modulation of p-ERK, cell survival and proliferation. PMID: 17143545
- Specificity for K63-linked polyubiquitin is a common property of the JAMM/MPN+ family of deubiquitinating enzymes. PMID: 19214193
顯示更多
收起更多
-
相關疾病:A chromosomal aberration involving BRCC3 is a cause of pro-lymphocytic T-cell leukemia (T-PLL). Translocation t(X;14)(q28;q11) with TCRA.
-
亞細胞定位:Nucleus. Cytoplasm. Cytoplasm, cytoskeleton, spindle pole.
-
蛋白家族:Peptidase M67A family, BRCC36 subfamily
-
組織特異性:Heart, brain, placenta, lung, liver, skeletal muscle, kidney and pancreas. Aberrantly expressed in the vast majority of breast tumors.
-
數據庫鏈接:
Most popular with customers
-
Phospho-YAP1 (S127) Recombinant Monoclonal Antibody
Applications: ELISA, WB, IHC
Species Reactivity: Human
-
-
-
-
-
-
VDAC1 Recombinant Monoclonal Antibody
Applications: ELISA, WB, IHC
Species Reactivity: Human, Mouse, Rat
-
VCP Recombinant Monoclonal Antibody
Applications: ELISA, WB, IHC, IF, IP
Species Reactivity: Human, Rat















