C1QTNF6 Antibody
-
中文名稱:C1QTNF6兔多克隆抗體
-
貨號:CSB-PA874831EA01HU
-
規格:¥440
-
圖片:
-
Western blot
All lanes: C1QTNF6 antibody at 8μg/ml + Mouse brain tissue
Secondary
Goat polyclonal to rabbit IgG at 1/10000 dilution
Predicted band size: 29, 31, 18 kDa
Observed band size: 29 kDa -
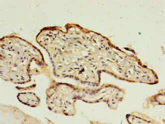
Immunohistochemistry of paraffin-embedded human placenta tissue using CSB-PA874831EA01HU at dilution of 1:100
-
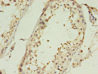
Immunohistochemistry of paraffin-embedded human testis tissue using CSB-PA874831EA01HU at dilution of 1:100
-
-
其他:
產品詳情
-
產品名稱:Rabbit anti-Homo sapiens (Human) C1QTNF6 Polyclonal antibody
-
Uniprot No.:
-
基因名:C1QTNF6
-
別名:C1q and tumor necrosis factor related protein 6 antibody; C1QT6_HUMAN antibody; C1qtnf6 antibody; Complement C1q tumor necrosis factor related protein 6 antibody; Complement C1q tumor necrosis factor-related protein 6 antibody; CTRP 6 antibody; CTRP6 antibody; OTTHUMP00000197772 antibody; OTTHUMP00000197774 antibody; PRO1151 antibody; UNQ581 antibody; ZACRP6 antibody
-
宿主:Rabbit
-
反應種屬:Human, Mouse
-
免疫原:Recombinant Human Complement C1q tumor necrosis factor-related protein 6 protein (47-278AA)
-
免疫原種屬:Homo sapiens (Human)
-
標記方式:Non-conjugated
本頁面中的產品,C1QTNF6 Antibody (CSB-PA874831EA01HU),的標記方式是Non-conjugated。對于C1QTNF6 Antibody,我們還提供其他標記。見下表:
-
克隆類型:Polyclonal
-
抗體亞型:IgG
-
純化方式:>95%, Protein G purified
-
濃度:It differs from different batches. Please contact us to confirm it.
-
保存緩沖液:Preservative: 0.03% Proclin 300
Constituents: 50% Glycerol, 0.01M PBS, PH 7.4 -
產品提供形式:Liquid
-
應用范圍:ELISA, WB, IHC
-
推薦稀釋比:
Application Recommended Dilution WB 1:1000-1:5000 IHC 1:20-1:200 -
Protocols:
-
儲存條件:Upon receipt, store at -20°C or -80°C. Avoid repeated freeze.
-
貨期:Basically, we can dispatch the products out in 1-3 working days after receiving your orders. Delivery time maybe differs from different purchasing way or location, please kindly consult your local distributors for specific delivery time.
-
用途:For Research Use Only. Not for use in diagnostic or therapeutic procedures.
相關產品
靶點詳情
-
基因功能參考文獻:
- The results establish CTRP6 as a novel metabolic/immune regulator linking obesity to adipose tissue inflammation and insulin resistance. PMID: 28726640
- We found both the rs229527 allele within C1QTNF6 (odds ratio [OR] = 1.23, confidence interval [95% CI]: 1.12-1.33, pAllelic = 4.60 . 10-6) and the rs2284038 allele within RAC2 (OR = 1.10, 95% CI: 1.01-0.19, pAllelic = 3.00 . 10-2) showed significant associations with Graves' Disease susceptibility. PMID: 28665696
- CTRP6 expression was decreased in scar tissues and TGF-beta1-treated dermal fibroblasts. CTRP6 inhibits TGF-beta1-induced the proliferation of dermal fibroblasts. PMID: 27155158
- CTRP6 inhibits the proliferation and migration of ovarian cancer cells via blocking IL-8/VEGF pathway. PMID: 26648301
- CTRP6 is expressed in human synoviocytes, and CTRP6 levels are increased in RA patients. PMID: 26404464
- C1qTNF6 is overexpressed and possibly contributes to tumor angiogenesis by activating the Akt pathway in many hepatocellular carcinomas. PMID: 21508531
顯示更多
收起更多
-
亞細胞定位:Secreted.
-
數據庫鏈接:
Most popular with customers
-
-
YWHAB Recombinant Monoclonal Antibody
Applications: ELISA, WB, IHC, IF, FC
Species Reactivity: Human, Mouse, Rat
-
Phospho-YAP1 (S127) Recombinant Monoclonal Antibody
Applications: ELISA, WB, IHC
Species Reactivity: Human
-
-
-
-
-















