C1QTNF9 Antibody
-
中文名稱:C1QTNF9兔多克隆抗體
-
貨號:CSB-PA003654PA01HU
-
規格:¥440
-
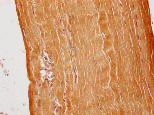
圖片:
-
IHC image of CSB-PA003654PA01HU diluted at 1:100 and staining in paraffin-embedded human skeletal muscle tissue performed on a Leica BondTM system. After dewaxing and hydration, antigen retrieval was mediated by high pressure in a citrate buffer (pH 6.0). Section was blocked with 10% normal goat serum 30min at RT. Then primary antibody (1% BSA) was incubated at 4°C overnight. The primary is detected by a Goat anti-rabbit polymer IgG labeled by HRP and visualized using 0.05% DAB.
-
-
其他:
產品詳情
-
產品名稱:Rabbit anti-Homo sapiens (Human) C1QTNF9 Polyclonal antibody
-
Uniprot No.:
-
基因名:C1QTNF9
-
別名:Complement C1q and tumor necrosis factor-related protein 9A (Complement C1q and tumor necrosis factor-related protein 9), C1QTNF9, C1QTNF9A
-
宿主:Rabbit
-
反應種屬:Human
-
免疫原:Recombinant Human Complement C1q and tumor necrosis factor-related protein 9A protein (58-72aa)
-
免疫原種屬:Homo sapiens (Human)
-
標記方式:Non-conjugated
本頁面中的產品,C1QTNF9 Antibody (CSB-PA003654PA01HU),的標記方式是Non-conjugated。對于C1QTNF9 Antibody,我們還提供其他標記。見下表:
-
克隆類型:Polyclonal
-
抗體亞型:IgG
-
純化方式:>95%, Protein G purified
-
濃度:It differs from different batches. Please contact us to confirm it.
-
保存緩沖液:Preservative: 0.03% Proclin 300
Constituents: 50% Glycerol, 0.01M PBS, pH 7.4 -
產品提供形式:Liquid
-
應用范圍:ELISA, IHC
-
推薦稀釋比:
Application Recommended Dilution IHC 1:100-1:500 -
Protocols:
-
儲存條件:Upon receipt, store at -20°C or -80°C. Avoid repeated freeze.
-
貨期:Basically, we can dispatch the products out in 1-3 working days after receiving your orders. Delivery time maybe differs from different purchasing way or location, please kindly consult your local distributors for specific delivery time.
-
用途:For Research Use Only. Not for use in diagnostic or therapeutic procedures.
相關產品
靶點詳情
-
功能:Probable adipokine. Activates AMPK, AKT, and p44/42 MAPK signaling pathways.
-
基因功能參考文獻:
- suggesting the protective potentials of C1q tumour necrosis factor-related protein 9 in the progression of peripheral arterial disease in human type 2 diabetes mellitus PMID: 29543038
- Authors demonstrate that CTRP9 regulates growth, differentiation, and apoptosis of HaCaT human keratinocytes. We found that CTRP9 augmented expression of transforming growth factor beta 1 (TGFbeta1) by transcription factor activator protein 1 (AP-1) binding activity and phosphorylation of p38 in a dose-dependent manner. PMID: 29145717
- CTRP9 inhibits the cholesterol-induced Vascular smooth muscle cell phenotype switch and cell dysfunction by activating PRKAA1. PMID: 28524645
- results revealed increased circulating levels of CTRP9 in T2DM and CAD individuals which suggests a compensatory response to insulin resistance, inflammatory milieu and endothelial dysfunction; however, more studies are needed to confirm this PMID: 29381773
- CTRP9 levels are elevated in obesity and significantly decrease following weight loss surgery. PMID: 26982010
- Plasma CTRP9 levels are associated with atherosclerosis in diabetic patients without CKD, independently of obesity, adiponectin, and traditional cardiovascular risk factors PMID: 28070523
- The up-regulation of CTRP9 during hypertrophic heart disease facilitates maladaptive cardiac remodeling and left ventricular dysfunction. PMID: 27821723
- Results demonstrate that CTRP9 alleviates hepatic steatosis through relief of endoplasmic reticulum stress via the AMPK-mediated induction of autophagy. PMID: 26419929
- Study demonstrates that CTRP9 attenuates cytokine-induced vascular inflammation in endothelial cells mediated by AMPK activation. PMID: 26523509
- Circulating and coronary CTRP9 plays an important role in the inflammation and coronary atherosclerosis of CAD patients. Serum CTRP9 is an independent protective factor of CAD PMID: 26457306
- Serum CTRP9 concentration was significantly and positively associated with arterial stiffness in patients with type 2 diabetes PMID: 25105737
- Serum CTRP9 concentrations were positively associated with favorable glucose or metabolic phenotypes and absence of metabolic syndrome, independent of serum total adiponectin concentrations. PMID: 24357853
顯示更多
收起更多
-
亞細胞定位:Secreted.
-
組織特異性:Expressed predominantly in adipose tissue.
-
數據庫鏈接:
Most popular with customers
-
-
YWHAB Recombinant Monoclonal Antibody
Applications: ELISA, WB, IHC, IF, FC
Species Reactivity: Human, Mouse, Rat
-
Phospho-YAP1 (S127) Recombinant Monoclonal Antibody
Applications: ELISA, WB, IHC
Species Reactivity: Human
-
-
-
-
-















