C3 Antibody
-
中文名稱:C3兔多克隆抗體
-
貨號:CSB-PA10599A0Rb
-
規格:¥440
-
圖片:
-
Immunohistochemistry analysis of human cervical cancer using CSB-PA10599A0Rb at dilution of 1:100
-
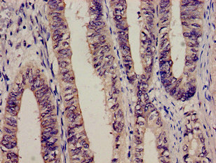
Immunohistochemistry analysis of human colon cancer using CSB-PA10599A0Rb at dilution of 1:100
-
Immunofluorescent analysis of Hela cells using CSB-PA10599A0Rb at dilution of 1:100 and Alexa Fluor 488-congugated AffiniPure Goat Anti-Rabbit IgG(H+L)
-
IHC image of CSB-PA10599A0Rb diluted at 1:300 and staining in paraffin-embedded human ovarian cancer performed on a Leica BondTM system. After dewaxing and hydration, antigen retrieval was mediated by high pressure in a citrate buffer (pH 6.0). Section was blocked with 10% normal goat serum 30min at RT. Then primary antibody (1% BSA) was incubated at 4°C overnight. The primary is detected by a biotinylated secondary antibody and visualized using an HRP conjugated SP system.
-
IHC image of CSB-PA10599A0Rb diluted at 1:300 and staining in paraffin-embedded human breast cancer performed on a Leica BondTM system. After dewaxing and hydration, antigen retrieval was mediated by high pressure in a citrate buffer (pH 6.0). Section was blocked with 10% normal goat serum 30min at RT. Then primary antibody (1% BSA) was incubated at 4°C overnight. The primary is detected by a biotinylated secondary antibody and visualized using an HRP conjugated SP system.
-
-
其他:
產品詳情
-
產品名稱:Rabbit anti-Homo sapiens (Human) C3 Polyclonal antibody
-
Uniprot No.:
-
基因名:
-
別名:ASP antibody; C3 and PZP-like alpha-2-macroglobulin domain-containing protein 1 antibody; C3 antibody; C3adesArg antibody; C3bc antibody; CO3_HUMAN antibody; Complement C3c alpha'' chain fragment 2 antibody
-
宿主:Rabbit
-
反應種屬:Human
-
免疫原:Recombinant Human Complement C3 protein (26-225AA)
-
免疫原種屬:Homo sapiens (Human)
-
標記方式:Non-conjugated
本頁面中的產品,C3 Antibody (CSB-PA10599A0Rb),的標記方式是Non-conjugated。對于C3 Antibody,我們還提供其他標記。見下表:
-
克隆類型:Polyclonal
-
抗體亞型:IgG
-
純化方式:>95%, Protein G purified
-
濃度:It differs from different batches. Please contact us to confirm it.
-
保存緩沖液:Preservative: 0.03% Proclin 300
Constituents: 50% Glycerol, 0.01M PBS, PH 7.4 -
產品提供形式:Liquid
-
應用范圍:ELISA, IHC, IF
-
推薦稀釋比:
Application Recommended Dilution IHC 1:50-1:500 IF 1:50-1:200 -
Protocols:
-
儲存條件:Upon receipt, store at -20°C or -80°C. Avoid repeated freeze.
-
貨期:Basically, we can dispatch the products out in 1-3 working days after receiving your orders. Delivery time maybe differs from different purchasing way or location, please kindly consult your local distributors for specific delivery time.
-
用途:For Research Use Only. Not for use in diagnostic or therapeutic procedures.
相關產品
靶點詳情
-
功能:C3 plays a central role in the activation of the complement system. Its processing by C3 convertase is the central reaction in both classical and alternative complement pathways. After activation C3b can bind covalently, via its reactive thioester, to cell surface carbohydrates or immune aggregates.; Derived from proteolytic degradation of complement C3, C3a anaphylatoxin is a mediator of local inflammatory process. In chronic inflammation, acts as a chemoattractant for neutrophils. It induces the contraction of smooth muscle, increases vascular permeability and causes histamine release from mast cells and basophilic leukocytes.; Acts as a chemoattractant for neutrophils in chronic inflammation.; adipogenic hormone that stimulates triglyceride (TG) synthesis and glucose transport in adipocytes, regulating fat storage and playing a role in postprandial TG clearance. Appears to stimulate TG synthesis via activation of the PLC, MAPK and AKT signaling pathways. Ligand for C5AR2. Promotes the phosphorylation, ARRB2-mediated internalization and recycling of C5AR2.
-
基因功能參考文獻:
- Evasion of C3b deposition at division septa and lateral amplification underneath the capsule requires localization of the FH-binding protein PspC at division sites. PMID: 30139996
- Clinical Manifestation of Patients With Atypical Hemolytic Uremic Syndrome With the C3 p.I1157T Variation in the Kinki Region of Japan. PMID: 29695177
- In our meta-analysis, C3 genetic polymorphisms unveiled a positive effect on the risk of advanced age-related macular degeneration, especially in Caucasians PMID: 30352574
- Case Report: recurrent proliferative glomerulonephritis with persistent isolated C3 deposition. PMID: 29968411
- A phage Ab against C3b that inhibited the alternative complement pathway, but not the classical pathway, was described in 2009. Studies using this Ab in a variety of assays have now demonstrated that it acts primarily by inhibiting tickover, thereby confirming that tickover really exists. PMID: 28855277
- Anti-HLA class I and class II C3d-binding donor-specific antibodies carried a twofold and 1.5-fold increased risk of kidney graft loss, respectively. PMID: 29265514
- Study shows no significant association of the C3 gene with uveitis, suggesting C3 confers either no or limited risk for uveitis susceptibility. PMID: 28408754
- Here we have shown for the first time, that ligand- or insulin-mediated activation of PPARgamma in human hepatoma cell line HepG2 causes the downregulation of C3 gene expression and protein secretion PMID: 29550264
- Single Nucleotide Polymorphism rs11569514 in C3 and haplotypes of C3 variants were associated with schizophrenia in a Han Chinese population. PMID: 29742493
- alphaXbeta2 uses the alphaX alphaI domain to bind iC3b on its C3c moiety at one of two sites. PMID: 28292891
- findings revealed a significant association between variant p.R102G in complement component C3 gene with exudative age-related macular degeneration in the Tunisian population PMID: 28470643
- SNPs within the complement genes may contribute to IA, the first step to type 1 diabetes, with at least one SNP in C3 significantly associated with clinically diagnosed type 1 diabetes. PMID: 27306948
- An increase in serum C4, as well as a decrease in C3, was an important outcome determinant for patients with immunoglobulin A nephropathy. PMID: 28697742
- rituximab was not effective in few cases of complement-mediated C3 glomerulonephritis and dense deposit disease . Despite promising results in immunoglobulin-associated and idiopathic Membranoproliferative glomerulonephritis, current evidence on this treatment remains weak, and controlled and prospective data are urgently needed. PMID: 28573137
- C3F polymorphism is associated with viral infections and protection from rejection after liver transplantation. PMID: 27801525
- Pra1 targets C3 by cleaving C3 at a unique site. This inhibited effector function of the activation fragments. The newly formed C3a-like peptide lacked the C-terminal arginine residue needed for C3a-receptor binding and activation. Pra1 also bound to C3a and C3b generated by human convertases and blocked their effector functions, C3a binding to human C3a receptor, C3 antifungal activity, and C3b deposition. PMID: 28860090
- data provide the first evidence that T17M rhodopsin mutant disrupts C3 secretion via the induction of ROS and the suppression of TWIST1. PMID: 28569420
- High C3 was significantly associated with incidence of diabetes after risk factor adjustments PMID: 29029276
- This study enclosed strong synergistic association of risk genotypes of C3 and CFH Y402H with AMD. We also revealed synergistic influence of CCL2-2518 and the at-risk genotype of the C3 in AMD with an estimated AP = 50.9% (adjusted AP = 24.7%). Present findings show that CCL2-2518 polymorphism is not an innocent bystander in AMD susceptibility when combined with the at-risk genotype of C3 (R102G). PMID: 28095095
- Our study shows C3 to be a relatively strong susceptibility gene for advanced-type-AMD (exudative-and-geographic-atrophy) in an Iranian population. PMID: 27029644
- BBB disruption is present in ACS, and elevated levels of IL-6 and C3 in CSF in diffuse NPSLE PMID: 29036223
- mobilizes dental pulp stem cells and specifically guides pulp fibroblast recruitment PMID: 27497510
- This study uncovers the origin of the effect of ionic strength on C3d-CR2 interaction and deepens the understanding of the molecular mechanism of their interaction, which is valuable for the design of vaccines and small molecule inhibitors. PMID: 27154286
- Studies indicate that the complement response lie the active fragments, C3a and C5a, acting through their specific receptors, C3aR, C5aR1 and C5aR2 to direct the cellular response to inflammation. PMID: 28576324
- Plasma C3b levels are significantly increased in thrombotic microangiopathy patients after allogeneic stem cell transplantation. PMID: 28801815
- Findings indicate that recognition of C3-opsonized Francisella tularensis, but not extensive cytosolic replication, plays an important role in regulating macrophage viability during intracellular infections with type A F. tularensis. PMID: 28739830
- exposure of neural stem cells to neutrophil-synthesized concentrations of C1q and C3a promoted astrogliogenesis and cell migrationtion. PMID: 28687659
- THP appears to participate directly in complement inactivation by its ability to act as a cofactor for C3b degradation. PMID: 28742158
- These data suggest that locally produced C3 is an important prosurvival mechanism in pancreatic beta-cells under a proinflammatory assault. PMID: 28582497
- many types of human cells specifically internalized C3(H2O), the hydrolytic product of C3, and not native C3, from the extracellular milieu. PMID: 28192370
- Decreased C5a expression is associated with increased inflammation in cystic fibrosis. PMID: 28278205
- Results show that expression of C3 was significantly increased in tumors from patients having a poor response to chemoradiation therapy. PMID: 27254108
- C3d-positive glomerular staining is an independent risk factor for the development of end-stage renal disease in ANCA-associated renal vasculitis. PMID: 27257040
- Factor I binds C3b-Factor H between Factor H domains 2 and 3 and a reoriented C3b C-terminal domain and docks onto the first scissile bond, while stabilizing its catalytic domain for proteolytic activity. PMID: 28671664
- The VEGF haplotype TGA could be used as a marker for poor visual prognosis in Tunisian patients with neovascular AMD treated with bevacizumab. PMID: 27116510
- C3 SNP rs2277984 may be a potential biomarker for predicting metabolic syndrome risk in patients receiving clozapine treatment. PMID: 26503818
- Strikingly C3, the central component of complement, plays a crucial role in the adherence of Brugia malayi to vascular endothelial cells. PMID: 28481947
- The uromodulin-CFH interaction enhanced the cofactor activity of CFH for factor I-mediated cleavage of C3b to inactivated C3b. PMID: 27113631
- Generated monoclonal antibody that can only bind to C3d when it manifests itself as the final end product of cleaved C3. PMID: 28174050
- C3 was strongly associated with insulin sensitivity after bariatric surgery. PMID: 28188738
- Study reveals structural differences and similarities between C3(H2O), its progenitor C3, and its functional analogue C3b. Data suggest that C3(H2O) generation is accompanied by the migration of the thioester-containing domain of C3 from one end of the molecule to the other. PMID: 27250206
- human neutrophil peptides 1-3 and complement activation fragments iC3b were higher in patients with acute thrombotic thrombocytopenic purpura - indicating a role of innate immunity in acute autoimmune TTP. PMID: 27662014
- The data suggest a common evolutionary origin for both inhibitory mechanisms, called decay acceleration and cofactor activity, with variable C3b binding through domains at sites ii, iii, and iv, and provide a framework for understanding regulators of complement activation (RCA) disease-related mutations and immune evasion. PMID: 27013439
- CFH, ARMS2, and C3 were associated with specific features of neovascularization at the time patients were enrolled in Comparison of Age-Related Macular Degeneration Treatments Trials . PMID: 27099955
- Elevated C3a is able to predict the mortality following cardiac resynchronization therapy of heart failure PMID: 27492980
- Decreased serum C3 may have a role in renal pathology classification for patients with silent but not with overt lupus nephritis PMID: 27900491
- Decreased transcription of C3R mRNA was found in patients with Type 2 Diabetes as compared to non-diabetics. PMID: 27291248
- analyzed C5 c.2654G>A and C3 gene polymorphism in 220 Chinese patients PMID: 27307199
- this paper shows that chymase may control C3-related pathology in cutaneous vasculitis PMID: 27465068
- Case Report: severe active C3 glomerulonephritis triggered by immune complexes treated with eculizumab. PMID: 27717365
顯示更多
收起更多
-
相關疾?。?/div>Complement component 3 deficiency (C3D); Macular degeneration, age-related, 9 (ARMD9); Hemolytic uremic syndrome atypical 5 (AHUS5)亞細胞定位:Secreted.組織特異性:Plasma. The acylation stimulating protein (ASP) is expressed in adipocytes and released into the plasma during both the fasting and postprandial periods.數據庫鏈接:
Most popular with customers
-
-
YWHAB Recombinant Monoclonal Antibody
Applications: ELISA, WB, IHC, IF, FC
Species Reactivity: Human, Mouse, Rat
-
Phospho-YAP1 (S127) Recombinant Monoclonal Antibody
Applications: ELISA, WB, IHC
Species Reactivity: Human
-
-
-
-
-















