CA14 Antibody
-
中文名稱:CA14兔多克隆抗體
-
貨號:CSB-PA891783ESR2HU
-
規格:¥440
-
圖片:
-
Western blot
All lanes: Carbonic anhydrase 14 antibody at 5μg/ml
Lane 1: Mouse liver tissue
Lane 2: Jurkat whole cell lysate
Secondary
Goat polyclonal to rabbit IgG at 1/10000 dilution
Predicted band size: 38 kDa
Observed band size: 38 kDa -
Immunohistochemistry of paraffin-embedded human breast cancer using CSB-PA891783ESR2HU at dilution of 1:100
-
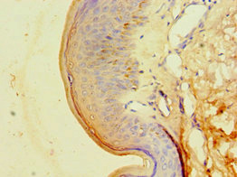
Immunohistochemistry of paraffin-embedded human skin tissue using CSB-PA891783ESR2HU at dilution of 1:100
-
-
其他:
產品詳情
-
產品名稱:Rabbit anti-Homo sapiens (Human) CA14 Polyclonal antibody
-
Uniprot No.:
-
基因名:CA14
-
別名:CA 14 antibody; CA XIV antibody; CA-XIV antibody; CA14 antibody; CAH14_HUMAN antibody; Carbonate dehydratase XIV antibody; Carbonic anhydrase 14 antibody; Carbonic anhydrase XIV antibody; Carbonic dehydratase antibody; CAXIV antibody; UNQ690/PRO1335 antibody
-
宿主:Rabbit
-
反應種屬:Human, Mouse
-
免疫原:Recombinant Human Carbonic anhydrase 14 protein (16-290AA)
-
免疫原種屬:Homo sapiens (Human)
-
標記方式:Non-conjugated
-
克隆類型:Polyclonal
-
抗體亞型:IgG
-
純化方式:Antigen Affinity Purified
-
濃度:It differs from different batches. Please contact us to confirm it.
-
保存緩沖液:PBS with 0.02% sodium azide, 50% glycerol, pH7.3.
-
產品提供形式:Liquid
-
應用范圍:ELISA, WB, IHC
-
推薦稀釋比:
Application Recommended Dilution WB 1:500-1:2000 IHC 1:20-1:200 -
Protocols:
-
儲存條件:Upon receipt, store at -20°C or -80°C. Avoid repeated freeze.
-
貨期:Basically, we can dispatch the products out in 1-3 working days after receiving your orders. Delivery time maybe differs from different purchasing way or location, please kindly consult your local distributors for specific delivery time.
-
用途:For Research Use Only. Not for use in diagnostic or therapeutic procedures.
相關產品
靶點詳情
-
功能:Reversible hydration of carbon dioxide.
-
基因功能參考文獻:
- Data indicate that carbonic anhydrase isoform XIV (hCA XIV) shows high sequence identity with the other membrane-associated carbonic anhydrases (hCAs). PMID: 24374484
- Results indicate that some derivatives showed potent hCA IX and hCA XIV inhibitory effects at nanomolar concentrations as well as low affinity for the ubiquitous hCA II. PMID: 20170095
-
亞細胞定位:Membrane; Single-pass type I membrane protein.
-
蛋白家族:Alpha-carbonic anhydrase family
-
組織特異性:High expression in all parts of the central nervous system and lower expression in adult liver, heart, small intestine, colon, kidney, urinary bladder and skeletal muscle.
-
數據庫鏈接:
Most popular with customers
-
-
YWHAB Recombinant Monoclonal Antibody
Applications: ELISA, WB, IHC, IF, FC
Species Reactivity: Human, Mouse, Rat
-
Phospho-YAP1 (S127) Recombinant Monoclonal Antibody
Applications: ELISA, WB, IHC
Species Reactivity: Human
-
-
-
-
-















