CA8 Antibody
-
中文名稱:CA8兔多克隆抗體
-
貨號:CSB-PA004379ESR1HU
-
規格:¥440
-
圖片:
-
Western blot
All lanes: CA8 antibody at 4μg/ml
Lane 1: Mouse skeletal muscle tissue
Lane 2: Mouse liver tissue
Secondary
Goat polyclonal to rabbit IgG at 1/10000 dilution
Predicted band size: 33 kDa
Observed band size 33 kDa -
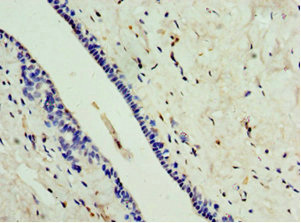
Immunohistochemistry of paraffin-embedded human breast cancer using CSB-PA004379ESR1HU at dilution of 1:100
-
-
其他:
產品詳情
-
產品名稱:Rabbit anti-Homo sapiens (Human) CA8 Polyclonal antibody
-
Uniprot No.:
-
基因名:CA8
-
別名:CA VIII antibody; CA-VIII antibody; Ca8 antibody; CAH8_HUMAN antibody; CALS antibody; Carbonic anhydrase related protein antibody; Carbonic anhydrase VIII antibody; Carbonic anhydrase-related protein antibody; CARP antibody; MGC120502 antibody; MGC99509 antibody
-
宿主:Rabbit
-
反應種屬:Human, Mouse
-
免疫原:Recombinant Human Carbonic anhydrase-related protein (1-290AA)
-
免疫原種屬:Homo sapiens (Human)
-
標記方式:Non-conjugated
-
克隆類型:Polyclonal
-
抗體亞型:IgG
-
純化方式:Antigen Affinity Purified
-
濃度:It differs from different batches. Please contact us to confirm it.
-
保存緩沖液:PBS with 0.02% sodium azide, 50% glycerol, pH7.3.
-
產品提供形式:Liquid
-
應用范圍:ELISA, WB, IHC
-
推薦稀釋比:
Application Recommended Dilution WB 1:200-1:1000 IHC 1:20-1:200 -
Protocols:
-
儲存條件:Upon receipt, store at -20°C or -80°C. Avoid repeated freeze.
-
貨期:Basically, we can dispatch the products out in 1-3 working days after receiving your orders. Delivery time maybe differs from different purchasing way or location, please kindly consult your local distributors for specific delivery time.
-
用途:For Research Use Only. Not for use in diagnostic or therapeutic procedures.
相關產品
靶點詳情
-
功能:Does not have a carbonic anhydrase catalytic activity.
-
基因功能參考文獻:
- we observed increased expression of CA8 in more aggressive types of human osteosarcoma (OS) cells and found that CA8 expression is correlated with disease stages, such that more intense expression occurs in the disease late stage PMID: 26711783
- CA8 overexpression desensitizes neuronal cells to STS induced apoptotic stress and increases cell migration and invasion ability in neuronal cells. PMID: 24794067
- Overexpression of CA8 in MERRF cybrids significantly decreases cell death. PMID: 24476000
- This report expands the neurological and radiological phenotype associated with CA8 mutations. PMID: 21812104
- review article describes the previous data on CARP VIII, including its structure, role in neurodegeneration and cancer; and bioinformatic and expression analyses. PMID: 20819067
- Crystal structure of human carbonic anhydrase-related protein VIII reveals the basis for catalytic silencing PMID: 19360879
- Overexpression of Carbonic anhydrase-related protein VIII promotes colon cancer cell growth PMID: 17219437
- The results suggest that the variations of CA8 and CA10 loci may be important determinants of osteoporosis in Japanese women. PMID: 19172221
- Consanguineous Iraqi family in which affected siblings had mild mental retardation and congenital ataxia characterized by quadrupedal gait. The mutation S100P is associated with proteasome-mediated degradation, and presumably represents a null mutation. PMID: 19461874
顯示更多
收起更多
-
相關疾?。?/div>Cerebellar ataxia, mental retardation, and dysequilibrium syndrome 3 (CMARQ3)蛋白家族:Alpha-carbonic anhydrase family數據庫鏈接:
Most popular with customers
-
-
YWHAB Recombinant Monoclonal Antibody
Applications: ELISA, WB, IHC, IF, FC
Species Reactivity: Human, Mouse, Rat
-
Phospho-YAP1 (S127) Recombinant Monoclonal Antibody
Applications: ELISA, WB, IHC
Species Reactivity: Human
-
-
-
-
-















