CAMK1G Antibody
-
中文名稱:CAMK1G兔多克隆抗體
-
貨號:CSB-PA846679ESR2HU
-
規格:¥440
-
圖片:
-
Western blot
All lanes: CAMK1G antibody at 5µg/ml + HL60 whole cell lysate
Secondary
Goat polyclonal to rabbit IgG at 1/10000 dilution
Predicted band size: 54, 52 kDa
Observed band size: 54 kDa -
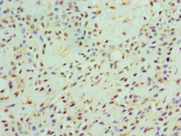
Immunohistochemistry of paraffin-embedded human breast cancer using CSB-PA846679ESR2HU at dilution of 1:100
-
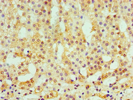
Immunohistochemistry of paraffin-embedded human adrenal gland tissue using CSB-PA846679ESR2HU at dilution of 1:100
-
-
其他:
產品詳情
-
產品名稱:Rabbit anti-Homo sapiens (Human) CAMK1G Polyclonal antibody
-
Uniprot No.:
-
基因名:CAMK1G
-
別名:Calcium/calmodulin dependent protein kinase type 1G antibody; Calcium/calmodulin-dependent protein kinase I-gamma antibody; Calcium/calmodulin-dependent protein kinase Ig antibody; Calcium/calmodulin-dependent protein kinase type 1G antibody; CaM kinase I gamma antibody; CaM kinase IG antibody; CaM-KI gamma antibody; CaMK like CREB kinase III antibody; CaMK-like CREB kinase III antibody; Camk1g antibody; CaMKI gamma antibody; CaMKIG antibody; CLICK III antibody; CLICK3 antibody; dJ272L16.1 antibody; KCC1G_HUMAN antibody; VWS1 antibody
-
宿主:Rabbit
-
反應種屬:Human
-
免疫原:Recombinant Human Calcium/calmodulin-dependent protein kinase type 1G protein (217-476AA)
-
免疫原種屬:Homo sapiens (Human)
-
標記方式:Non-conjugated
-
克隆類型:Polyclonal
-
抗體亞型:IgG
-
純化方式:Antigen Affinity Purified
-
濃度:It differs from different batches. Please contact us to confirm it.
-
保存緩沖液:PBS with 0.02% sodium azide, 50% glycerol, pH7.3.
-
產品提供形式:Liquid
-
應用范圍:ELISA, WB, IHC
-
推薦稀釋比:
Application Recommended Dilution WB 1:500-1:2000 IHC 1:20-1:200 -
Protocols:
-
儲存條件:Upon receipt, store at -20°C or -80°C. Avoid repeated freeze.
-
貨期:Basically, we can dispatch the products out in 1-3 working days after receiving your orders. Delivery time maybe differs from different purchasing way or location, please kindly consult your local distributors for specific delivery time.
-
用途:For Research Use Only. Not for use in diagnostic or therapeutic procedures.
相關產品
靶點詳情
-
功能:Calcium/calmodulin-dependent protein kinase belonging to a proposed calcium-triggered signaling cascade. In vitro phosphorylates transcription factor CREB1.
-
基因功能參考文獻:
- No evidence of association between polymorphisms in CAMK1G and sporadic amyotrophic lateral sclerosis in Han Chinese PMID: 25677198
- CLICK-III/CaMKIgamma is a novel membrane-anchored neuronal Ca2+/calmodulin-dependent protein kinase (CaMK). PMID: 12637513
-
亞細胞定位:Cytoplasm. Golgi apparatus membrane; Peripheral membrane protein. Cell membrane; Peripheral membrane protein.
-
蛋白家族:Protein kinase superfamily, CAMK Ser/Thr protein kinase family, CaMK subfamily
-
組織特異性:Mainly expressed in brain with small amounts in skeletal muscles, kidney, spleen and liver. Strongly expressed in forebrain neocortex, striatum and limbic system.
-
數據庫鏈接:
Most popular with customers
-
-
YWHAB Recombinant Monoclonal Antibody
Applications: ELISA, WB, IHC, IF, FC
Species Reactivity: Human, Mouse, Rat
-
Phospho-YAP1 (S127) Recombinant Monoclonal Antibody
Applications: ELISA, WB, IHC
Species Reactivity: Human
-
-
-
-
-















