CASP1 Antibody
-
中文名稱:CASP1兔多克隆抗體
-
貨號:CSB-PA05824A0Rb
-
規格:¥440
-
圖片:
-
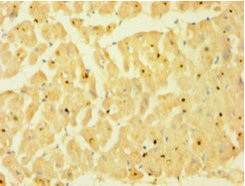
Immunohistochemistry of paraffin-embedded human heart tissue using CSB-PA05824A0Rb at dilution of 1:100
-
Immunohistochemistry of paraffin-embedded human placenta tissue using CSB-PA05824A0Rb at dilution of 1:100
-
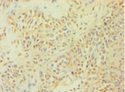
Immunohistochemistry of paraffin-embedded human breast cancer using CSB-PA05824A0Rb at dilution of 1:100
-
-
其他:
產品詳情
-
產品名稱:Rabbit anti-Homo sapiens (Human) CASP1 Polyclonal antibody
-
Uniprot No.:
-
基因名:
-
別名:CASP-1 antibody; CASP1 antibody; CASP1_HUMAN antibody; Caspase 1 antibody; Caspase-1 subunit p10 antibody; ICE antibody; IL-1 beta-converting enzyme antibody; IL-1BC antibody; IL1 beta converting enzyme antibody; IL1B convertase antibody; Interleukin 1 beta convertase antibody; Interleukin 1B converting enzyme antibody; Interleukin-1 beta convertase antibody; Interleukin-1 beta-converting enzyme antibody; p45 antibody
-
宿主:Rabbit
-
反應種屬:Human
-
免疫原:Recombinant Human Caspase-1 protein (120-269AA)
-
免疫原種屬:Homo sapiens (Human)
-
標記方式:Non-conjugated
本頁面中的產品,CASP1 Antibody (CSB-PA05824A0Rb),的標記方式是Non-conjugated。對于CASP1 Antibody,我們還提供其他標記。見下表:
-
克隆類型:Polyclonal
-
抗體亞型:IgG
-
純化方式:>95%, Protein G purified
-
濃度:It differs from different batches. Please contact us to confirm it.
-
保存緩沖液:Preservative: 0.03% Proclin 300
Constituents: 50% Glycerol, 0.01M PBS, PH 7.4 -
產品提供形式:Liquid
-
應用范圍:ELISA, IHC
-
推薦稀釋比:
Application Recommended Dilution IHC 1:20-1:200 -
Protocols:
-
儲存條件:Upon receipt, store at -20°C or -80°C. Avoid repeated freeze.
-
貨期:Basically, we can dispatch the products out in 1-3 working days after receiving your orders. Delivery time maybe differs from different purchasing way or location, please kindly consult your local distributors for specific delivery time.
-
用途:For Research Use Only. Not for use in diagnostic or therapeutic procedures.
相關產品
靶點詳情
-
功能:Thiol protease involved in a variety of inflammatory processes by proteolytically cleaving other proteins, such as the precursors of the inflammatory cytokines interleukin-1 beta (IL1B) and interleukin 18 (IL18) as well as the pyroptosis inducer Gasdermin-D (GSDMD), into active mature peptides. Plays a key role in cell immunity as an inflammatory response initiator: once activated through formation of an inflammasome complex, it initiates a proinflammatory response through the cleavage of the two inflammatory cytokines IL1B and IL18, releasing the mature cytokines which are involved in a variety of inflammatory processes. Cleaves a tetrapeptide after an Asp residue at position P1. Also initiates pyroptosis, a programmed lytic cell death pathway, through cleavage of GSDMD. In contrast to cleavage of interleukins IL1B and IL1B, recognition and cleavage of GSDMD is not strictly dependent on the consensus cleavage site but depends on an exosite interface on CASP1 that recognizes and binds the Gasdermin-D, C-terminal (GSDMD-CT) part. Upon inflammasome activation, during DNA virus infection but not RNA virus challenge, controls antiviral immunity through the cleavage of CGAS, rendering it inactive. In apoptotic cells, cleaves SPHK2 which is released from cells and remains enzymatically active extracellularly.; Apoptosis inactive.; Apoptosis inactive.
-
基因功能參考文獻:
- ABT-737 elicited an anti-atopic dermatitis (AD) activity via suppression of caspase-1 activation in AD in vitro and in vivo models. Therefore, this study provides important information regarding the use of anticancer drugs for controlling allergic inflammatory diseases. PMID: 29957081
- Cryo-EM structures of ASC and NLRC4 CARD filaments reveal a unified mechanism of nucleation and activation of caspase-1 PMID: 30279182
- The increased expression of NLRP3 and caspase-1 in fetal membrane and placental tissues may be associated with the development of premature rupture of membrane. PMID: 29545514
- inflammasome activation and pyroptosis in human microglia and ODCs in vitro after exposure to inflammatory stimuli and demonstrate caspase-1 inhibition by the small-molecule inhibitor VX-765 in both cell types. GSDMD inhibition by siRNA transduction suppressed pyroptosis in human microglia. PMID: 29895691
- Increased production of caspase-1 in the gut-associated lymphoid tissue and peripheral blood of HIV infected patients. PMID: 29672590
- Low CASP1 expression is associated with prostate cancer. PMID: 28388569
- These findings confirm the involvement of caspase-1 in non-classical secretion mechanisms and open novel perspectives for the extracellular function of secreted GBP-1. PMID: 28272793
- this study demonstrates that the G+7/in6A and A10370-G polymorphisms of the CASP1 gene are associated with increased risk of developing acute coronary syndrome in Mexican population PMID: 28456882
- After genotype calling and quality control filtering with exclusion of 3 cases and 3 controls, association analysis was performed across 76 directly genotyped SNPs in NLRP1, CARD, and CASP1 genes, adjusting for age, sex, and population stratification PMID: 29438387
- Caspase-1 role in pyroptosis in glioma cells.Mir-214 regulates caspase-1 expression in glioma. PMID: 28244850
- Data show that cyclic stretch activated the nucleotide-binding oligomerization domain-like receptor containing pyrin domain 1 and 3 (NLRP1 and NLRP3) inflammasomes and induced the release of IL-1beta and pyroptosis via a caspase-1-related mechanism in human periodontal ligament cells (HPDLCs). PMID: 27626170
- Caspase-1 directly cleaves alpha-Synuclein, generating a highly aggregation-prone species in neurons. PMID: 27482083
- the activation of Rho GTPases by the CNF1 toxin during E. coli-triggered bacteremia leads to a GR1(+)cell-mediated efficient bacterial clearing and improves host survival. Host alarm requires the Caspase-1/IL-1beta signaling axis. PMID: 26492464
- Nodakenin inhibited the mRNA expression and production of pro-inflammatory cytokines and caspase-1 activation PMID: 28407357
- sickle red blood cell induced TLR9, NLRP3, Caspase-1, IL-1beta and IL-18 expression and induced IL-1beta, LTB4 and nitrite production in PBMC cultures. PMID: 27045344
- Data show that the serine protease inhibitor B9 (serpinB9) mediated caspase-1 inhibition regulates IL-1beta release in monocytes. PMID: 26992230
- study uncovers a novel mechanism of G9A promoting tumor cell growth and invasion by silencing CASP1, and implies that G9A may serve as a therapeutic target in treating Non-small-cell lung cancer. PMID: 28383547
- Caspase-1 polymorphisms may play a role in Chagas cardiomyopathy development and could serve as markers to identify individuals at higher risk for priority treatment. PMID: 28954073
- besides its role in the inhibition of the NF-kappaB pathway, NLRC3 interferes with the assembly and activity of the NALP3 inflammasome complex by competing with ASC for pro-caspase-1 binding PMID: 28584053
- Data, including data from studies using recombinant fusion forms of GSDMD (gasdermin D), suggest that GSDMD participates in inflammasome-dependent pyroptosis of macrophages in response to various stimuli; this mechanism involves proteolysis of GSDMD by caspase-1 and caspase-11. PMID: 28726636
- Proteases caspase-1 and caspase-8 have redundant roles in cleaving IL-1beta and promoting osteomyelitis. [review] PMID: 27148834
- Patients with NLRP1-associated autoinflammation with arthritis and dyskeratosis syndrome had increased systemic CASP1. PMID: 27965258
- The biochemical function of NLPR3 inflammasomes is to activate caspase-1, which leads to the maturation of interleukin 1 beta and IL-18 and the induction of pyroptosis, a form of cell death. (Review) PMID: 27669650
- The structure of the human caspase-1 CARD domain (caspase-1(CARD)) filament solved by cryo-electron microscopy. PMID: 27043298
- Caspase-1-mediated downregulation of PPARgamma was important in the late stage of monocyte-macrophage differentiation; however, PPARgamma protein levels had little effect on the early stage differentiation. PMID: 28052562
- Inflammasome NLRP3-caspase-1-mediated degradation of smooth muscle cell contractile proteins may contribute to aortic biomechanical dysfunction and aortic aneurysm/dissection development. PMID: 28153878
- Study demonstrates that the expression of the NLRP3-caspase-1-IL-18 axis is highly expressed in the peripheral blood mononuclear cells of patients with bullous pemphigoid (BP), and correlated with disease activity, suggesting its involvement in the pathogenesis and progression of BP. PMID: 27174093
- High expression of CASP1 is associated with osteosarcoma. PMID: 28000894
- This study demonstrated that dysregulated expression of NLRP3-caspase-1-IL-1beta axis was observed in patients with MM, suggesting they might be involved in the pathogenesis of MM. PMID: 26146985
- The NLRP3/caspase-1/IL-1beta axis is active in cartilaginous endplates of patients with Modic changes and inflammatory cascades can exacerbate the cartilaginous endplate degeneration which may act as a trigger for intervertebral disc degeneration and low back pain. PMID: 27146654
- High expression of NLRP3, NLRC4, and CASP1 in background non-tumorous liver is significantly correlated with poor prognosis of patients after resection of hepatocellular carcinoma. PMID: 28011505
- The proteins of NLRP3, ASC, and caspase-1 were observed in infiltrating inflammatory cells in cholesteatoma and chronic otitis media. PMID: 26457439
- The results indicate that acteoside may act as a regulator of the IL-32 induced immune responses. PMID: 26453510
- These results suggest that released caspase-1 exists in a unique complex that is functionally stable and protected from immunodepletion whereas cell-extract generated active caspase-1 is rapidly inhibited in the cytosolic milieu. PMID: 26599267
- Genetic polymorphisms in Nalp3 and caspase-1 may be associated with individual susceptibility to silicosis, especially when the polymorphisms interact with age, cumulative dust exposure, or smoking status. PMID: 26496436
- In contrast, inhibition of the protease activity of Kgp, RgpA or RgpB increased the human caspase-1-activating potential of wild-type Porphyromonas gingivalis, indicating an inhibitory effect of the collaborative action of gingipains. PMID: 25759090
- NLRP3 and caspase-1 are expressed in the odontoblast layers in normal human dental pulp tissue, whereas in inflamed pulp tissue, the odontoblast layers are disrupted and dental pulp cells are positive for NLRP3 and caspase-1. PMID: 25684031
- the rs713875 IBD risk polymorphism increases MTMR3 expression, which modulates pattern recognition receptor (PRR)-induced outcomes, including increased induced caspase-1 activation PMID: 26240347
- specific caspase cleavage sites in Kaposi's sarcoma-associated herpesvirus latency-associated nuclear antigen function to blunt apoptosis as well as interfere with the caspase-1-mediated inflammasome PMID: 26218605
- three cofactor independent human monoclonal aPL can induce transcription of NLRP3 and caspase-1 resulting in inflammasome activation specific for NLRP3, which depends fully on activation of endosomal NADPH-oxidase-2 (NOX2) by aPL PMID: 25589411
- Internalized Cryptococcus neoformans Activates the Canonical Caspase-1 and the Noncanonical Caspase-8 Inflammasomes. PMID: 26466953
- In patients with HIV, serum CASP1 levels in a group with high CD4 cell counts increased rapidly then decreased within a short time during early HIV-1 infection. In contrast, CASP1 levels in the CD4Low group were increased after 1 year of HIV-1 infection. PMID: 25806508
- production of 20-kDa IL-1beta may act to limitIL-1beta signaling by reducing the pool of pro-IL-1beta availability for caspase-1 cleavage PMID: 26324708
- The study shows that A1AT does not inhibit human monocyte caspase-1. PMID: 25658455
- Data suggest activation of CASP1 (caspase-1) and secretion of IL18 (interleukin 18)/IFNG (interferon-gamma) in mucosal explants of ileum/colon are related to intensity of inflammatory lesions in patients with active, long-standing Crohn's disease. PMID: 26168332
- Interleukin-1alpha Activity in Necrotic Endothelial Cells Is Controlled by Caspase-1 Cleavage of Interleukin-1 Receptor-2 PMID: 26324711
- the inflammatory CASP1 is linked to several genes involved in cholesterol homeostasis. These correlations resulted in altered GBM (Glioblastoma Multiforme), in particular for CASP1 PMID: 25330190
- caspase 1 was higher in degenerated intervertebral discs than in healthy controls. PMID: 25284686
- ASC interacts with NALP3 and caspase-1 via different domains. PMID: 25567507
- Changes in the tertiary structure of mutated pyrin B30.2 domain interrupting the formation of the pyrin-caspase-1 complex are related to the manifestations of Mediterranean familial fever. PMID: 26510601
顯示更多
收起更多
-
亞細胞定位:Cytoplasm. Cell membrane.
-
蛋白家族:Peptidase C14A family
-
組織特異性:Expressed in larger amounts in spleen and lung. Detected in liver, heart, small intestine, colon, thymus, prostate, skeletal muscle, peripheral blood leukocytes, kidney and testis. No expression in the brain.
-
數據庫鏈接:
Most popular with customers
-
-
YWHAB Recombinant Monoclonal Antibody
Applications: ELISA, WB, IHC, IF, FC
Species Reactivity: Human, Mouse, Rat
-
Phospho-YAP1 (S127) Recombinant Monoclonal Antibody
Applications: ELISA, WB, IHC
Species Reactivity: Human
-
-
-
-
-















