CASP9 Antibody
-
中文名稱:CASP9兔多克隆抗體
-
貨號:CSB-PA004555LA01HU
-
規格:¥440
-
圖片:
-
Western Blot
Positive WB detected in: L02 whole cell lysate, Raji whole cell lysate, Mouse heart tissue
All lanes: CASP9 antibody at 1:2000
Secondary
Goat polyclonal to rabbit IgG at 1/50000 dilution
Predicted band size: 47, 31, 18, 37 kDa
Observed band size: 47 kDa -
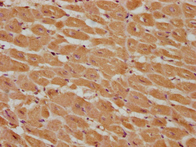
IHC image of CSB-PA004555LA01HU diluted at 1:285 and staining in paraffin-embedded human heart tissue performed on a Leica BondTM system. After dewaxing and hydration, antigen retrieval was mediated by high pressure in a citrate buffer (pH 6.0). Section was blocked with 10% normal goat serum 30min at RT. Then primary antibody (1% BSA) was incubated at 4°C overnight. The primary is detected by a biotinylated secondary antibody and visualized using an HRP conjugated SP system.
-
Immunofluorescence staining of HepG2 cells with CSB-PA004555LA01HU at 1:142, counter-stained with DAPI. The cells were fixed in 4% formaldehyde, permeabilized using 0.2% Triton X-100 and blocked in 10% normal Goat Serum. The cells were then incubated with the antibody overnight at 4°C. The secondary antibody was Alexa Fluor 488-congugated AffiniPure Goat Anti-Rabbit IgG(H+L).
-
-
其他:
產品詳情
-
產品名稱:Rabbit anti-Homo sapiens (Human) CASP9 Polyclonal antibody
-
Uniprot No.:
-
基因名:
-
別名:APAF-3 antibody; Apoptotic protease Mch-6 antibody; Apoptotic protease-activating factor 3 antibody; CASP-9 antibody; CASP9 antibody; CASP9_HUMAN antibody; Caspase 9 antibody; Caspase-9 subunit p10 antibody; ICE-LAP6 antibody; ICE-like apoptotic protease 6 antibody
-
宿主:Rabbit
-
反應種屬:Human, Mouse
-
免疫原:Recombinant Human Caspase-9 protein (113-324AA)
-
免疫原種屬:Homo sapiens (Human)
-
標記方式:Non-conjugated
本頁面中的產品,CASP9 Antibody (CSB-PA004555LA01HU),的標記方式是Non-conjugated。對于CASP9 Antibody,我們還提供其他標記。見下表:
-
克隆類型:Polyclonal
-
抗體亞型:IgG
-
純化方式:>95%, Protein G purified
-
濃度:It differs from different batches. Please contact us to confirm it.
-
保存緩沖液:Preservative: 0.03% Proclin 300
Constituents: 50% Glycerol, 0.01M PBS, pH 7.4 -
產品提供形式:Liquid
-
應用范圍:ELISA, WB, IHC, IF
-
推薦稀釋比:
Application Recommended Dilution WB 1:1000-1:5000 IHC 1:200-1:500 IF 1:50-1:200 -
Protocols:
-
儲存條件:Upon receipt, store at -20°C or -80°C. Avoid repeated freeze.
-
貨期:Basically, we can dispatch the products out in 1-3 working days after receiving your orders. Delivery time maybe differs from different purchasing way or location, please kindly consult your local distributors for specific delivery time.
-
用途:For Research Use Only. Not for use in diagnostic or therapeutic procedures.
相關產品
靶點詳情
-
功能:Involved in the activation cascade of caspases responsible for apoptosis execution. Binding of caspase-9 to Apaf-1 leads to activation of the protease which then cleaves and activates caspase-3. Promotes DNA damage-induced apoptosis in a ABL1/c-Abl-dependent manner. Proteolytically cleaves poly(ADP-ribose) polymerase (PARP).; Isoform 2 lacks activity is an dominant-negative inhibitor of caspase-9.
-
基因功能參考文獻:
- CASP9 mutations cause recurrent folate-resistant neural tube defects. PMID: 29358613
- Study described rare mutations of the apoptosis gene CASP9 identified in neural tube defect cases and demonstrated that the p.Y251C variant impairs the protein's apoptotic function, suggesting it is a loss-of-function variation; also showed that the p.R191G variant inhibited apoptosis under folate-deficient condition, highlighting the effect of gene-environment interactions in this complex disease. PMID: 29365368
- these results revealed that caspase9 and activated caspase3 predominantly regulates cell apoptosis in human dental pulp stem cells from deciduous teeth. PMID: 29845240
- Low CASP9 expression is associated with Colorectal Cancer. PMID: 29801534
- the results of the present study suggest that miR-96-5p, which is frequently upregulated in hepatocellular carcinoma (HCC), inhibits apoptosis by targeting CASP9. Therefore, miR-96-5p may be a potential therapeutic target for HCC PMID: 29658604
- CASP9 germline mutations may have played a role at least in part to the susceptibility of development of gliomas in a Li-Fraumeni-like family lacking a TP53 germline mutation. PMID: 27935156
- The caspase 9 level was significantly lower and related with oxidant status in patients with polycystic ovary syndrome, while the circulating levels of caspases 3 and 7 were statistically similar in both PCOS and control groups. PMID: 27899026
- Results indicate that the apoptotic protease-activating factor 1 (Apaf-1) apoptosome activates caspase-9 in part through sequestration of the inhibitory caspase recruitment domains (CARDs) domain. PMID: 28143931
- DES1 plays a key role in palmitic acid-mediated caspase 9 and caspase 3 activation. PMID: 27364952
- CASP9 expression associated with inhibition of miR-182. PMID: 28298075
- CASP-9 polymorphism is associated with Primary Brain Tumors. PMID: 28870924
- High CASP9 expression is associated with Lung Tumorigenesis. PMID: 27197231
- knockdown of HMGI-C led to the significant induction of apoptosis via mitochondrial pathway by inducing miR34a and cell cycle arrest in MDA-MB-468 cells in vitro. PMID: 27245202
- Results suggest that the formation of the apoptosome accompanied by the activation of caspase-9 may occur in brains affected by multiple system atrophy (MSA), and that a mitochondria-dependent apoptotic pathway may be partially associated with the pathogenesis of MSA. PMID: 27345387
- Using recombinant proteins, this study investigated the influence of survivin on the inhibition of caspase-9 by XIAP in vitro. With a fluorescence-based assay for the apoptosome-stimulated activity of caspase-9, the study shows that survivin has no effect on the inhibition of caspase-9 by XIAP, neither in the presence nor in the absence of Smac. PMID: 27865841
- Data show that caspase 9 (CASP9) single nucleotide polymorphism (rs1052576) TT genotype was seemed to be associated with higher risk of pathological stage. PMID: 28358701
- The content of caspase 9 gene transcripts in peripheral blood leukocytes and plasma level of TNF-alpha were significantly higher in healthy subjects carrying C allele than in carriers of GG genotype. PMID: 28091912
- Results show that mRNA and protein levels of HAX-1 in prostate cancer cell lines were significantly higher and inhibits cell apoptosis through caspase-9 inactivation. PMID: 26323553
- Renal CASP9 expression is increased in diabetes and increased as diabetic nephropathy progressed. PMID: 27141571
- Inhibition of Caspase-9 restricted, while Apaf-1 promoted, Chlamydia pneumoniae infection in HEp-2, HeLa, and mouse epithelial fibroblast (MEF) cells. PMID: 26290316
- Levels of caspase-9, caspase-10, MAVS, and pIRF7 in mononuclear cells and the disease activity index (SLEDAI) in the systemic lupus erythematosus patients were determined. PMID: 25370148
- Expression of mutant caspase-9 correlated with a downregulation of BAFFR (B-cell-activating factor belonging to the TNF family (BAFF) receptor) in B cells and ICOS (inducible T-cell costimulator) in T cells. PMID: 25569260
- caspase-9 mediates Puma activation to determine the threshold for overcoming chemoresistance in cancer cells. PMID: 25356864
- we suggest that phosphorylation of caspase-9 may be a useful tool to assess the state of gastrointestinal cancer and the effects of anti-cancer therapy. PMID: 25031754
- DNA fragmentation, DNA damage, caspase-9 activation and a large increase in the sub-G1 and S cell cycle phases confirmed the occurrence of apoptosis in a time-dependent manner. PMID: 24377517
- Data indicate a significant association of two single nucleotide polymorphism (SNPs) in aspase9 (CASP9) and two haplotypes of the four SNP combinations with acute myeloid leukemia (AML) susceptibility. PMID: 24879622
- silica and double-stranded RNA (dsRNA) synergistically induces caspase-9-dependent apoptosis, but not inflammasome activation, of bronchial epithelial cells PMID: 24661197
- that KAT5 RNAi may result in cleaved casp9 upregulation through p38MAPK activation in Gallbladder carcinoma cells PMID: 24427328
- overexpression of iASPP and the low expression of caspase-9 in esophageal cancer are closely correlated with tumor invasion and metastasis PMID: 24405603
- the Atg7.caspase-9 complex performs a dual function of linking caspase-9 to the autophagic process while keeping in check its apoptotic activity. PMID: 24362031
- The inhibitory effect of Ab42 on the apoptotic pathway is associated with its interaction with procaspase-9 and consequent inhibition of Apaf-1 apoptosome assembly PMID: 24424093
- The rs4645981 T allele and the rs4645981 T allele carrier might increase the risk of cancer, but the rs1052576 A allele, rs1052576 A carrier, rs2308941 T allele, and rs2308941 T carrier might be protective. PMID: 23479167
- Interactions of caspase-9 with the BIR3 (baculovirus inhibitory repeat 3) exosite are essential for high-affinity binding. PMID: 23203690
- In oligozoospermia, spermatogonia presented significant increased active caspase-9 PMID: 23359247
- The change of caspase-9 expression from colon mucosa, adenoma to cancer suggested it may be involved in the carcinogenesis of colon cancer. PMID: 24592539
- dCas9 effectors can exert positive or negative regulation on the expression of developmentally relevant genes, which can influence cell differentiation status when impinging on a key node in the regulatory network that governs the cell state. PMID: 24346702
- BIRC5-31CC and CASP9+83CT/TT genotypes were associated with an increased risk for renal cell carcinoma development in the female group of our southern European study population. PMID: 23645041
- OSU-03012 induces apoptosis in human esophageal carcinoma cells through a p53/Bax/cytochrome c/caspase-9-dependent pathway. PMID: 23652278
- EGCG, both alone and in combination with cisplatin, promoted the expression of the pro-apoptotic splice isoform of caspase 9 PMID: 23615977
- The results demonstrated that 50 microg/mL beta-glucan significantly repressed the expression of the ERCC5 gene, no change in CASP9 expression, and induction of the CYP1A1 gene. PMID: 23424205
- CASP-9 polymorphisms are associated with susceptibility to low back pain during military training in Chinese soldiers. PMID: 23725396
- Results found that polymorphisms of CASP9 and CASP10 genes may not contribute to CRC risk in Chinese population. PMID: 23303631
- Proteolytic processing of the caspase-9 zymogen is required for apoptosome-mediated activation of caspase-9 PMID: 23572523
- Polymorphism in Caspase 9 (-1263 A>G) was observed to be associated with susceptibility of papillary thyroid carcinoma (PTC). PMID: 22120515
- Induction of caspase-9b expression is due to activation of hnRNP L via phosphorylation to compete/inhibit hnRNP U association with exon 3 of Casp9 mRNA. PMID: 23396972
- These results clearly indicated that olive oil phenolic extract and gallic acid were able to inhibit the caspase 9 dependent apoptosis pathway in HeLa cells. PMID: 22086301
- The overexpression of c-Jun, p73 and Casp-9 in thymic epithelial tumors is closely related with the pathogenesis and biological behavior of the neoplasms. PMID: 22974165
- Data suggest that CD95L-triggered endogenous ceramide increase in Jurkat leukemia T cells is likely involved in the pro-apoptotic mitochondrial pathway leading to caspase-9 activation. PMID: 22306364
- caspase-9 is the most important regulator in DLD-1, HCT-116, and HeLa cells PMID: 23038270
- CASP9 promoter polymorphisms rs4645978 and rs4645981 are associated with breast cancer susceptibility; CASP9 transcriptional regulation is an important factor during breast cancer development PMID: 22981751
顯示更多
收起更多
-
蛋白家族:Peptidase C14A family
-
組織特異性:Ubiquitous, with highest expression in the heart, moderate expression in liver, skeletal muscle, and pancreas. Low levels in all other tissues. Within the heart, specifically expressed in myocytes.
-
數據庫鏈接:
Most popular with customers
-
-
YWHAB Recombinant Monoclonal Antibody
Applications: ELISA, WB, IHC, IF, FC
Species Reactivity: Human, Mouse, Rat
-
Phospho-YAP1 (S127) Recombinant Monoclonal Antibody
Applications: ELISA, WB, IHC
Species Reactivity: Human
-
-
-
-
-















