CBX7 Antibody
-
中文名稱:CBX7兔多克隆抗體
-
貨號:CSB-PA166159
-
規格:¥1100
-
圖片:
-
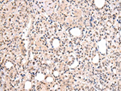
The image on the left is immunohistochemistry of paraffin-embedded Human thyroid cancer tissue using CSB-PA166159(CBX7 Antibody) at dilution 1/20, on the right is treated with synthetic peptide. (Original magnification: ×200)
-
Gel: 12%SDS-PAGE, Lysate: 40 μg, Lane 1-4: Lovo, 293T, Jurkat and hela cell, Primary antibody: CSB-PA166159(CBX7 Antibody) at dilution 1/200 dilution, Secondary antibody: Goat anti rabbit IgG at 1/8000 dilution, Exposure time: 30 seconds
-
-
其他:
產品詳情
-
Uniprot No.:
-
基因名:CBX7
-
別名:CBX7 antibody; Chromobox protein homolog 7 antibody
-
宿主:Rabbit
-
反應種屬:Human,Mouse,Rat
-
免疫原:Synthetic peptide of Human CBX7
-
免疫原種屬:Homo sapiens (Human)
-
標記方式:Non-conjugated
-
抗體亞型:IgG
-
純化方式:Antigen affinity purification
-
濃度:It differs from different batches. Please contact us to confirm it.
-
保存緩沖液:-20°C, pH7.4 PBS, 0.05% NaN3, 40% Glycerol
-
產品提供形式:Liquid
-
應用范圍:ELISA,WB,IHC
-
推薦稀釋比:
Application Recommended Dilution ELISA 1:2000-1:5000 WB 1:500-1:2000 IHC 1:20-1:100 -
Protocols:
-
儲存條件:Upon receipt, store at -20°C or -80°C. Avoid repeated freeze.
-
貨期:Basically, we can dispatch the products out in 1-3 working days after receiving your orders. Delivery time maybe differs from different purchasing way or location, please kindly consult your local distributors for specific delivery time.
-
用途:For Research Use Only. Not for use in diagnostic or therapeutic procedures.
相關產品
靶點詳情
-
功能:Component of a Polycomb group (PcG) multiprotein PRC1-like complex, a complex class required to maintain the transcriptionally repressive state of many genes, including Hox genes, throughout development. PcG PRC1 complex acts via chromatin remodeling and modification of histones; it mediates monoubiquitination of histone H2A 'Lys-119', rendering chromatin heritably changed in its expressibility. Promotes histone H3 trimethylation at 'Lys-9' (H3K9me3). Binds to trimethylated lysine residues in histones, and possibly also other proteins. Regulator of cellular lifespan by maintaining the repression of CDKN2A, but not by inducing telomerase activity.
-
基因功能參考文獻:
- Study found that Cbx7 was downregulated in glioma cell lines and tumors and identifies it as an inhibitor of glioma cell migration through its inhibitory effect on YAP/TAZ-CTGF-hippo signaling axis and underscores the importance of epigenetic inactivation of Cbx7 in gliomagenesis. PMID: 27291091
- CBX7 inhibits epithelial-to-mesenchymal transformation and invasion in glioma PMID: 28388562
- our results validate the assumption that CBX7 is a tumor suppressor of gliomas. Moreover, CBX7 is a potential and novel prognostic biomarker in glioma patients. We also clarified that CBX7 silences CCNE1 via the combination of CCNE1 promoter and the recruitment of HDAC2. PMID: 28460453
- Suggest CBX7 is an important tumor suppressor that negatively modulates PTEN/Akt signaling during pancreatic tumorigenesis. PMID: 28030829
- Data suggest that miR-375 leads to the activation of oncogenic signatures and tumor progression by targeting chromobox homolog 7 protein (CBX7). PMID: 27449098
- the miR-9 family of microRNAs (miRNAS) downregulates the expression of CBX7. In turn, CBX7 represses miR-9-1 and miR-9-2 as part of a regulatory negative feedback loop. PMID: 26416703
- these results suggest that the retention of CBX7 expression may play a role in the modulation of chemosensitivity of lung cancer patients to the treatment with irinotecan and etoposide PMID: 26216446
- Cbx7 is downregulated in CCs, and Cbx7 expression-low tumors correlated with lymph metastasis and poor overall survival of CC patients. PMID: 25881303
- CBX7/HMGA1b/NF-kappaB could take part in the same transcriptional mechanism that finally leads to the regulation of SPP1 gene expression in papillary thyroid carcinoma. PMID: 25595895
- Aberrantly expressed miR-9 contributes to T24 cells invasion, partly through directly down-regulating CBX7 protein expression in bladder transitional cell carcinoma PMID: 25596753
- Results suggest that the loss of CBX7 expression might play a critical role in advanced stages of carcinogenesis by deregulating the expression of specific effector genes. PMID: 24865347
- we showed for the first time that CBX7 was associated with a decreased prognosis for clear cell adenocarcinoma of the ovary PMID: 24375438
- cbx7 expression was significantly downregulated in multiple human cancer tissues. PMID: 22041561
- MicroRNA regulation of Cbx7 mediates a switch of Polycomb orthologs during ESC differentiation. PMID: 22226354
- These data suggest that CBX7 is a tumor suppressor and that its loss plays a key role in the pathogenesis of cancer. PMID: 22214847
- found that expression of CBX7 in gastric carcinoma tissues with p16 methylation was significantly lower than that in their corresponding normal tissues, which showed a negative correlation with transcription of p16 in gastric mucosa PMID: 21060834
- CBX7 acts as an oncogene in the carcinogenesis and progression of gastric cancer, and it may regulate tumorigenesis, cell migration and cancer metastasis partially via p16(INK4a) regulatory pathway. PMID: 20723236
- data reported indicate that the evaluation of CBX7 expression may represent a valid tool in the prognosis of colon cancer since a reduced survival of colorectal cancer patients is associated with the loss of CBX7 expression. PMID: 20542683
- Data show that chromobox 7 (CBX7) within the polycomb repressive complex 1 binds to ANRIL, and both CBX7 and ANRIL are found at elevated levels in prostate cancer tissues. PMID: 20541999
- In human glioma, CBX7 is down-regulated by the inhibition of miR-9 at posttranscriptional level. PMID: 18686603
- controls cellular lifespan through regulation of both the p16(Ink4a)/Rb and the Arf/p53 pathways PMID: 14647293
- CBX7 represses melanoma, p16, inhibits CDK4 and p14Arf expression in normal and tumor-derived prostate cells, affecting their growth PMID: 15897876
- CBX7 is a chromobox protein causally linked to cancer development PMID: 17374722
- Loss of the CBX7 gene expression correlates with a highly malignant phenotype in thyroid cancer PMID: 18701502
- Downregulation of CBX7 is associated with urothelial tumor progression. PMID: 18984978
- the ability of CBX7 to positively regulate E-cadherin expression by interacting with HDAC2 and inhibiting its activity on the E-cadherin promoter would account for the correlation between the loss of CBX7 expression and a highly malignant phenotype PMID: 19706751
顯示更多
收起更多
-
亞細胞定位:Nucleus.
-
數據庫鏈接:
Most popular with customers
-
-
YWHAB Recombinant Monoclonal Antibody
Applications: ELISA, WB, IHC, IF, FC
Species Reactivity: Human, Mouse, Rat
-
Phospho-YAP1 (S127) Recombinant Monoclonal Antibody
Applications: ELISA, WB, IHC
Species Reactivity: Human
-
-
-
-
-















