CCKBR Antibody
-
中文名稱:CCKBR兔多克隆抗體
-
貨號:CSB-PA12619A0Rb
-
規格:¥440
-
圖片:
-
IHC image of CSB-PA12619A0Rb diluted at 1:400 and staining in paraffin-embedded human pancreatic tissue performed on a Leica BondTM system. After dewaxing and hydration, antigen retrieval was mediated by high pressure in a citrate buffer (pH 6.0). Section was blocked with 10% normal goat serum 30min at RT. Then primary antibody (1% BSA) was incubated at 4°C overnight. The primary is detected by a biotinylated secondary antibody and visualized using an HRP conjugated SP system.
-
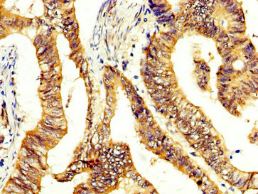
IHC image of CSB-PA12619A0Rb diluted at 1:400 and staining in paraffin-embedded human colon cancer performed on a Leica BondTM system. After dewaxing and hydration, antigen retrieval was mediated by high pressure in a citrate buffer (pH 6.0). Section was blocked with 10% normal goat serum 30min at RT. Then primary antibody (1% BSA) was incubated at 4°C overnight. The primary is detected by a biotinylated secondary antibody and visualized using an HRP conjugated SP system.
-
Immunofluorescence staining of PC-3 cells with CSB-PA12619A0Rb at 1:133, counter-stained with DAPI. The cells were fixed in 4% formaldehyde, permeabilized using 0.2% Triton X-100 and blocked in 10% normal Goat Serum. The cells were then incubated with the antibody overnight at 4°C. The secondary antibody was Alexa Fluor 488-congugated AffiniPure Goat Anti-Rabbit IgG(H+L).
-
-
其他:
產品詳情
-
產品名稱:Rabbit anti-Homo sapiens (Human) CCKBR Polyclonal antibody
-
Uniprot No.:
-
基因名:
-
別名:CCKBR; CCKRB; Gastrin/cholecystokinin type B receptor; CCK-B receptor; CCK-BR; Cholecystokinin-2 receptor; CCK2-R
-
宿主:Rabbit
-
反應種屬:Human
-
免疫原:Recombinant Human Gastrin/cholecystokinin type B receptor protein (243-333AA)
-
免疫原種屬:Homo sapiens (Human)
-
標記方式:Non-conjugated
本頁面中的產品,CCKBR Antibody (CSB-PA12619A0Rb),的標記方式是Non-conjugated。對于CCKBR Antibody,我們還提供其他標記。見下表:
-
克隆類型:Polyclonal
-
抗體亞型:IgG
-
純化方式:>95%, Protein G purified
-
濃度:It differs from different batches. Please contact us to confirm it.
-
保存緩沖液:Preservative: 0.03% Proclin 300
Constituents: 50% Glycerol, 0.01M PBS, pH 7.4 -
產品提供形式:Liquid
-
應用范圍:ELISA, IHC, IF
-
推薦稀釋比:
Application Recommended Dilution IHC 1:200-1:500 IF 1:50-1:200 -
Protocols:
-
儲存條件:Upon receipt, store at -20°C or -80°C. Avoid repeated freeze.
-
貨期:Basically, we can dispatch the products out in 1-3 working days after receiving your orders. Delivery time maybe differs from different purchasing way or location, please kindly consult your local distributors for specific delivery time.
-
用途:For Research Use Only. Not for use in diagnostic or therapeutic procedures.
相關產品
靶點詳情
-
功能:Receptor for gastrin and cholecystokinin. The CCK-B receptors occur throughout the central nervous system where they modulate anxiety, analgesia, arousal, and neuroleptic activity. This receptor mediates its action by association with G proteins that activate a phosphatidylinositol-calcium second messenger system.; Isoform 2 is constitutively activated and may regulate cancer cell proliferation via a gastrin-independent mechanism.
-
基因功能參考文獻:
- We concluded that low serum gastrin is related to increased risk of ER(+) BC development. The results also established that CCKBR/ERK/P65 signaling function is generally tumor suppressive in ER(+) BC, indicating therapies should focus on restoring, not inhibiting, CCKBR/ERK/P65 pathway activity. PMID: 30115027
- High CCK2R expression is associated with cancer. PMID: 26910279
- These results suggest that Z-360 exerts an anti-tumor effect through a reduction in anti-apoptosis factors by blocking CCK2R PMID: 28739697
- High CCK-BR expression is associated with Gastric Cancer. PMID: 27518872
- There is no identifiable link between nuclear CCK2R expression and all the clinicopathological characteristics examined in a cohort of Taiwanese colon cancer patients. PMID: 26508021
- Data indicate that variant c.811+32C>A in cholecystokinin-B receptor gene (CCKBR) does not have a significant impact on pancreatic cancer risk or survival in a Hungarian cohort. PMID: 26646278
- This study showed that CCK2 receptors were highly expressed within the cytoplasmic area of cancerous cells, whereas the levels were very low in normal tissues. PMID: 26520651
- CCK-BR SNP predicts survival and should be studied as a candidate genetic biomarker for those at risk of pancreatic cancer. PMID: 25469546
- treatment with gastrin, a CCK2R agonist, stimulated the secretion of GLP-1, and that this effect was likely due to increased expression of proglucagon and PCSK1 (also known as prohormone convertase 3 (PC3 gene)). PMID: 25601282
- Our results indicate a promoting role of CCK2R on GIST tumourigenesis, particularly in tumours of gastric origin. PMID: 22786615
- The gastrin receptor is a promising tumor cell surface target for future prostate-cancer-specific imaging applications. PMID: 24211650
- DeltaFosB induction in prelimbic area occurred selectively in susceptible mice after chronic social defeat stress and produced these effects partly through induction of the cholecystokinin (CCK)-B receptor. PMID: 24623766
- some CCKBR polymorphisms may contribute to an underlying predisposition towards suicidal behaviour in bipolar disorder. PMID: 23890582
- Gastric mucosal injury with H. pylori infection destroys the pH barrier on the foveolar epithelium and may induce gastrin receptor expression through pH changes. PMID: 23053898
- Suggest that CCK2R-mediated COX-2 up-regulation via JAK2/STAT3/PI3K/Akt pathway is involved in the proliferative effect of gastrin on human gastric cancer cells. PMID: 23376640
- Data suggest that mutations in cholecystokinin 2 receptor (CCK2R) may promote tumorigenesis through deregulated receptor activity and highlight the importance of evaluating CCK2R inhibitors to block both the normal and mutant forms of the receptor. PMID: 22516348
- These results show the importance of the CCK-BR in regulation of growth and apoptosis in pancreatic cancer. PMID: 22442157
- A novel splice variant acting as a dominant negative on membrane density of the CCK2R may be of importance for the pathophysiology of certain tumors and for their in vivo CCK2R-targeting. PMID: 22040601
- A single nucleotide polymorphism in the cholecystokinin-B receptor that alters splicing predicts survival in pancreatic cancer. PMID: 22277584
- proximal DNA elements within the human gastrin gene promoter mediate interactions between JunD, which induces gastrin gene expression and menin, which suppresses JunD-mediated activation. PMID: 21852362
- Genetic polymorphisms in cholecystokinin B receptor may play a role in antipsychotic induced weight gain in schizophrenia patients. PMID: 20732371
- Regulation of membrane cholecystokinin-2 receptor by agonists enables classification of partial agonists as biased agonists. PMID: 21156802
- a positive-feedback loop whereby gastrin, acting via the CCK2 receptor, increases its own expression PMID: 20932834
- The CCK(2)splice variant with retention of intron 4 (Ri4sv) is a marker of specific gastrointestinal and lung tumours. PMID: 19627395
- The cholecystokinin 2 receptor allele with 21 CT repeats was associated with multiple chemical sensitivity when compared in post hoc analyses with all individuals from the population sample. PMID: 20185366
- Results show that signaling through ACAT/cholesterol esterification is a novel pathway for the CCK2R that contributes to tumor cell proliferation and invasion. PMID: 19502590
- Expression of gastrin and cholecystokinin 2 (CCK(2)) receptor splice variants are upregulated in human colonic adenomas where they are thought to contribute to tumor growth and progression. PMID: 19697327
- A misspliced form of the cholecystokinin-B/gastrin receptor in pancreatic carcinoma: role of reduced sellular U2AF35 and a suboptimal 3'-splicing site leading to retention of the fourth intron. PMID: 11830556
- hGARE is proposed as a new candidate target gene in microsatellite instability tumorigenesis. PMID: 11896205
- role in activating protein kinase D2 PMID: 12058027
- Hyper-gastrinaemia may promote proliferation of human colonic adenomas that expressnon-truncated CCK-2 receptor isoforms. PMID: 12189558
- data represent the first evidence for role in regulating cell-cell and cell-substrate adhesion and support a role in the progression of carcinoma PMID: 12400008
- data support the hypothesis that cholecystokinin-B receptor mediated activation of the hypothalamic-pituitary-adrenal axis is relatively resistant to cortisol feedback inhibition PMID: 12510010
- induction by oncogenic ras in LoVo and Colo320HSR colon cancer cell lines PMID: 12761477
- Cholecystokinin-A receptor and B receptor polymorphisms, considered alone, showed no correlation with hallucinations in Parkinson's disease PMID: 12777967
- this is the first report that provides evidence for the high tumorigenic effect of a constitutively active CCK2R mutant, thus raising a potential role of the CCK2R in human cancer. PMID: 12955087
- findings suggest physiological functions for the CCK(2)R in calcitonin-secretion and gene expression as well as a pathophysiological role in medullary thyroid carcinoma proliferation PMID: 14759564
- CCK exerts secretagogue action on human ZG cells, acting through CCK2-Rs coupled to the adenylate cyclase/protein kinase A signaling cascade PMID: 15001623
- A role is implicated for the CCKB receptor gene in suicide completers, the highest gene expression being observed in the cerebellum followed by cingulate gyrus and pre-frontal cortex compared to their age and sex-matched controls. PMID: 15036586
- Gastrin/CCK-B receptor autocrine or paracrine pathway may possibly play an important role in the progression of gastric cancer. PMID: 15040018
- CCK2i4svR, a splice variant of cholecystokinin-2 receptor, has a role in agonist-independent activation of Src tyrosine kinase PMID: 15292208
- Findings are consistent with the notion that genetic variation in the CCK B receptor neurotransmitter system contributes to the pathogenesis of panic disorder. PMID: 15354400
- the MEK1/ERK1/2 pathway couples the CCK2 receptor to nuclearization and DNA binding of Egr-1 PMID: 15611055
- analysis of interspecies polymorphism in the human and rat cholecystokinin receptor-2 and its effect on the cholecystokinin binding site PMID: 15817487
- Photoaffinity labeling of the type B CCK receptor provides evidence for the peptide-binding domain to include receptor loop and amino-terminal tail regions residing at the extracellular surface of the plasma membrane. PMID: 15850403
- human normal, inflammatory, and malignant gastric tissues simultaneously express the classical and alternative splicing cholecystokinin-B/gastrin receptor genes PMID: 15989082
- Study confirms that a high proportion of gastric cancer tissue samples express the gastrin/CCKB receptor, which can stimulate the growth of gastrin/CCKB receptor-positive gastric cancer cells. PMID: 16012719
- CCK2 gastrin receptor may have a role in leukemia PMID: 16142371
- Gastrin exerts an antiproliferative and proapoptotic effect on human colon cancer cells expressing the wild-type CCK2 receptor. PMID: 16143134
- The expression rates of gastrin and gastrin receptor are high (about a half) in gastric carcinoma tissues, and there is an association between gastrin and gastrin receptor expression. PMID: 16228228
顯示更多
收起更多
-
亞細胞定位:Cell membrane; Multi-pass membrane protein.
-
蛋白家族:G-protein coupled receptor 1 family
-
組織特異性:Isoform 1 is expressed in brain, pancreas, stomach, the colon cancer cell line LoVo and the T-lymphoblastoma Jurkat, but not in heart, placenta, liver, lung, skeletal muscle, kidney or the stomach cancer cell line AGS. Expressed at high levels in the smal
-
數據庫鏈接:
Most popular with customers
-
YWHAB Recombinant Monoclonal Antibody
Applications: ELISA, WB, IHC, IF, FC
Species Reactivity: Human, Mouse, Rat
-
Phospho-YAP1 (S127) Recombinant Monoclonal Antibody
Applications: ELISA, WB, IHC
Species Reactivity: Human
-
-
-
-
-
-















