CDC37L1 Antibody
-
中文名稱:CDC37L1兔多克隆抗體
-
貨號:CSB-PA591907
-
規格:¥1100
-
圖片:
-
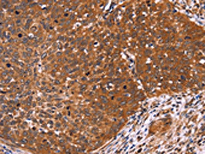
The image on the left is immunohistochemistry of paraffin-embedded Human cervical cancer tissue using CSB-PA591907(CDC37L1 Antibody) at dilution 1/60, on the right is treated with fusion protein. (Original magnification: ×200)
-
The image on the left is immunohistochemistry of paraffin-embedded Human colon cancer tissue using CSB-PA591907(CDC37L1 Antibody) at dilution 1/60, on the right is treated with fusion protein. (Original magnification: ×200)
-
-
其他:
產品詳情
-
Uniprot No.:
-
基因名:CDC37L1
-
別名:CD37L_HUMAN antibody; CDC37 cell division cycle 37 homolog like 1 antibody; CDC37-like 1 antibody; CDC37B antibody; Cdc37l antibody; Cdc37l1 antibody; Cell division cycle 37 homolog (S. cerevisiae) like 1 antibody; Cell division cycle 37, S. cerevisiae, homolog-like 1 antibody; FLJ20639 antibody; HARC antibody; Hsp90 associating relative of Cdc37 antibody; Hsp90 co-chaperone Cdc37-like 1 antibody; Hsp90-associating relative of Cdc37 antibody; RP11-6J24.5 antibody
-
宿主:Rabbit
-
反應種屬:Human,Mouse,Rat
-
免疫原:Fusion protein of Human CDC37L1
-
免疫原種屬:Homo sapiens (Human)
-
標記方式:Non-conjugated
-
抗體亞型:IgG
-
純化方式:Antigen affinity purification
-
濃度:It differs from different batches. Please contact us to confirm it.
-
保存緩沖液:-20°C, pH7.4 PBS, 0.05% NaN3, 40% Glycerol
-
產品提供形式:Liquid
-
應用范圍:ELISA,IHC
-
推薦稀釋比:
Application Recommended Dilution ELISA 1:2000-1:10000 IHC 1:100-1:300 -
Protocols:
-
儲存條件:Upon receipt, store at -20°C or -80°C. Avoid repeated freeze.
-
貨期:Basically, we can dispatch the products out in 1-3 working days after receiving your orders. Delivery time maybe differs from different purchasing way or location, please kindly consult your local distributors for specific delivery time.
-
用途:For Research Use Only. Not for use in diagnostic or therapeutic procedures.
相關產品
靶點詳情
-
功能:Co-chaperone that binds to numerous proteins and promotes their interaction with Hsp70 and Hsp90.
-
基因功能參考文獻:
- Harc forms dimers in vitro. The structural similarities between Harc and Cdc37 suggest that Harc may function to regulate the Hsp90-mediated folding of Cdc37-dependent protein kinases into functional conformations via dimerization with Cdc37. PMID: 15850399
- C-terminal domain of Harc is a key determinant of its cochaperone functions PMID: 18052042
-
亞細胞定位:Cytoplasm.
-
蛋白家族:CDC37 family
-
組織特異性:Expressed in brain, heart, kidney, liver, placenta and skeletal muscle.
-
數據庫鏈接:
Most popular with customers
-
-
-
-
-
-
-
-
VDAC1 Recombinant Monoclonal Antibody
Applications: ELISA, WB, IHC
Species Reactivity: Human, Mouse, Rat















