CDK3 Antibody
-
中文名稱:CDK3兔多克隆抗體
-
貨號:CSB-PA005064LA01HU
-
規格:¥440
-
圖片:
-
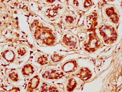
IHC image of CSB-PA005064LA01HU diluted at 1:600 and staining in paraffin-embedded human breast cancer performed on a Leica BondTM system. After dewaxing and hydration, antigen retrieval was mediated by high pressure in a citrate buffer (pH 6.0). Section was blocked with 10% normal goat serum 30min at RT. Then primary antibody (1% BSA) was incubated at 4°C overnight. The primary is detected by a biotinylated secondary antibody and visualized using an HRP conjugated SP system.
-
-
其他:
產品詳情
-
產品名稱:Rabbit anti-Homo sapiens (Human) CDK3 Polyclonal antibody
-
Uniprot No.:
-
基因名:CDK3
-
別名:Cdk 3 antibody; Cdk3 antibody; CDK3_HUMAN antibody; CDKN3 antibody; Cell division kinase 3 antibody; Cell division protein kinase 3 antibody; Cyclin dependent kinase 3 antibody; Cyclin-dependent kinase 3 antibody; OTTHUMP00000206828 antibody; p36 antibody
-
宿主:Rabbit
-
反應種屬:Human
-
免疫原:Recombinant Human Cyclin-dependent kinase 3 protein (220-297AA)
-
免疫原種屬:Homo sapiens (Human)
-
標記方式:Non-conjugated
本頁面中的產品,CDK3 Antibody (CSB-PA005064LA01HU),的標記方式是Non-conjugated。對于CDK3 Antibody,我們還提供其他標記。見下表:
-
克隆類型:Polyclonal
-
抗體亞型:IgG
-
純化方式:>95%, Protein G purified
-
濃度:It differs from different batches. Please contact us to confirm it.
-
保存緩沖液:Preservative: 0.03% Proclin 300
Constituents: 50% Glycerol, 0.01M PBS, pH 7.4 -
產品提供形式:Liquid
-
應用范圍:ELISA, IHC
-
推薦稀釋比:
Application Recommended Dilution IHC 1:500-1:1000 -
Protocols:
-
儲存條件:Upon receipt, store at -20°C or -80°C. Avoid repeated freeze.
-
貨期:Basically, we can dispatch the products out in 1-3 working days after receiving your orders. Delivery time maybe differs from different purchasing way or location, please kindly consult your local distributors for specific delivery time.
-
用途:For Research Use Only. Not for use in diagnostic or therapeutic procedures.
相關產品
靶點詳情
-
功能:Serine/threonine-protein kinase that plays a critical role in the control of the eukaryotic cell cycle; involved in G0-G1 and G1-S cell cycle transitions. Interacts with CCNC/cyclin-C during interphase. Phosphorylates histone H1, ATF1, RB1 and CABLES1. ATF1 phosphorylation triggers ATF1 transactivation and transcriptional activities, and promotes cell proliferation and transformation. CDK3/cyclin-C mediated RB1 phosphorylation is required for G0-G1 transition. Promotes G1-S transition probably by contributing to the activation of E2F1, E2F2 and E2F3 in a RB1-independent manner.
-
基因功能參考文獻:
- These results suggest that miR-125a-3p can function as a novel tumor suppressor in ER(+) breast cancer by targeting CDK3, which may be a potential therapeutic approach for TamR breast cancer therapy PMID: 28939591
- HuR facilitated lung cancer stemness dependent on CDK3 expression. miR-873 or miR-125a-3p level was negatively correlated with HuR and CDK3 expression levels in lung cancer tissues. HuR facilitates lung cancer stemness via regulating miR-873/CDK3 and miR-125a-3p/CDK3 axis. PMID: 29344850
- ectopic expression of HuR promotes breast cancer cell proliferation and survival by directly binding to and stabilizing CDK3 mRNA. PMID: 28501005
- These results provided evidence supporting the oncogenic potential of NFAT3 and suggested that CDK3-mediated phosphorylation of NFAT3 has an important role in skin tumorigenesis. PMID: 27893713
- The analysis of tumor and matched normal lung tissues indicates that miR-150 downregulation in lung tumors correlates with higher CDK3 levels. In addition, miR-150 transfection experiments with cancer-derived cell lines reveal that miR-150-mediated CDK3 suppression directly induces growth inhibition. PMID: 28108217
- High Cdk3-promoted epithelial-mesenchymal transition through activating AP-1 is involved in colorectal cancer metastasis. PMID: 26755651
- Data indicate that microRNA miR-214 has tumor-suppressive activity in hepatocellular carcinoma (HCC) through inhibition of E2F2 transcription factor (E2F2), cyclin-dependent kinases CDK3 and CDK6. PMID: 26498144
- Mir-873 inhibits ESR1 activity and cell growth via targeting CDK3. PMID: 25531331
- CDK3 is associated with the progression of NPC, and may be a potential biomarker for prediction of the prognosis of patients with NPC. PMID: 24691537
- The Walleye dermal sarcoma virus cyclin functions as a structural ortholog of cyclin C in spite of its limited amino acid sequence identity with C cyclins or with any known cyclins and activates Cdk8 and Cdk3. PMID: 21067790
- A non-cdk8-associated cellular pool of cyclin C combines with cdk3 to stimulate pRb phosphorylation at S807/811 during the G0/G1 transition, and this phosphorylation is required for cells to exit G0 efficiently. PMID: 15084261
- Expression level of cdk3 is higher in human cancer cell lines and glioblastoma tissue compared with normal brain tissue. cdk3 phosphorylates activating transcription factor 1 (ATF1)and enhances the transactivation and transcriptional activities of ATF1. PMID: 18794154
顯示更多
收起更多
-
蛋白家族:Protein kinase superfamily, CMGC Ser/Thr protein kinase family, CDC2/CDKX subfamily
-
組織特異性:Expressed in cancer cell lines and glioblastoma tissue.
-
數據庫鏈接:
Most popular with customers
-
-
YWHAB Recombinant Monoclonal Antibody
Applications: ELISA, WB, IHC, IF, FC
Species Reactivity: Human, Mouse, Rat
-
Phospho-YAP1 (S127) Recombinant Monoclonal Antibody
Applications: ELISA, WB, IHC
Species Reactivity: Human
-
-
-
-
-















