CEP290 Antibody
-
中文名稱:CEP290兔多克隆抗體
-
貨號:CSB-PA005241LA01HU
-
規格:¥440
-
圖片:
-
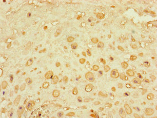
Immunohistochemistry of paraffin-embedded human ovarian cancer using CSB-PA005241LA01HU at dilution of 1:100
-
Immunohistochemistry of paraffin-embedded human placenta tissue using CSB-PA005241LA01HU at dilution of 1:100
-
Immunofluorescent analysis of Hela cells using CSB-PA005241LA01HU at dilution of 1:100 and Alexa Fluor 488-congugated AffiniPure Goat Anti-Rabbit IgG(H+L)
-
-
其他:
產品詳情
-
產品名稱:Rabbit anti-Homo sapiens (Human) CEP290 Polyclonal antibody
-
Uniprot No.:
-
基因名:CEP290
-
別名:3H11AG antibody; Bardet-Biedl syndrome 14 protein antibody; BBS14 antibody; Cancer/testis antigen 87 antibody; CE290_HUMAN antibody; Centrosomal protein 290 antibody; Centrosomal protein 290kDa antibody; Centrosomal protein of 290 kDa antibody; Cep290 antibody; CT87 antibody; CTCL tumor antigen se2 2 antibody; FLJ13615 antibody; FLJ21979 antibody; JBTS5 antibody; JBTS6 antibody; KIAA0373 antibody; LCA10 antibody; Meckel syndrome; type 4 antibody; MKS4 antibody; Monoclonal antibody 3H11 antigen antibody; Nephrocystin 6 antibody; Nephrocystin-6 antibody; NPHP6 antibody; POC3 antibody; POC3 centriolar protein homolog antibody; Prostate cancer antigen T21 antibody; rd16 antibody; SLSN6 1; 2; 5 antibody; SLSN6 antibody; Tumor antigen se2-2 antibody
-
宿主:Rabbit
-
反應種屬:Human
-
免疫原:Recombinant Human Centrosomal protein of 290 kDa protein (86-156AA)
-
免疫原種屬:Homo sapiens (Human)
-
標記方式:Non-conjugated
本頁面中的產品,CEP290 Antibody (CSB-PA005241LA01HU),的標記方式是Non-conjugated。對于CEP290 Antibody,我們還提供其他標記。見下表:
-
克隆類型:Polyclonal
-
抗體亞型:IgG
-
純化方式:>95%, Protein G purified
-
濃度:It differs from different batches. Please contact us to confirm it.
-
保存緩沖液:Preservative: 0.03% Proclin 300
Constituents: 50% Glycerol, 0.01M PBS, PH 7.4 -
產品提供形式:Liquid
-
應用范圍:ELISA, IHC, IF
-
推薦稀釋比:
Application Recommended Dilution IHC 1:20-1:200 IF 1:50-1:200 -
Protocols:
-
儲存條件:Upon receipt, store at -20°C or -80°C. Avoid repeated freeze.
-
貨期:Basically, we can dispatch the products out in 1-3 working days after receiving your orders. Delivery time maybe differs from different purchasing way or location, please kindly consult your local distributors for specific delivery time.
-
用途:For Research Use Only. Not for use in diagnostic or therapeutic procedures.
相關產品
靶點詳情
-
功能:Involved in early and late steps in cilia formation. Its association with CCP110 is required for inhibition of primary cilia formation by CCP110. May play a role in early ciliogenesis in the disappearance of centriolar satellites and in the transition of primary ciliar vesicles (PCVs) to capped ciliary vesicles (CCVs). Required for the centrosomal recruitment of RAB8A and for the targeting of centriole satellite proteins to centrosomes such as of PCM1. Required for the correct localization of ciliary and phototransduction proteins in retinal photoreceptor cells; may play a role in ciliary transport processes. Required for efficient recruitment of RAB8A to primary cilium. In the ciliary transition zone is part of the tectonic-like complex which is required for tissue-specific ciliogenesis and may regulate ciliary membrane composition. Involved in regulation of the BBSome complex integrity, specifically for presence of BBS2, BBS5 and BBS8/TTC8 in the complex, and in ciliary targeting of selected BBSome cargos. May play a role in controlling entry of the BBSome complex to cilia possibly implicating IQCB1/NPHP5. Activates ATF4-mediated transcription.
-
基因功能參考文獻:
- Arima syndrome patients had a specific CEP290 homozygous variant or compound heterozygous variants. These unique variants lead to abnormal splicing and premature termination. Morphological analysis of cultured fibroblasts revealed a marked decrease of the CEP290-positive cell number with significantly longer cilium and naked and protruded ciliary axoneme without ciliary membrane into the cytoplasm. PMID: 29217415
- Together with a physical interaction between RPGR and the C-terminal domain of CEP290, our data suggest that RPGR and CEP290 genetically interact and highlight the involvement of hypomorphic alleles of genes as potential modifiers of heterogeneous retinal ciliopathies. PMID: 26936822
- One of the more common molecular subtypes of LCA is caused by mutation in the gene encoding CEP290 (Centrosomal protein 290), which has been localized in the outer retina to the photoreceptor cilium PMID: 28510626
- our data highlight the tremendous therapeutic prospective of AONs for the treatment of not only CEP290-associated Leber congenital amaurosis (LCA)but potentially many other subtypes of retinal dystrophy caused by splicing mutations PMID: 27106101
- We identified eight mutated genes in 27 (21 + 6) Japanese families, TMEM67 (7/27, 25.9%) and CEP290 (6/27, 22.2%) were the most commonly mutated. Interestingly, 9 of 12 CEP290 disease alleles were c.6012-12T>A (75.0%), an allele that has not been reported in non-Japanese populations PMID: 27434533
- We identified four novel CNVs in three different genes (one duplication in USH2A gene, two duplications in CEP290 gene, and one duplication in RIMS2 gene) in total four families, at a detection rate of 8% (4/50). PMID: 28118666
- Two novel variants were detected: c.2536G>T (p.G846X) in the CRB1 gene and c.4929delA (p.Lys1643fsX2) in the CEP290 gene. PMID: 26165328
- NPHP5 and Cep290 regulate BBSome integrity, ciliary trafficking and cargo delivery. PMID: 25552655
- The natural history of early loss of photoreceptor function with retained cone cell nuclei is common to both CEP290-Leber congenital amaurosis patients and the rd16;Nrl-/- murine model. PMID: 24671090
- results provide a link between CEP290 and DNA replication stress and suggest CDK inhibition as a potential treatment strategy for a wide range of ciliopathy syndromes. PMID: 26301811
- DDA3 controls astral spindle formation and spindle positioning by targeting Cep290 to the centrosome. Depletion of Cep290 caused a reduction of the astral spindle, leading to misorientation of the mitotic spindle. PMID: 25998387
- mutation in CEP290 gene in all three affected siblings.This novel 1-bp deletion results in a frameshift mutation leading to a premature stop codon and a truncated protein PMID: 24175892
- The novel centriolar satellite protein SSX2IP targets Cep290 to the ciliary transition zone. PMID: 24356449
- Data indicate that genetic interactions between BBSome components and CEP290 could underlie the variable expression and overlapping phenotypes of ciliopathies caused by CEP290 mutations. PMID: 23943788
- Here we discuss many of these diverse aspects of CEP290 biology and pathology in an attempt to link what we know about the molecular mechanisms of CEP290 function with what we know about CEP290-associated disease. PMID: 24664739
- Talpid3 and Cep290 play overlapping and distinct roles in ciliary vesicle formation through regulation of centriolar satellite accretion and Rab8a PMID: 24421332
- NPHP5 mutations impair protein interaction with Cep290 and localize to centrosomes, thereby compromising cilia formation. PMID: 23446637
- Disruption of particular CEP290 functional domains may lead to particular disease phenotypes. PMID: 24051377
- Patients with Leber congenital amaurosis (LCA) and CEP290 mutations had a wide spectrum of visual acuity that was not related to age or length of follow-up. PMID: 23411883
- Rkip prevents cilia formation and is associated with Cep290-mediated photoreceptor degeneration. PMID: 21685394
- Eight patients (from five families) carried the c.2991+1655A>G mutation homozygously. Nine solitary patients carried this variant combined with a nonsense, frameshift, or splice site mutation on the second allele. A new nonsense mutation: c.1078C>T. PMID: 22355252
- Cone photoreceptors are the main targets for gene therapy of NPHP5 (IQCB1) or NPHP6 (CEP290) blindness: generation of an all-cone Nphp6 hypomorph mouse that mimics the human retinal ciliopathy. PMID: 21245082
- an overview of all CEP290 mutations identified so far, with their associated phenotypes (Review) PMID: 20690115
- These data provide the first clear demonstration of respiratory cilia ultrastructural defects in Leber congenital amaurosis patients with CEP290 mutations. PMID: 20805370
- A novel nonsense mutation in CEP290 results in nonsense-associated altered splicing. PMID: 20130272
- Variations of macular microstructures were observed among LCA (Leber congenital amaurosis) patients with different genotypes. PMID: 19959640
- 3H11Ag is a DNA- and nuclear matrix-associated protein PMID: 15474516
- CEP290 (also known as NPHP6) interacts with and modulates the activity of ATF4, a transcription factor implicated in cAMP-dependent renal cyst formation PMID: 16682973
- CEP290 mutations represent one of the most frequent causes of Leber congenital amaurosis identified so far. PMID: 16909394
- Results confirm the high frequency of NPHP6/CEP290 mutations in our series of LCA families hailing worldwide (22%). However, it is shown that conversely to other LCA genes, NPHP6 is involved in families of European descent only (38/38). PMID: 17345604
- findings of preserved foveal cones and visual brain anatomy in Leber congenital amaurosis with CEP290 mutations, despite blindness and rod cell death, suggest an opportunity for visual restoration of central vision in this form of inherited blindness PMID: 17554762
- Mutations in the CEP290 gene were identified in cohort with Joubert syndrome-related disorders. PMID: 17564967
- These data identify the CEP290 gene as responsible for Meckel syndrome. PMID: 17564974
- NPHP6/CEP290 may have a role in Joubert syndrome and Senior-Loken syndrome PMID: 17617513
- a novel locus for MKS to a 3-Mb interval on 12q21. Sequencing of the CEP290 gene located in the minimal critical region showed a homozygous 1-bp deletion supposed to lead to loss of function of the encoded centrosomal protein CEP290/nephrocystin-6. PMID: 17705300
- RPE65 gene mutations represented a significant cause of LCA in the Italian population, whereas GUCY2D and CEP290 mutations had a lower frequency than that found in other reports. PMID: 17724218
- CEP290 is a key mediator involved in G protein trafficking. The assessment of olfactory function can, therefore, serve as a useful diagnostic tool for genetic screening of certain syndromic ciliary diseases. PMID: 17898177
- CEP290 c.2991_1655A>G mutation frequency in Spanish non-syndromic Leber congenital amaurosis families is lower than that of other countries. PMID: 18079693
- Mutations in CEP290 is associated with Bardet-Biedl syndrome PMID: 18327255
- These results suggest that CEP290 cooperates with Rab8a to promote ciliogenesis and that this function is antagonized by CP110. PMID: 18694559
- CEP290 binds to PCM-1 and localizes to centriolar satellites in a PCM-1- and microtubule-dependent manner. PMID: 18772192
- CC2D2A is mutated in Joubert syndrome and interacts with the ciliopathy-associated basal protein CEP290. PMID: 18950740
- CEP290 mutational spectrum in ciliopathies. PMID: 19764032
- Findings suggest a critical function for mouse CEP290 in ciliary transport and provide insights into the mechanism of early-onset photoreceptor degeneration. PMID: 16632484
顯示更多
收起更多
-
相關疾病:Joubert syndrome 5 (JBTS5); Senior-Loken syndrome 6 (SLSN6); Leber congenital amaurosis 10 (LCA10); Meckel syndrome 4 (MKS4); Bardet-Biedl syndrome 14 (BBS14)
-
亞細胞定位:Cytoplasm, cytoskeleton, microtubule organizing center, centrosome. Cytoplasm, cytoskeleton, microtubule organizing center, centrosome, centriolar satellite. Nucleus. Cell projection, cilium. Cytoplasm, cytoskeleton, cilium basal body. Cytoplasm, cytoskeleton, microtubule organizing center, centrosome, centriole. Cytoplasmic vesicle.
-
組織特異性:Ubiquitous. Expressed strongly in placenta and weakly in brain.
-
數據庫鏈接:
Most popular with customers
-
-
YWHAB Recombinant Monoclonal Antibody
Applications: ELISA, WB, IHC, IF, FC
Species Reactivity: Human, Mouse, Rat
-
Phospho-YAP1 (S127) Recombinant Monoclonal Antibody
Applications: ELISA, WB, IHC
Species Reactivity: Human
-
-
-
-
-















