CERK Antibody
-
中文名稱:CERK兔多克隆抗體
-
貨號:CSB-PA898117
-
規格:¥1100
-
圖片:
-
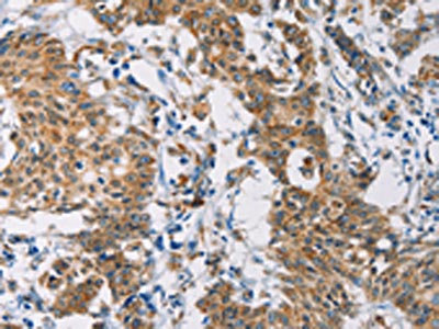
The image on the left is immunohistochemistry of paraffin-embedded Human liver cancer tissue using CSB-PA898117(CERK Antibody) at dilution 1/30, on the right is treated with fusion protein. (Original magnification: ×200)
-
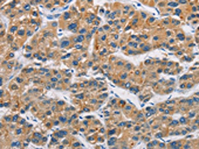
The image on the left is immunohistochemistry of paraffin-embedded Human gastric cancer tissue using CSB-PA898117(CERK Antibody) at dilution 1/30, on the right is treated with fusion protein. (Original magnification: ×200)
-
-
其他:
產品詳情
-
Uniprot No.:
-
基因名:CERK
-
別名:Acylsphingosine kinase antibody; Ceramide kinase antibody; Cerk antibody; CERK1_HUMAN antibody; dA59H18.2 antibody; dA59H18.3 antibody; hCERK antibody; KIAA1646 antibody; Lipid kinase 4 antibody; Lipid kinase LK4 antibody; LK4 antibody
-
宿主:Rabbit
-
反應種屬:Human,Mouse
-
免疫原:Fusion protein of Human CERK
-
免疫原種屬:Homo sapiens (Human)
-
標記方式:Non-conjugated
-
抗體亞型:IgG
-
純化方式:Antigen affinity purification
-
濃度:It differs from different batches. Please contact us to confirm it.
-
保存緩沖液:-20°C, pH7.4 PBS, 0.05% NaN3, 40% Glycerol
-
產品提供形式:Liquid
-
應用范圍:ELISA,IHC
-
推薦稀釋比:
Application Recommended Dilution ELISA 1:2000-1:5000 IHC 1:25-1:100 -
Protocols:
-
儲存條件:Upon receipt, store at -20°C or -80°C. Avoid repeated freeze.
-
貨期:Basically, we can dispatch the products out in 1-3 working days after receiving your orders. Delivery time maybe differs from different purchasing way or location, please kindly consult your local distributors for specific delivery time.
-
用途:For Research Use Only. Not for use in diagnostic or therapeutic procedures.
相關產品
靶點詳情
-
功能:Catalyzes specifically the phosphorylation of ceramide to form ceramide 1-phosphate. Acts efficiently on natural and analog ceramides (C6, C8, C16 ceramides, and C8-dihydroceramide), to a lesser extent on C2-ceramide and C6-dihydroceramide, but not on other lipids, such as various sphingosines. Shows a greater preference for D-erythro isomer of ceramides. Binds phosphoinositides.
-
基因功能參考文獻:
- our findings identify a functional role for Cerk in breast cancer recurrence and suggest the clinical utility of agents targeted against this prosurvival pathway. PMID: 25164007
- Data suggest that inhibition of ceramide kinase (CerK) [by specific gene silencing or pharmacological inhibition] drastically reduced cell proliferation in a neuroblastoma cell line. PMID: 22579669
- TNF-alpha exposure of human SH-SY5Y neuroblastoma caused a profound increase in CERK activity. PMID: 22230689
- Expression of hCERK enhanced ceramide-1-phosphate formation and release of arachidonic acid in Ca(2+) ionophore-stimulated cells. PMID: 21621503
- We have identified a differential role for ceramide kinase in mast-cell activation PMID: 21255156
- Molecular cloning and functional characterization PMID: 11956206
- ceramide kinase and its product, C-1-P, have roles in arachidonic acid release and production of eicosanoids PMID: 12855693
- CERK translocates during activation from the cytosol to a lipid raft fraction PMID: 15899891
- Pleckstrin homology domain of CERK is not only indispensable for its activity but also act as a regulator of CERK activity. PMID: 16081073
- sphingoid chain was also required for substrate recognition by CERK PMID: 16170208
- Recombinant CERK was analyzed with regard to dependence on divalent cations, to substrate delivery, specificity, and stereoselectivity. CERK associated with the plasma membrane in CHO cells, which is mediated by the N-terminal putative pleckstrin domain. PMID: 16269826
- CERK-pleckstrin homology domain plays a crucial role in plasma membrane targeting through its binding to phosphatidylinositol 4,5-bisphosphate and subsequent induction of ceramide-1-phosphate production in the vicinity of the membrane. PMID: 16488390
- These results suggest that ceramide kinase determines the balance between pro-apoptotic ceramide and anti-apoptotic C1P to regulate cell fate, reminiscent of its function in plants. PMID: 17274985
- Results demonstrate that CERK localizes to areas of eicosanoid synthesis and uses a ceramide "pool" transported in an active manner via CERT. PMID: 17392267
- HL-60 cells are useful for studying CerK functions in leukocyte differentiation, and they also suggest that CerK might have an important role in such differentiation. PMID: 17957442
- higher Ca2+ signal observed in hCERK transfected cells as well as the fact that CERK colocalized with EIgG during phagocytosis support hypothesis that Ca2+ signaling is an important factor for increasing phagocytosis and is regulated by CERK PMID: 18156590
- identification of a cluster of cysteines, C(347)XXXC(351)XXC(354), essential for CerK function PMID: 18662741
- ceramide kinase, was associated with poor pathohistological grading in breast cancer PMID: 19125296
- The Pleckstrin Homology (PH) domain of CERK, which is required for Golgi complex localization, can substitute for the N-terminal region of CERKL and allow for wild-type CERKL localization, which is typified by nucleolar accumulation. PMID: 19501188
- JNK and ceramide kinase govern the biogenesis of lipid droplets through activation of group IVA phospholipase A2 PMID: 19778898
顯示更多
收起更多
-
亞細胞定位:Cytoplasm. Cell membrane; Peripheral membrane protein.
-
組織特異性:High level expression in heart, brain, skeletal muscle, kidney and liver; moderate in peripheral blood leukocytes and thymus; very low in spleen, small intestine, placenta and lung.
-
數據庫鏈接:
Most popular with customers
-
-
Phospho-YAP1 (S127) Recombinant Monoclonal Antibody
Applications: ELISA, WB, IHC
Species Reactivity: Human
-
-
-
-
-
-















