CHAF1A Antibody
-
中文名稱:CHAF1A兔多克隆抗體
-
貨號:CSB-PA618758LA01HU
-
規格:¥440
-
圖片:
-
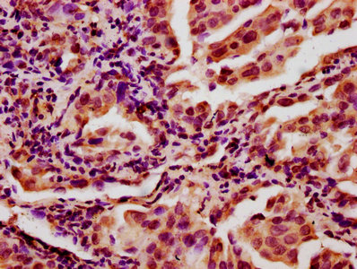
IHC image of CSB-PA618758LA01HU diluted at 1:400 and staining in paraffin-embedded human lung cancer performed on a Leica BondTM system. After dewaxing and hydration, antigen retrieval was mediated by high pressure in a citrate buffer (pH 6.0). Section was blocked with 10% normal goat serum 30min at RT. Then primary antibody (1% BSA) was incubated at 4°C overnight. The primary is detected by a biotinylated secondary antibody and visualized using an HRP conjugated SP system.
-
IHC image of CSB-PA618758LA01HU diluted at 1:400 and staining in paraffin-embedded human lymph node tissue performed on a Leica BondTM system. After dewaxing and hydration, antigen retrieval was mediated by high pressure in a citrate buffer (pH 6.0). Section was blocked with 10% normal goat serum 30min at RT. Then primary antibody (1% BSA) was incubated at 4°C overnight. The primary is detected by a biotinylated secondary antibody and visualized using an HRP conjugated SP system.
-
-
其他:
產品詳情
-
產品名稱:Rabbit anti-Homo sapiens (Human) CHAF1A Polyclonal antibody
-
Uniprot No.:
-
基因名:CHAF1A
-
別名:CAF 1 antibody; CAF 1 subunit A antibody; CAF antibody; CAF I 150 kDa subunit antibody; CAF I p150 antibody; CAF-1 subunit A antibody; CAF-I 150 kDa subunit antibody; CAF-I p150 antibody; CAF1 antibody; CAF1A_HUMAN antibody; CAF1B antibody; CAF1P150 antibody; CHAF1A antibody; Chromatin assembly factor 1 subunit A antibody; Chromatin Assembly Factor 1 Subunit A p150 antibody; Chromatin assembly factor I (150 kDa) antibody; Chromatin assembly factor I 150 kDa antibody; Chromatin assembly factor I p150 subunit antibody; DCAF1 antibody; hp150 antibody; MGC71229 antibody; P150 antibody
-
宿主:Rabbit
-
反應種屬:Human
-
免疫原:Recombinant Human Chromatin assembly factor 1 subunit A protein (840-904AA)
-
免疫原種屬:Homo sapiens (Human)
-
標記方式:Non-conjugated
本頁面中的產品,CHAF1A Antibody (CSB-PA618758LA01HU),的標記方式是Non-conjugated。對于CHAF1A Antibody,我們還提供其他標記。見下表:
-
克隆類型:Polyclonal
-
抗體亞型:IgG
-
純化方式:>95%, Protein G purified
-
濃度:It differs from different batches. Please contact us to confirm it.
-
保存緩沖液:Preservative: 0.03% Proclin 300
Constituents: 50% Glycerol, 0.01M PBS, pH 7.4 -
產品提供形式:Liquid
-
應用范圍:ELISA, IHC
-
推薦稀釋比:
Application Recommended Dilution IHC 1:200-1:500 -
Protocols:
-
儲存條件:Upon receipt, store at -20°C or -80°C. Avoid repeated freeze.
-
貨期:Basically, we can dispatch the products out in 1-3 working days after receiving your orders. Delivery time maybe differs from different purchasing way or location, please kindly consult your local distributors for specific delivery time.
-
用途:For Research Use Only. Not for use in diagnostic or therapeutic procedures.
相關產品
靶點詳情
-
功能:Core component of the CAF-1 complex, a complex that is thought to mediate chromatin assembly in DNA replication and DNA repair. Assembles histone octamers onto replicating DNA in vitro. CAF-1 performs the first step of the nucleosome assembly process, bringing newly synthesized histones H3 and H4 to replicating DNA; histones H2A/H2B can bind to this chromatin precursor subsequent to DNA replication to complete the histone octamer. It may play a role in heterochromatin maintenance in proliferating cells by bringing newly synthesized cbx proteins to heterochromatic DNA replication foci.
-
基因功能參考文獻:
- CHAF1A and PCNA are highly expressed in cervical squamous cell carcinoma and associated with the malignancy PMID: 29382432
- Recent work has identified the chromatin assembly factor complex CAF-1 as a potent barrier to cellular reprogramming. In addition, CAF-1 has been implicated in the reversion of pluripotent cells to a totipotent-like state and in various lineage conversion paradigms, suggesting that modulation of CAF-1 levels may endow cells with a developmentally more plastic state. PMID: 28692904
- Chromatin reassembly during double-strand break repair was dependent on the HIRA histone chaperone that is specific to the replication-independent histone variant H3.3 and on CAF-1 that is specific to the replication-dependent canonical histones H3.1/H3.2. PMID: 27269284
- Data show that the high expression of chromatin assembly factor 1, subunit A (p150) (CHAF1A) promotes cell proliferation and inhibits cell apoptosis, suggesting that CHAF1A may be developed as a prognosis biomarker and potential therapeutic target of epithelial ovarian cancer (EOC). PMID: 28286267
- CHAF1A inhibits NEIL1 initiated repair in vitro Subsequent restoration of the chaperone-BER complex in cell, presumably after completion of repair, suggests that histone chaperones sequester the repair complex for oxidized bases in non-replicating chromatin, and allow repair when oxidized bases are induced in the genome. PMID: 27794043
- Loss of CAF1 is associated with increased motility and invasive phenotypes seen in transformed cells. PMID: 27872192
- These data suggest that CAF-1- and ASF1A-H3-H4-dependent deposition of the histone (H3-H4)2 tetramers is compatible with MMR and protects the discontinuous daughter strand from unnecessary degradation by MMR machinery. PMID: 26945061
- Novel functions for a separable domain of the p150 protein, regulating protein and DNA interactions at the nucleolus. PMID: 25057015
- The frequency of positive CHAF1A staining in primary tumor mucosa (45.8% of 203 samples) was significantly elevated compared to normal mucosa (18.7% of samples). Increased expression was associated with cancer stage, tumor invasion and histological grade. PMID: 24845563
- Histone chaperone CHAF1A inhibits differentiation and promotes aggressive neuroblastoma. PMID: 24335960
- CAF1 was hijacked by IE2 to facilitate the replication of the HCMV genome, suggesting chromatin assembly plays an important role in herpesviral DNA synthesis, but also provide a model of the virus-induced chromatin instability through CAF1. PMID: 21445097
- CAF-I-dependent control of degradation of the discontinuous strands during mismatch repair. PMID: 21282622
- these findings suggest an expanded role of p150 as a SUMO2/3-interacting factor, and raise the intriguing possibility that p150 plays a role in promoting delivery of SUMO2/3 or SUMO2/3-modified proteins (or both) on chromatin fibers during replication. PMID: 19919826
- p150 was efficiently phosphorylated by Cdc7-Dbf4 kinase. PMID: 16826239
- ACF generates the characteristic 50- to 60-base-pair internucleosomal spacing in silent chromatin by kinetically discriminating against shorter linker DNAs PMID: 17099699
- rs9352 of CHAF1A was repeatedly includes (78% of the 200 bootstrap samples) in the best set of SNPs. CHAF1A may contribute to gliomagenesis. PMID: 18559551
- p150 directly activates transcription, independently of its histone deposition function. PMID: 19324875
- Data show that human CAF-1 (p150) contains two PCNA interaction peptides, and suggest that these peptides are part of the mechanism that enables CAF-1 to function behind replication forks without interfering with other PCNA-mediated processes. PMID: 19822659
- Altered mRNA expression is associated with prostate cancer recurrence. PMID: 15067324
顯示更多
收起更多
-
亞細胞定位:Nucleus. Note=DNA replication foci.
-
蛋白家族:CHAF1A family
-
數據庫鏈接:
Most popular with customers
-
-
YWHAB Recombinant Monoclonal Antibody
Applications: ELISA, WB, IHC, IF, FC
Species Reactivity: Human, Mouse, Rat
-
Phospho-YAP1 (S127) Recombinant Monoclonal Antibody
Applications: ELISA, WB, IHC
Species Reactivity: Human
-
-
-
-
-















