CHCHD3 Antibody
-
中文名稱:CHCHD3兔多克隆抗體
-
貨號:CSB-PA873679ESR1HU
-
規格:¥440
-
圖片:
-
Western blot
All lanes: CHCHD3 antibody at 0.56µg/ml
Lane 1: Mouse heart tissue
Lane 2: Mouse kidney tissue
Lane 3: Mouse lung tissue
Lane 4: A549 whole cell lysate
Lane 5: HepG2 whole cell lysate
Lane 6: 293T whole cell lysate
Lane 7: A431 whole cell lysate
Lane 8: Hela whole cell lysate
Secondary
Goat polyclonal to rabbit IgG at 1/10000 dilution
Predicted band size: 26 kDa
Observed band size: 26 kDa -
Immunohistochemistry of paraffin-embedded human liver tissue using CSB-PA873679ESR1HU at dilution of 1:100
-
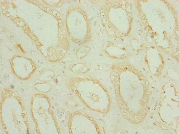
Immunohistochemistry of paraffin-embedded human kidney tissue using CSB-PA873679ESR1HU at dilution of 1:100
-
-
其他:
產品詳情
-
產品名稱:Rabbit anti-Homo sapiens (Human) CHCHD3 Polyclonal antibody
-
Uniprot No.:
-
基因名:CHCHD3
-
別名:CHCH3_HUMAN antibody; CHCHD 3 antibody; Chchd3 antibody; Coiled coil helix coiled coil helix domain containing 3 antibody; Coiled coil helix coiled coil helix domain containing protein 3 mitochondrial antibody; Coiled-coil-helix-coiled-coil-helix domain-containing protein 3 antibody; FLJ20420 antibody; MINOS3 antibody; mitochondrial antibody; Mitochondrial inner membrane organizing system 3 antibody; PPP1R22 antibody; Protein phosphatase 1 regulatory subunit 22 antibody
-
宿主:Rabbit
-
反應種屬:Human, Mouse
-
免疫原:Recombinant Human MICOS complex subunit MIC19 protein (1-227AA)
-
免疫原種屬:Homo sapiens (Human)
-
標記方式:Non-conjugated
-
克隆類型:Polyclonal
-
抗體亞型:IgG
-
純化方式:Antigen Affinity Purified
-
濃度:It differs from different batches. Please contact us to confirm it.
-
保存緩沖液:PBS with 0.02% sodium azide, 50% glycerol, pH7.3.
-
產品提供形式:Liquid
-
應用范圍:ELISA, WB, IHC
-
推薦稀釋比:
Application Recommended Dilution WB 1:1000-1:5000 IHC 1:20-1:200 -
Protocols:
-
儲存條件:Upon receipt, store at -20°C or -80°C. Avoid repeated freeze.
-
貨期:Basically, we can dispatch the products out in 1-3 working days after receiving your orders. Delivery time maybe differs from different purchasing way or location, please kindly consult your local distributors for specific delivery time.
-
用途:For Research Use Only. Not for use in diagnostic or therapeutic procedures.
相關產品
靶點詳情
-
功能:Component of the MICOS complex, a large protein complex of the mitochondrial inner membrane that plays crucial roles in the maintenance of crista junctions, inner membrane architecture, and formation of contact sites to the outer membrane. Has also been shown to function as a transcription factor which binds to the BAG1 promoter and represses BAG1 transcription. Plays an important role in the maintenance of the MICOS complex stability and the mitochondrial cristae morphology.
-
基因功能參考文獻:
- Sub-mitochondrial localization of the genetic-tagged mitochondrial intermembrane space-bridging components Mic19, Mic60 and Sam50. PMID: 28808085
- The findings suggest that Mic19 is a redox-dependent regulator of mitochondrial contact site and crista organizing system complex function. PMID: 26416881
- both the myristoylation and the CHCH domain are essential for the import and mitochondrial localization of ChChd3. Once imported, ChChd3 binds to Mia40 for further folding and assembly into macromolecular complexes. PMID: 23019327
- ChChd3 is a scaffolding protein that stabilizes protein complexes involved in maintaining crista architecture and protein import and is thus essential for maintaining mitochondrial structure and function. PMID: 21081504
- mitofilin helps regulate mitochondrial morphology and at least four of the associated proteins (metaxins 1 and 2, SAM50 and CHCHD3) have been implicated in protein import PMID: 17624330
顯示更多
收起更多
-
亞細胞定位:Mitochondrion inner membrane; Lipid-anchor; Intermembrane side. Cytoplasm. Nucleus. Mitochondrion.
-
蛋白家族:MICOS complex subunit Mic19 family, Metazoan Mic19 subfamily
-
組織特異性:Detected at low levels in brain, placenta, lung, liver, kidney and pancreas with increased levels in heart and skeletal muscle. Higher expression in primary lung cancers than in normal lung tissue.
-
數據庫鏈接:
Most popular with customers
-
YWHAB Recombinant Monoclonal Antibody
Applications: ELISA, WB, IHC, IF, FC
Species Reactivity: Human, Mouse, Rat
-
Phospho-YAP1 (S127) Recombinant Monoclonal Antibody
Applications: ELISA, WB, IHC
Species Reactivity: Human
-
-
-
-
-
-















