CHRNA2 Antibody
-
中文名稱:CHRNA2兔多克隆抗體
-
貨號:CSB-PA279534
-
規格:¥1100
-
圖片:
-
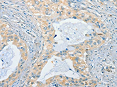
The image on the left is immunohistochemistry of paraffin-embedded Human cervical cancer tissue using CSB-PA279534(CHRNA2 Antibody) at dilution 1/40, on the right is treated with synthetic peptide. (Original magnification: ×200)
-
The image on the left is immunohistochemistry of paraffin-embedded Human brain tissue using CSB-PA279534(CHRNA2 Antibody) at dilution 1/40, on the right is treated with synthetic peptide. (Original magnification: ×200)
-
Gel: 8%SDS-PAGE, Lysate: 40 μg, Lane 1-2: A172 cells, A549 cells, Primary antibody: CSB-PA279534(CHRNA2 Antibody) at dilution 1/950, Secondary antibody: Goat anti rabbit IgG at 1/8000 dilution, Exposure time: 1 minute
-
-
其他:
產品詳情
-
Uniprot No.:
-
基因名:CHRNA2
-
別名:ACHA2_HUMAN antibody; AChR antibody; Cholinergic receptor nicotinic alpha 2 antibody; Chrna2 antibody; Neuronal acetylcholine receptor protein subunit alpha 2 antibody; Neuronal acetylcholine receptor subunit alpha-2 antibody; Nicotinic Acetylcholine Receptor alpha 2 antibody
-
宿主:Rabbit
-
反應種屬:Human
-
免疫原:Synthetic peptide of Human CHRNA2
-
免疫原種屬:Homo sapiens (Human)
-
標記方式:Non-conjugated
-
抗體亞型:IgG
-
純化方式:Antigen affinity purification
-
濃度:It differs from different batches. Please contact us to confirm it.
-
保存緩沖液:-20°C, pH7.4 PBS, 0.05% NaN3, 40% Glycerol
-
產品提供形式:Liquid
-
應用范圍:ELISA,WB,IHC
-
推薦稀釋比:
Application Recommended Dilution ELISA 1:2000-1:5000 WB 1:500-1:2000 IHC 1:25-1:100 -
Protocols:
-
儲存條件:Upon receipt, store at -20°C or -80°C. Avoid repeated freeze.
-
貨期:Basically, we can dispatch the products out in 1-3 working days after receiving your orders. Delivery time maybe differs from different purchasing way or location, please kindly consult your local distributors for specific delivery time.
-
用途:For Research Use Only. Not for use in diagnostic or therapeutic procedures.
相關產品
靶點詳情
-
功能:After binding acetylcholine, the AChR responds by an extensive change in conformation that affects all subunits and leads to opening of an ion-conducting channel across the plasma membrane.
-
基因功能參考文獻:
- A crystal structure of a human neuronal CHRNA2 extracellular domain in pentameric assembly has been reported. PMID: 27493220
- The rare variants in CHRNA2 were significantly associated with smoking status. PMID: 25450229
- a heterozygous single-nucleotide substitution in CHRNA2 gene (c.1126 C>T; p. Arg376Trp) in subjects with benign familial infantile seizures PMID: 25847220
- CHRNA2 mutations play a causative role in autosomal dominant nocturnal frontal lobe epilepsy (ADNFLE). PMID: 25770198
- Results show that D478E variation in nAChR alpha2 subunit increases the peak current responses of both alpha2beta2- and alpha2beta4-nAChRs; but the D478N variation in nAChR alpha2 subunit only increases the peak current responses of alpha2beta2-nAChRs PMID: 24950454
- Level of cigarettes per day during adolescence and young adulthood is associated with CHRNB3A6, CHRNA5A3B4, and CHRNA2 PMID: 23943838
- Results indicate that the CHRNA2 signal peptide mutation T22I modulates the function of both alpha2beta2- and alpha2beta4-nAChR and decreases sensitivities to nicotine and acetylcholine, and quite possibly increasing susceptibility to nicotine dependence PMID: 24467848
- findings indicate that both CHRNA2 and CHRNA6 play a significant role in the etiology of ND in AA and EA smokers PMID: 24253422
- mutations of CHRNB2 and CHRNA2 genes may be rare in Chinese autosomal dominant nocturnal frontal lobe epilepsy (ADNFLE) population. PMID: 21287502
- How mutations in the nAChRs can cause autosomal dominant nocturnal frontal lobe epilepsy PMID: 12121305
- A new CHRNA2 mutation markedly increases the receptor sensitivity to acetylcholine, indicating that the nicotinic alpha 2 subunit alteration is the underlying cause. PMID: 16826524
- data demonstrate the rarity of the identified CHRNA2 mutations in nocturnal frontal lobe epilepsy patients, supporting the recently reported hypothesis of a restricted role for this gene in the disease PMID: 18226955
- The CHRNA2 rs2043063 SNP might be a risk factor for overweight/obesity in Koreans PMID: 18588430
- Results suggest that neither CHRNA4 nor CHRNB2 plays a major role in Japanese methamphetamine-use disorder. PMID: 18991851
- Pleiotropic functional effects of the first epilepsy-associated mutation in the human CHRNA2 gene PMID: 19383498
顯示更多
收起更多
-
相關疾病:Epilepsy, nocturnal frontal lobe, 4 (ENFL4)
-
亞細胞定位:Cell junction, synapse, postsynaptic cell membrane; Multi-pass membrane protein. Cell membrane; Multi-pass membrane protein.
-
蛋白家族:Ligand-gated ion channel (TC 1.A.9) family, Acetylcholine receptor (TC 1.A.9.1) subfamily, Alpha-2/CHRNA2 sub-subfamily
-
數據庫鏈接:
Most popular with customers
-
YWHAB Recombinant Monoclonal Antibody
Applications: ELISA, WB, IHC, IF, FC
Species Reactivity: Human, Mouse, Rat
-
Phospho-YAP1 (S127) Recombinant Monoclonal Antibody
Applications: ELISA, WB, IHC
Species Reactivity: Human
-
-
-
-
-
-















