CIAPIN1 Antibody
-
中文名稱:CIAPIN1兔多克隆抗體
-
貨號:CSB-PA963186
-
規格:¥1100
-
圖片:
-
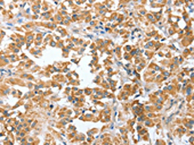
The image on the left is immunohistochemistry of paraffin-embedded Human thyroid cancer tissue using CSB-PA963186(CIAPIN1 Antibody) at dilution 1/60, on the right is treated with fusion protein. (Original magnification: ×200)
-
The image on the left is immunohistochemistry of paraffin-embedded Human liver cancer tissue using CSB-PA963186(CIAPIN1 Antibody) at dilution 1/60, on the right is treated with fusion protein. (Original magnification: ×200)
-
-
其他:
產品詳情
-
Uniprot No.:
-
基因名:CIAPIN1
-
別名:2810413N20Rik antibody; Anamorsin antibody; CIAPIN 1 antibody; CIAPIN1 antibody; CPIN1_HUMAN antibody; Cytokine induced apoptosis inhibitor 1 antibody; Cytokine-induced apoptosis inhibitor 1 antibody; DRE2 antibody; Fe-S cluster assembly protein DRE2 homolog antibody; Predicted protein of HQ0915 antibody; PRO0915 antibody
-
宿主:Rabbit
-
反應種屬:Human
-
免疫原:Fusion protein of Human CIAPIN1
-
免疫原種屬:Homo sapiens (Human)
-
標記方式:Non-conjugated
-
抗體亞型:IgG
-
純化方式:Antigen affinity purification
-
濃度:It differs from different batches. Please contact us to confirm it.
-
保存緩沖液:-20°C, pH7.4 PBS, 0.05% NaN3, 40% Glycerol
-
產品提供形式:Liquid
-
應用范圍:ELISA,IHC
-
推薦稀釋比:
Application Recommended Dilution ELISA 1:2000-1:5000 IHC 1:50-1:200 -
Protocols:
-
儲存條件:Upon receipt, store at -20°C or -80°C. Avoid repeated freeze.
-
貨期:Basically, we can dispatch the products out in 1-3 working days after receiving your orders. Delivery time maybe differs from different purchasing way or location, please kindly consult your local distributors for specific delivery time.
-
用途:For Research Use Only. Not for use in diagnostic or therapeutic procedures.
相關產品
靶點詳情
-
功能:Component of the cytosolic iron-sulfur (Fe-S) protein assembly (CIA) machinery required for the maturation of extramitochondrial Fe-S proteins. Part of an electron transfer chain functioning in an early step of cytosolic Fe-S biogenesis, facilitating the de novo assembly of a [4Fe-4S] cluster on the scaffold complex NUBP1-NUBP2. Electrons are transferred to CIAPIN1 from NADPH via the FAD- and FMN-containing protein NDOR1. NDOR1-CIAPIN1 are also required for the assembly of the diferric tyrosyl radical cofactor of ribonucleotide reductase (RNR), probably by providing electrons for reduction during radical cofactor maturation in the catalytic small subunit. Has anti-apoptotic effects in the cell. Involved in negative control of cell death upon cytokine withdrawal. Promotes development of hematopoietic cells.
-
基因功能參考文獻:
- the effects of CIAPIN-1 in chondrocytes, focusing on extracellular signal-regulated kinase (ERK)-1/2 and p38 kinase signaling PMID: 27644154
- results of the present study suggest that downregulation of the CIAPIN1 gene in multiple myeloma cells may be associated with the development of this disease. PMID: 25901506
- CIAPIN1 and ABCA13 may be novel markers of poor outcome in pre-chemotherapy serous carcinoma effusions. PMID: 25889687
- CIAPIN1 over-expression decreases NHE1 expression and ERK1/2 phosphorylation. PMID: 25724898
- lentivirus-vector-mediated RNAi targeting of CIAPIN1 is a potential approach to reverse MDR of breast cancer and CIAPIN1 may participate in MDR of breast cancer by regulating P-glycoprotein and P53 expression. PMID: 24676475
- the 25-kDa cleaved fragment of anamorsin was detected in post-mortem brains of Alzheimer and Parkinson disease patients PMID: 24973211
- The N-terminal methyltransferase-like domain of anamorsin probably functions as a structural scaffold to inhibit methyl transfers. PMID: 24123282
- CIAPIN1 targeted NHE1 to mediate differentiation of K562 cells via ERK1/2 pathway. PMID: 25043809
- Mossbauer and EPR spectra of human anamorsin show that both the M1 motif and the M2 motif bind independently a [2Fe-2S] cluster through the four cysteines of each motif. PMID: 23989406
- CIAPIN1 siRNA inhibited proliferation, migration and promotes apoptosis of vascular smooth muscle cells by regulating Bcl-2 and Bax. PMID: 23151078
- the molecular basis of recognition between Ndor1 and anamorsin and of the electron transfer process, was investigated. PMID: 23596212
- Elevated expression of nuclear CIAPIN1 negatively correlated with the survival of epithelial ovarian cancer patients PMID: 22713669
- In summary, our work revealed a novel function of CIAPIN1, which might possibly be used as an independent prognostic factor and a potential therapeutic target for pancreatic cancer PMID: 22677939
- Up-regulation of CIAPIN1 expression may play an important role in pathogenesis of leukemia. PMID: 21729524
- Anamorsin is a Mia40-dependent but ALR-independent IMS-protein and binds a [2Fe-2S] cluster before and after specific Mia40-driven Cys-oxidation. PMID: 21700214
- Results of immunohistochemical study showed that CIAPIN1 might play an important role in esophageal carcinogenesis, and it could be considered as a prognostic indicator in esophageal squamous cell carcinoma. PMID: 20411424
- Low expression of CIAPIN1 is associated with colorectal cancer. PMID: 20815902
- it is concluded that CIAPIN1 confers multidrug resistance in gastric cancer cells, likely by upregulating MDR-1 and MRP-1 PMID: 16410721
- CIAPIN1 was localized in both the cytoplasm and the nucleus and was accumulated in the nucleolus. Bioinformatic prediction disclosed a putative nuclear localization signal and a putative nuclear export signal within human CIAPIN1. PMID: 16957168
- CIAPIN1 might be a DNA or RNA methyltransferase. PMID: 17935775
- These findings suggest that downregulating CIAPIN1 could sensitize leukemia cells to chemotherapeutic drugs by downregulating MDR-1 and Bcl-2 and by upregulating Bax. PMID: 18059532
- anamorsin expression in DLBCL patients with a low IPI was shown to be an unfavorable biomarker; anamorsin might play some roles in the abnormal growth of DLBCL. PMID: 18203020
- CIAPIN1 is a suppressor of gastric cancer cell proliferation; CIAPIN1 might play an important role in the development of human gastric cancer. PMID: 18293492
- Knock down of CIAPIN1 by adenovirus-delivered siRNA may be a potential therapeutic strategy for treatment of hepatocellular carcinoma in which CIAPIN1 is overexpressed. PMID: 18299278
- correlation between CIAPIN1 down regulation and decreased MDR1 transcriptional activity were observed. PMID: 18389626
- the CIAPIN1 genet could be used as a clinical marker to identify patients with CCRCC. PMID: 19081179
顯示更多
收起更多
-
亞細胞定位:Cytoplasm. Nucleus. Mitochondrion intermembrane space.
-
蛋白家族:Anamorsin family
-
組織特異性:Ubiquitously expressed. Highly expressed in heart, liver and pancreas.
-
數據庫鏈接:
Most popular with customers
-
-
YWHAB Recombinant Monoclonal Antibody
Applications: ELISA, WB, IHC, IF, FC
Species Reactivity: Human, Mouse, Rat
-
Phospho-YAP1 (S127) Recombinant Monoclonal Antibody
Applications: ELISA, WB, IHC
Species Reactivity: Human
-
-
-
-
-















