CIB1 Antibody
-
中文名稱:CIB1兔多克隆抗體
-
貨號:CSB-PA103488
-
規格:¥1100
-
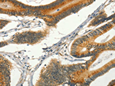
圖片:
-
The image on the left is immunohistochemistry of paraffin-embedded Human cervical cancer tissue using CSB-PA103488(CIB1 Antibody) at dilution 1/30, on the right is treated with synthetic peptide. (Original magnification: ×200)
-
The image on the left is immunohistochemistry of paraffin-embedded Human colon cancer tissue using CSB-PA103488(CIB1 Antibody) at dilution 1/30, on the right is treated with synthetic peptide. (Original magnification: ×200)
-
-
其他:
產品詳情
-
Uniprot No.:
-
基因名:CIB1
-
別名:Calcium and integrin binding 1 (calmyrin) antibody; Calcium and integrin binding protein 1 antibody; Calcium and integrin-binding protein 1 antibody; Calcium- and integrin-binding protein antibody; Calmyrin antibody; CIB antibody; CIB1 antibody; CIB1_HUMAN antibody; CIBP antibody; DNA PKcs interacting protein antibody; DNA-dependent protein kinase interacting protein antibody; DNA-PK interaction protein antibody; DNA-PKcs-interacting protein antibody; Human Snk interacting protein 2 to 28 mRNA complete cds antibody; Kinase interacting protein antibody; Kinase-interacting protein 1 antibody; Kinase-interacting protein antibody; KIP antibody; KIP1 antibody; PRKDCIP antibody; SIP2 28 antibody; SIP2-28 antibody; SNK interacting protein 2 to 28 antibody; SNK-interacting protein 2-28 antibody
-
宿主:Rabbit
-
反應種屬:Human,Mouse,Rat
-
免疫原:Synthetic peptide of Human CIB1
-
免疫原種屬:Homo sapiens (Human)
-
標記方式:Non-conjugated
-
抗體亞型:IgG
-
純化方式:Antigen affinity purification
-
濃度:It differs from different batches. Please contact us to confirm it.
-
保存緩沖液:-20°C, pH7.4 PBS, 0.05% NaN3, 40% Glycerol
-
產品提供形式:Liquid
-
應用范圍:ELISA,IHC
-
推薦稀釋比:
Application Recommended Dilution ELISA 1:1000-1:5000 IHC 1:50-1:200 -
Protocols:
-
儲存條件:Upon receipt, store at -20°C or -80°C. Avoid repeated freeze.
-
貨期:Basically, we can dispatch the products out in 1-3 working days after receiving your orders. Delivery time maybe differs from different purchasing way or location, please kindly consult your local distributors for specific delivery time.
-
用途:For Research Use Only. Not for use in diagnostic or therapeutic procedures.
相關產品
靶點詳情
-
功能:Calcium-binding protein that plays a role in the regulation of numerous cellular processes, such as cell differentiation, cell division, cell proliferation, cell migration, thrombosis, angiogenesis, cardiac hypertrophy and apoptosis. Involved in bone marrow megakaryocyte differentiation by negatively regulating thrombopoietin-mediated signaling pathway. Participates in the endomitotic cell cycle of megakaryocyte, a form of mitosis in which both karyokinesis and cytokinesis are interrupted. Plays a role in integrin signaling by negatively regulating alpha-IIb/beta3 activation in thrombin-stimulated megakaryocytes preventing platelet aggregation. Up-regulates PTK2/FAK1 activity, and is also needed for the recruitment of PTK2/FAK1 to focal adhesions; it thus appears to play an important role in focal adhesion formation. Positively regulates cell migration on fibronectin in a CDC42-dependent manner, the effect being negatively regulated by PAK1. Functions as a negative regulator of stress activated MAP kinase (MAPK) signaling pathways. Down-regulates inositol 1,4,5-trisphosphate receptor-dependent calcium signaling. Involved in sphingosine kinase SPHK1 translocation to the plasma membrane in a N-myristoylation-dependent manner preventing TNF-alpha-induced apoptosis. Regulates serine/threonine-protein kinase PLK3 activity for proper completion of cell division progression. Plays a role in microtubule (MT) dynamics during neuronal development; disrupts the MT depolymerization activity of STMN2 attenuating NGF-induced neurite outgrowth and the MT reorganization at the edge of lamellipodia. Promotes cardiomyocyte hypertrophy via activation of the calcineurin/NFAT signaling pathway. Stimulates calcineurin PPP3R1 activity by mediating its anchoring to the sarcolemma. In ischemia-induced (pathological or adaptive) angiogenesis, stimulates endothelial cell proliferation, migration and microvessel formation by activating the PAK1 and ERK1/ERK2 signaling pathway. Promotes also cancer cell survival and proliferation. May regulate cell cycle and differentiation of spermatogenic germ cells, and/or differentiation of supporting Sertoli cells.; Plays a regulatory role in angiogenesis and tumor growth by mediating PKD/PRKD2-induced vascular endothelial growth factor A (VEGFA) secretion.; (Microbial infection) Involved in keratinocyte-intrinsic immunity to human beta-papillomaviruses (HPVs).
-
基因功能參考文獻:
- In patients with chronic stable ischemic heart failure, the diagnostic value of urine CIB1 outperforms that of serum pro-BNP PMID: 29028109
- In summary, as a multifunctional protein, CIB1 serving not only as a Ca2+ modulating protein, most surprisingly, but also as an important potential tumor promoting factor. [review] PMID: 29017172
- Results suggest that interaction of CIB1 with alphaIIb is one of the early events occurring during outside-in signaling. Furthermore, CIB1 recruits FAK to the alphaIIbbeta3 complex at the filopodia where FAK is activated, which in turn activates c-Src, resulting in propagation of outside-in signaling leading to platelet spreading. PMID: 28542214
- we found that ectopic expression of oncogenic KRas and HRas in cells resulted in elevated CIB1 expression. We previously described the Ca(2+)-myristoyl switch function of CIB1, and its ability to facilitate agonist-induced plasma membrane localisation of sphingosine kinase 1 (SK1), a location where SK1 is known to elicit oncogenic signalling. PMID: 27941888
- a large subset of TNBCs depend on CIB1 for cell survival and tumor growth, independent of CIB1 expression levels. PMID: 26105795
- mRNA and protein expression levels of CIB1 were decreased in the oligoasthenozoospermia patients.CIB1 may be involved in the pathogenesis of oligoasthenozoospermia by the CDK1 signaling pathway. PMID: 24464679
- High serum CIB1 levels are associated with pancreatic cancer.s PMID: 24585405
- KIP binding to TRF2 enhances the telomere-binding activity of TRF2, suggesting that KIP acts as a positive regulator of TRF2 function. PMID: 25012820
- these studies suggested that Kaposi's sarcoma-associated herpesvirus utilizes CIB1 as one of the key molecule(s) to coordinate and sustain the EphA2 mediated signaling involved in its entry PMID: 24550731
- CIB1a is a novel mediator of PKD2-driven carcinogenesis. PMID: 23503467
- we present data that show that CIB1 binds to seven additional alpha-integrin CT peptides, bringing the total number of alpha-integrins that can associate with CIB1 to eight. PMID: 24011356
- Results indicate that CIB1 is uniquely positioned to regulate PI3K/AKT and MEK/ERK signaling and that simultaneous disruption of these pathways synergistically induces a nuclear GAPDH-dependent cell death. PMID: 22964641
- The CIB1 and calcineurin expression was increased in AF atrial tissue and was related to the type of AF. This finding suggests that CIB1 may be involved in the pathogenesis of AF in VHD patients. PMID: 22547769
- results suggest that CIB1 positively regulates cell migration and is necessary for the recruitment of FAK to the focal adhesions. Furthermore, CIB1-induced cell migration is dependent on MAP kinase signaling and its function is attenuated by PAK1 PMID: 21748785
- CIB1 may be used as a novel prognostic factor and possibly an attractive therapeutic target for hepatocellular carcinoma. PMID: 21857112
- CaMy1 via SCG10 couples Ca(2+) signals with the dynamics of microtubules during neuronal outgrowth in the developing brain. PMID: 21215777
- analysis of Ca2+-CIB1 and Mg2+-CIB1 and their interactions with the platelet integrin alphaIIb cytoplasmic domain PMID: 21388953
- Calcium- and integrin-binding protein 1 regulates microtubule organization and centrosome segregation through polo like kinase 3 during cell cycle progression. PMID: 20951827
- content of DNA-PKcs was significantly higher in A549 cells than in H1299 cells PMID: 19923078
- CIB1 may be a potential biomarker and target for therapeutic intervention of breast cancer. PMID: 20473878
- CIB1 interacts with SK1 in a Ca(2+)-dependent manner at the previously identified "calmodulin-binding site" of SK1. PMID: 19854831
- binds NBR1 protein PMID: 11856312
- describes regions within CIB and alpha(IIb) that interact with one another PMID: 12023286
- An association between GPIIb/IIIa and calcium- and integrin-binding protein (CIB) is required for the process of platelet spreading. PMID: 12714504
- CIB regulates platelet spreading through the regulation of FAK activation. PMID: 12881299
- CIB may exist in multiple structural and metal ion-bound states in vivo which may play a role in its regulation of target proteins such as platelet integrin. PMID: 14992593
- KIP has a role in telomere length maintenance and regulation PMID: 15190070
- crystallographic structure of CIP1, an EF-hand-containing protein PMID: 15574431
- calmyrin may be involved in the pathogenesis of AD. PMID: 15885068
- Data indicate that although calmyrin forms stable covalent dimers in vitro, it most probably functions as a monomer in vivo. PMID: 15933764
- CIB1 as a key regulator of PAK1 activation and signaling. PMID: 16061695
- CIB1 appears to inhibit integrin activation by competing with talin for binding to alphaIIbbeta3, thus providing a model for tightly controlled regulation of alphaIIbbeta3 activation. PMID: 16418530
- CIB1 is a ubiquitously expressed activating and inhibiting protein ligand of the InsP(3)R PMID: 16723353
- Data report the structural characteristics of calcium- and integrin-binding protein 1 in solution and the mechanistic details of its interaction with a synthetic peptide derived from the alphaIIb integrin cytoplasmic domain. PMID: 16825200
- communication between the paired EF-hand domains as well as between the N- and C-lobes of CIB1 is distinct from the ancestral proteins calmodulin and troponin C, which might be important for the unique function of CIB1 in numerous biological processes PMID: 17516631
- The function of CIB1 on InsP3-evoked Ca2+ release from the ER is most likely mediated by its interaction with the InsP3 receptor. Thus, CIB1 seems to be an inhibitor of InsP3-dependent Ca2+ release in vivo. PMID: 18627437
- Characterization of calcium- and integrin-binding protein 1 (CIB1) knockout platelets: potential compensation by CIB family members. PMID: 18989529
- data identify low affinity (K(d), 10(-2)M) Ca(2+) binding events that influence the structures of the N- and C-terminal extensions of CIB1 under high (300 mM) Ca(2+) crystallization conditions PMID: 19388079
顯示更多
收起更多
-
亞細胞定位:Membrane; Lipid-anchor. Cell membrane, sarcolemma. Cell membrane. Apical cell membrane. Cell projection, ruffle membrane. Cell projection, filopodium tip. Cell projection, growth cone. Cell projection, lamellipodium. Cytoplasm. Cytoplasm, cytoskeleton. Cytoplasm, cytoskeleton, microtubule organizing center, centrosome. Cytoplasm, perinuclear region. Nucleus. Cell projection, neuron projection. Perikaryon.; [Isoform 2]: Cytoplasm, perinuclear region. Golgi apparatus, trans-Golgi network.
-
組織特異性:Ubiquitously expressed. Expressed in the epidermis, hair follicles and keratinocytes. Detected in platelets and in cell lines of megakaryocytic and erythrocytic lineages. Both isoform 1 and isoform 2 are detected in various cancer cell lines, with isoform
-
數據庫鏈接:
Most popular with customers
-
-
YWHAB Recombinant Monoclonal Antibody
Applications: ELISA, WB, IHC, IF, FC
Species Reactivity: Human, Mouse, Rat
-
Phospho-YAP1 (S127) Recombinant Monoclonal Antibody
Applications: ELISA, WB, IHC
Species Reactivity: Human
-
-
-
-
-















