CISD2 Antibody
-
中文名稱:CISD2兔多克隆抗體
-
貨號:CSB-PA839803LA01HU
-
規格:¥440
-
圖片:
-
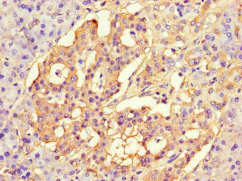
Immunohistochemistry of paraffin-embedded human pancreatic tissue using CSB-PA839803LA01HU at dilution of 1:100
-
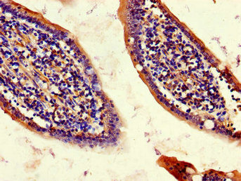
Immunohistochemistry of paraffin-embedded human small intestine tissue using CSB-PA839803LA01HU at dilution of 1:100
-
Immunofluorescent analysis of Hela cells using CSB-PA839803LA01HU at dilution of 1:100 and Alexa Fluor 488-congugated AffiniPure Goat Anti-Rabbit IgG(H+L)
-
Western Blot
Positive WB detected in: Hela whole cell lysate, HepG2 whole cell lysate, Mouse lung tissue
All lanes: CISD2 antibody at 3µg/ml
Secondary
Goat polyclonal to rabbit IgG at 1/50000 dilution
Predicted band size: 16 kDa
Observed band size: 16 kDa
-
-
其他:
產品詳情
-
產品名稱:Rabbit anti-Homo sapiens (Human) CISD2 Polyclonal antibody
-
Uniprot No.:
-
基因名:CISD2
-
別名:1500009M05Rik antibody; 1500026J14Rik antibody; 1500031D15Rik antibody; AI848398 antibody; B630006A20Rik antibody; CDGSH iron sulfur domain 2 antibody; CDGSH iron-sulfur domain-containing protein 2 antibody; CDGSH type domain 2 antibody; CISD2 antibody; CISD2_HUMAN antibody; Endoplasmic reticulum intermembrane small protein antibody; ERIS antibody; Miner1 antibody; MitoNEET related 1 antibody; MitoNEET-related 1 protein antibody; NAF-1 antibody; Noxp70 antibody; Nutrient deprivation autophagy factor 1 antibody; Nutrient-deprivation autophagy factor-1 antibody; OTTHUMP00000219576 antibody; RGD1566242 antibody; WFS2 antibody; Zcd2 antibody; Zinc finger antibody; Zinc finger; CDGSH type domain 2 antibody
-
宿主:Rabbit
-
反應種屬:Human, Mouse
-
免疫原:Recombinant Human CDGSH iron-sulfur domain-containing protein 2 protein (61-135AA)
-
免疫原種屬:Homo sapiens (Human)
-
標記方式:Non-conjugated
本頁面中的產品,CISD2 Antibody (CSB-PA839803LA01HU),的標記方式是Non-conjugated。對于CISD2 Antibody,我們還提供其他標記。見下表:
-
克隆類型:Polyclonal
-
抗體亞型:IgG
-
純化方式:>95%, Protein G purified
-
濃度:It differs from different batches. Please contact us to confirm it.
-
保存緩沖液:Preservative: 0.03% Proclin 300
Constituents: 50% Glycerol, 0.01M PBS, PH 7.4 -
產品提供形式:Liquid
-
應用范圍:ELISA, WB, IHC, IF
-
推薦稀釋比:
Application Recommended Dilution WB 1:2000-1:5000 IHC 1:20-1:200 IF 1:50-1:200 -
Protocols:
-
儲存條件:Upon receipt, store at -20°C or -80°C. Avoid repeated freeze.
-
貨期:Basically, we can dispatch the products out in 1-3 working days after receiving your orders. Delivery time maybe differs from different purchasing way or location, please kindly consult your local distributors for specific delivery time.
-
用途:For Research Use Only. Not for use in diagnostic or therapeutic procedures.
相關產品
靶點詳情
-
功能:Regulator of autophagy that contributes to antagonize BECN1-mediated cellular autophagy at the endoplasmic reticulum. Participates in the interaction of BCL2 with BECN1 and is required for BCL2-mediated depression of endoplasmic reticulum Ca(2+) stores during autophagy. Contributes to BIK-initiated autophagy, while it is not involved in BIK-dependent activation of caspases. Involved in life span control, probably via its function as regulator of autophagy.
-
基因功能參考文獻:
- CDGSH iron-sulfur domain-containing protein 2 (CISD2) Wolfram syndrome type 2 (WFS2) primary fibroblast cell lines showed consistent reduction in proliferation. PMID: 29239282
- CISD2 haploinsufficiency disrupts calcium homeostasis, causing ER stress and subsequent nonalcoholic fatty liver disease and nonalcoholic steatohepatitis PMID: 29166610
- CISD2 was increased in glioma samples and was associated with poor prognosis and aggressive tumor behavior. The miR449a/CISD2/beclin1mediated autophagy regulatory network contributed to the proliferation of glioma cells PMID: 28983596
- CISD2 is down-regulated in gastric cancer, and its effects on the inhibition of cellular proliferation, metastatic ability, and increased chemotherapy sensitivity are mediated by antagonism to 5-FU-induced autophagy through the AKT/mTOR pathway. PMID: 28857517
- The c.103 + 1G > A mutation resulted in the loss of functional CISD2 protein in the two Italian Wolfram syndrome type 2 patients. PMID: 29237418
- CISD2 was up-regulated in laryngeal squamous cell carcinoma PMID: 27007153
- CISD2 could be an independent prognostic factor for PC and suggested that the CISD2/Wnt/beta-catenin pathway contributed to the proliferation of PC and EMT PMID: 27983920
- the patient that we describe in this report with the c.215A > G missense CISD2 variant had the classical features of Wolfram syndrome type 1. The c.215A > G (p.Asn72Ser) variant does not induce CISD2 RNA mis-splicing or a reduction in CISD2 protein levels. Thus, we report a novel missense homozygous CISD2 mutation in a patient with clinical features that differ from previously reported Wolfram syndrome 2 case reports. PMID: 28335035
- CISD2 exerts anti-apoptotic and anti-inflammatory effects in neural cells; and (2) curcumin can attenuate the downregulation of CISD2 in SCI and LPS-treated astrocytes. PMID: 26387034
- CISD2 protein may serve as a candidate prognostic marker and a novel therapeutic target for hepatocellular carcinoma (HCC) and play an important role in promoting proliferation and enhanced progression of HCC. PMID: 26722601
- The findings suggested that CISD2 haplotype-tagging single nucleotide polymorphisms are not associated with Alzheimer's disease risk. PMID: 26154755
- NAF-1 is a BCL-2-associated co-factor that targets BCL-2 for antagonism of the autophagy pathway at the endoplasmic reticulum. PMID: 20010695
- NAF-1 as a previously unidentified cell target of anti-diabetes thiazolidinedione drugs. PMID: 23717386
- provides the first structural information, to our knowledge, for future targeting of the NAF-1-Bcl-2 complex in the regulation of apoptosis/autophagy in cancer biology PMID: 24706857
- High CISD2 expression was significantly associated with gastric cancer. PMID: 26565812
- NAF-1 is a major player in the metabolic regulation of breast cancer cells. PMID: 26621032
- A novel CISD2 mutation is associated with wolfram syndrome 2. PMID: 25371195
- Studied the expression pattern and clinicopathological significance of CISD2 in patients with early-stage cervical cancer. PMID: 25134919
- Data show that the protein levels of NAF-1 (CISD2) and mNT (CISD1) are elevated in human epithelial breast cancer cells. PMID: 23959881
- CISD2 has a role in lifespan control and disease [review] PMID: 20649540
- Novel mutation, new phenotypic variant with no diabetes insipidus, presence of peptic ulcer disease, platelet aggregation defect PMID: 14724730
- A single missense mutation was identified in a novel, highly conserved zinc-finger gene, ZCD2, in three consanguineous families of Jordanian descent with Wolfram syndrome (WFS). PMID: 17846994
- The authors show that Miner1 is a homodimer harboring two redox-active 2Fe-2S clusters, indicating for the first time an association of a redox-active FeS protein with Wolfram Syndrome 2. PMID: 19580816
顯示更多
收起更多
-
相關疾?。?/div>Wolfram syndrome 2 (WFS2)亞細胞定位:Endoplasmic reticulum membrane; Single-pass membrane protein. Mitochondrion outer membrane; Single-pass membrane protein. Note=According to PubMed:20010695, it mainly localizes to the endoplasmic reticulum. However, experiments in mouse showed that it mainly localizes to the mitochondrion outer membrane.蛋白家族:CISD protein family, CISD2 subfamily組織特異性:Testis, small intestine, kidney, lung, brain, heart, pancreas and platelets.數據庫鏈接:
Most popular with customers
-
-
YWHAB Recombinant Monoclonal Antibody
Applications: ELISA, WB, IHC, IF, FC
Species Reactivity: Human, Mouse, Rat
-
Phospho-YAP1 (S127) Recombinant Monoclonal Antibody
Applications: ELISA, WB, IHC
Species Reactivity: Human
-
-
-
-
-















