CLN5 Antibody
-
中文名稱:CLN5兔多克隆抗體
-
貨號:CSB-PA005567LA01HU
-
規格:¥440
-
圖片:
-
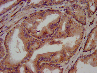
IHC image of CSB-PA005567LA01HU diluted at 1:300 and staining in paraffin-embedded human prostate tissue performed on a Leica BondTM system. After dewaxing and hydration, antigen retrieval was mediated by high pressure in a citrate buffer (pH 6.0). Section was blocked with 10% normal goat serum 30min at RT. Then primary antibody (1% BSA) was incubated at 4°C overnight. The primary is detected by a biotinylated secondary antibody and visualized using an HRP conjugated SP system.
-
IHC image of CSB-PA005567LA01HU diluted at 1:300 and staining in paraffin-embedded human colon cancer performed on a Leica BondTM system. After dewaxing and hydration, antigen retrieval was mediated by high pressure in a citrate buffer (pH 6.0). Section was blocked with 10% normal goat serum 30min at RT. Then primary antibody (1% BSA) was incubated at 4°C overnight. The primary is detected by a biotinylated secondary antibody and visualized using an HRP conjugated SP system.
-
Immunofluorescence staining of 293T cells with CSB-PA005567LA01HU at 1:100, counter-stained with DAPI. The cells were fixed in 4% formaldehyde, permeabilized using 0.2% Triton X-100 and blocked in 10% normal Goat Serum. The cells were then incubated with the antibody overnight at 4°C. The secondary antibody was Alexa Fluor 488-congugated AffiniPure Goat Anti-Rabbit IgG(H+L).
-
-
其他:
產品詳情
-
產品名稱:Rabbit anti-Homo sapiens (Human) CLN5 Polyclonal antibody
-
Uniprot No.:
-
基因名:CLN5
-
別名:Ceroid lipofuscinosis neuronal 5 antibody; Ceroid-lipofuscinosis neuronal protein 5 antibody; CLN5 antibody; CLN5_HUMAN antibody; NCL antibody; Protein CLN5 antibody
-
宿主:Rabbit
-
反應種屬:Human
-
免疫原:Recombinant Human Ceroid-lipofuscinosis neuronal protein 5 protein (42-181AA)
-
免疫原種屬:Homo sapiens (Human)
-
標記方式:Non-conjugated
本頁面中的產品,CLN5 Antibody (CSB-PA005567LA01HU),的標記方式是Non-conjugated。對于CLN5 Antibody,我們還提供其他標記。見下表:
-
克隆類型:Polyclonal
-
抗體亞型:IgG
-
純化方式:>95%, Protein G purified
-
濃度:It differs from different batches. Please contact us to confirm it.
-
保存緩沖液:Preservative: 0.03% Proclin 300
Constituents: 50% Glycerol, 0.01M PBS, pH 7.4 -
產品提供形式:Liquid
-
應用范圍:ELISA, IHC, IF
-
推薦稀釋比:
Application Recommended Dilution IHC 1:200-1:500 IF 1:50-1:200 -
Protocols:
-
儲存條件:Upon receipt, store at -20°C or -80°C. Avoid repeated freeze.
-
貨期:Basically, we can dispatch the products out in 1-3 working days after receiving your orders. Delivery time maybe differs from different purchasing way or location, please kindly consult your local distributors for specific delivery time.
-
用途:For Research Use Only. Not for use in diagnostic or therapeutic procedures.
相關產品
靶點詳情
-
功能:Plays a role in influencing the retrograde trafficking of lysosomal sorting receptors SORT1 and IGF2R from the endosomes to the trans-Golgi network by controlling the recruitment of retromer complex to the endosomal membrane. Regulates the localization and activation of RAB7A which is required to recruit the retromer complex to the endosomal membrane.
-
基因功能參考文獻:
- Genotype-phenotype correlation between CNL5 gene mutations and CNL5 disease symptoms. PMID: 28542837
- We conclude that, whereas sleep homeostasis is present in CLN5(-/-) sheep, underlying CLN5(-/-) disease processes prevent its full expression, even at early stages. PMID: 27488642
- findings support CLN5 hypomorphic mutations cause autosomal recessive cerebellar ataxia, confirming other reports showing CLN mutations are associated with adult-onset neurodegenerative disorders PMID: 25359263
- Two forms of CLN5, derived from the C-terminal proteolytic processing, are present in most cells and tissues. PMID: 26342652
- There are functional differences in various N-glycosylation sites of CLN5 which affect folding, trafficking, and lysosomal function of CLN5. PMID: 24058541
- a role for CLN5 in controlling the itinerary of the lysosomal sorting receptors by regulating retromer recruitment at the endosome PMID: 22431521
- This study highlights a close interaction between CLN5/CLN8 proteins, and their role in sphingolipid metabolism. Our findings suggest that CLN5p/CLN8p most likely are positive modulators of CerS1 and/or CerS2. PMID: 23160995
- analysis of mutations in neuronal ceroid lipofuscinosis protein CLN5 PMID: 20052765
- CLN5 mutations are 1) more common in patients with neuronal ceroid lipofuscinosis (NCL) than previously reported, 2) found in patients of broad ethnic diversity, and 3) can be identified in patients with disease onset in adult and juvenile epochs PMID: 20157158
- Study found that CLN5 interacts with several other NCL proteins namely, CLN1/PPT1, CLN2/TPP1, CLN3, CLN6 and CLN8. PMID: 19941651
- biosynthesis and intracellular localization of this protein PMID: 11971870
- A novel missense mutation in CLN5 was found in a Colombian family with juvenile-onset neuronal ceroid lipofuscinosis: c. 1627G>A causing Arg112His. PMID: 15728307
- The CLN5/mRNA expression level reduced to 45% supports the existence of one mRNA non-producing allele, further noticeable at the protein level. PMID: 16814585
- Reports two sibs harbouring a novel mutation (p.Tyr258Asp) in the CLN5 gene and displaying behaviour disturbances and mental deterioration, rather than epilepsy, as the dominant disease manifestation at onset. PMID: 17607606
- In cultures of brain microvascular endothelial cells, VEGF-A specifically down-regulated CLN-5 and OCLN protein and mRNA PMID: 19174516
- Double immunofluorescence microscopy showed that while the wild-type CLN5 protein is localized in lysosomes, both mutant CLN5 proteins are retained in the endoplasmic reticulum rather than reaching the lysosome. PMID: 19309691
顯示更多
收起更多
-
相關疾病:Ceroid lipofuscinosis, neuronal, 5 (CLN5)
-
亞細胞定位:[Ceroid-lipofuscinosis neuronal protein 5, secreted form]: Lysosome.; [Ceroid-lipofuscinosis neuronal protein 5]: Membrane; Single-pass type II membrane protein.
-
蛋白家族:CLN5 family
-
組織特異性:Ubiquitous.
-
數據庫鏈接:
Most popular with customers
-
-
YWHAB Recombinant Monoclonal Antibody
Applications: ELISA, WB, IHC, IF, FC
Species Reactivity: Human, Mouse, Rat
-
Phospho-YAP1 (S127) Recombinant Monoclonal Antibody
Applications: ELISA, WB, IHC
Species Reactivity: Human
-
-
-
-
-















