CMTM6 Antibody
-
中文名稱:CMTM6兔多克隆抗體
-
貨號:CSB-PA185437
-
規格:¥1100
-
圖片:
-
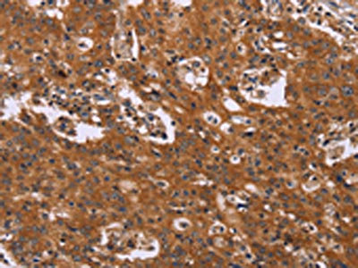
The image on the left is immunohistochemistry of paraffin-embedded Human gastric cancer tissue using CSB-PA185437(CMTM6 Antibody) at dilution 1/40, on the right is treated with synthetic peptide. (Original magnification: ×200)
-
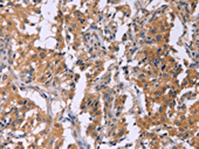
The image on the left is immunohistochemistry of paraffin-embedded Human thyroid cancer tissue using CSB-PA185437(CMTM6 Antibody) at dilution 1/40, on the right is treated with synthetic peptide. (Original magnification: ×200)
-
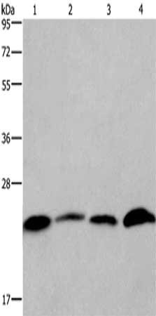
Gel: 10%SDS-PAGE,Lysate: 40 μg,Lane 1-4: Human placenta tissue, Human testis tissue, Hela cells, Raji cells,Primary antibody: CSB-PA185437(CMTM6 Antibody) at dilution 1/700 dilution,Secondary antibody: Goat anti rabbit IgG at 1/8000 dilution,Exposure time: 3 minutes
-
-
其他:
產品詳情
-
Uniprot No.:
-
基因名:CMTM6
-
別名:CMTM6; CKLFSF6; CKLF-like MARVEL transmembrane domain-containing protein 6; Chemokine-like factor superfamily member 6
-
宿主:Rabbit
-
反應種屬:Human
-
免疫原:Synthetic peptide of Human CMTM6
-
免疫原種屬:Homo sapiens (Human)
-
標記方式:Non-conjugated
-
抗體亞型:IgG
-
純化方式:Antigen affinity purification
-
濃度:It differs from different batches. Please contact us to confirm it.
-
保存緩沖液:-20°C, pH7.4 PBS, 0.05% NaN3, 40% Glycerol
-
產品提供形式:Liquid
-
應用范圍:ELISA,WB,IHC
-
推薦稀釋比:
Application Recommended Dilution ELISA 1:2000-1:5000 WB 1:500-1:2000 IHC 1:50-1:200 -
Protocols:
-
儲存條件:Upon receipt, store at -20°C or -80°C. Avoid repeated freeze.
-
貨期:Basically, we can dispatch the products out in 1-3 working days after receiving your orders. Delivery time maybe differs from different purchasing way or location, please kindly consult your local distributors for specific delivery time.
-
用途:For Research Use Only. Not for use in diagnostic or therapeutic procedures.
相關產品
靶點詳情
-
功能:Master regulator of recycling and plasma membrane expression of PD-L1/CD274, an immune inhibitory ligand critical for immune tolerance to self and antitumor immunity. Associates with both constitutive and IFNG-induced PD-L1/CD274 at recycling endosomes, where it protects PD-L1/CD274 from being targeted for lysosomal degradation, likely by preventing its STUB1-mediated ubiquitination. May stabilize PD-L1/CD274 expression on antigen presenting cells and potentiates inhibitory signaling by PDCD1/CD279, its receptor on T-cells, ultimately triggering T-cell anergy.
-
基因功能參考文獻:
- CMTM6 is present at the cell surface, associates with the PD-L1 protein, reduces its ubiquitination and increases PD-L1 protein half-life; CMTM6 enhances the ability of PD-L1-expressing tumour cells to inhibit T cells; collectively, our data reveal that PD-L1 relies on CMTM6/4 to efficiently carry out its inhibitory function, and suggest potential new avenues to block this pathway PMID: 28813410
- CMTM6 depletion, via the reduction of PD-L1, significantly alleviates the suppression of tumour-specific T cell activity in vitro and in vivo; findings provide insights into the biology of PD-L1 regulation, identify a previously unrecognized master regulator of this critical immune checkpoint and highlight a potential therapeutic target to overcome immune evasion by tumour cells PMID: 28813417
- Bioinformatics based on CKLF2 cDNA and protein sequences in combination with experimental validation identified CKLFSF1-8 gene clusters, between the SCY and the TM4SF gene families. The 8 family members were cloned and characterized. PMID: 12782130
-
亞細胞定位:Cell membrane; Multi-pass membrane protein. Early endosome membrane; Multi-pass membrane protein. Recycling endosome membrane; Multi-pass membrane protein.
-
蛋白家族:Chemokine-like factor family
-
組織特異性:Expressed in the leukocytes, placenta and testis.
-
數據庫鏈接:
Most popular with customers
-
-
YWHAB Recombinant Monoclonal Antibody
Applications: ELISA, WB, IHC, IF, FC
Species Reactivity: Human, Mouse, Rat
-
Phospho-YAP1 (S127) Recombinant Monoclonal Antibody
Applications: ELISA, WB, IHC
Species Reactivity: Human
-
-
-
-
-















