CNTF Antibody
-
中文名稱:CNTF兔多克隆抗體
-
貨號:CSB-PA06039A0Rb
-
規格:¥440
-
圖片:
-
Immunofluorescence staining of U251 cells with CSB-PA06039A0Rb at 1:133, counter-stained with DAPI. The cells were fixed in 4% formaldehyde, permeabilized using 0.2% Triton X-100 and blocked in 10% normal Goat Serum. The cells were then incubated with the antibody overnight at 4°C. The secondary antibody was Alexa Fluor 488-congugated AffiniPure Goat Anti-Rabbit IgG(H+L).
-
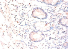
Immunohistochemistry of paraffin-embedded human small intestine tissue using CSB-PA06039A0Rb at dilution of 1:50
-
-
其他:
產品詳情
-
產品名稱:Rabbit anti-Homo sapiens (Human) CNTF Polyclonal antibody
-
Uniprot No.:
-
基因名:
-
別名:Ciliary neurotrophic factor antibody; CNTF antibody; CNTF_HUMAN antibody; HCNTF antibody
-
宿主:Rabbit
-
反應種屬:Human
-
免疫原:Recombinant Human Ciliary neurotrophic factor protein (4-196AA)
-
免疫原種屬:Homo sapiens (Human)
-
標記方式:Non-conjugated
本頁面中的產品,CNTF Antibody (CSB-PA06039A0Rb),的標記方式是Non-conjugated。對于CNTF Antibody,我們還提供其他標記。見下表:
-
克隆類型:Polyclonal
-
抗體亞型:IgG
-
純化方式:>95%, Protein G purified
-
濃度:It differs from different batches. Please contact us to confirm it.
-
保存緩沖液:Preservative: 0.03% Proclin 300
Constituents: 50% Glycerol, 0.01M PBS, PH 7.4 -
產品提供形式:Liquid
-
應用范圍:ELISA, IHC, IF
-
推薦稀釋比:
Application Recommended Dilution IHC 1:20-1:200 IF 1:50-1:200 -
Protocols:
-
儲存條件:Upon receipt, store at -20°C or -80°C. Avoid repeated freeze.
-
貨期:Basically, we can dispatch the products out in 1-3 working days after receiving your orders. Delivery time maybe differs from different purchasing way or location, please kindly consult your local distributors for specific delivery time.
-
用途:For Research Use Only. Not for use in diagnostic or therapeutic procedures.
相關產品
靶點詳情
-
功能:CNTF is a survival factor for various neuronal cell types. Seems to prevent the degeneration of motor axons after axotomy.
-
基因功能參考文獻:
- Our findings suggest that CNTF over-expression enhances the protective effects of bone marrow mesenchymal stem cells on retinal pigment epithelium cells, thus indicating subretinal-transplantation of CNTF-bone marrow mesenchymal stem cells may be a promising therapy for blue-light -injured retina PMID: 29564604
- Cytokines of the LIF/CNTF family and metabolism PMID: 26817395
- High hydrostatic pressure enables almost 100% refolding of recombinant human ciliary neurotrophic factor from inclusion bodies at high concentration. PMID: 28323167
- CNTFR-specific mutants of CNTF have been developed that bind to the CNTFRalpha-LIFRbeta-gp130 receptor. PMID: 26187860
- Human CNTF expression through lentiviral gene transfer in the rat striatum significantly decreased the levels of neuronal metabolites (N-acetyl-aspartate, N-acetyl-aspartyl-glutamate, and glutamate). PMID: 25833344
- the biological effects of CNTF on retinoic acid (RA)-predifferentiated SH-SY5Y neuroblastoma cells and the underlying molecular mechanism of this effect were investigated for the first time PMID: 25118897
- R28E mutation in CNTF abrogatesIL-6 receptor-dependent but retains CNTF receptor-dependent signaling via glycoprotein 130/ LIFR. PMID: 24802752
- In this review, CNTF plays an important role in neurogenesis and differentiation of neural stem cells. PMID: 23948898
- The levels of expression and secretion of BDNF and CTNF of induced cells were assessed using immunocytochemical, Real-Time polymerase chain reaction, and enzyme linked immunosorbent assay (ELISA). PMID: 23944834
- CNTF elevated in umbilical cord blood from pre-eclamptic pregnancies PMID: 23654315
- CNTF-mediated protection of photoreceptors requires initial activation of the cytokine receptor gp130 in Muller glial cells. PMID: 24191003
- Report favourable allelic patterns of ACTN3 and CNTF genes on aerobic performance in athletes. PMID: 23676962
- Data indicate that aspirin increased mRNA and protein expression of CNTF in primary mouse and human astrocytes in a dose- and time-dependent manner. PMID: 23653362
- we show that the release of CNTF by glial cells is a very powerful stimulus for optic fiber regeneration and retinal ganglion cell survival after optic nerve crush PMID: 23194670
- Ciliary neurotrophic factor levels were increased in painful PTT only. PMID: 22337942
- Peptide 6c, corresponding to human CNTF amino acid residues 147-150, induces neurogenesis, neuronal activity and proliferation of immature neurons in the dentate gyrus and improvement of spatial reference memory in mice. PMID: 20952820
- CNTF's effects on retinal pigment epithelial (RPE) physiology PMID: 21912637
- Data show that variants in CNTF were significantly associated with a lower age at onset of the eating disorders. PMID: 20219210
- The role played by CNTF in retinal cell differentiation and survival in retinal progenitors, is reported. PMID: 20428961
- Ciliary neurotrophic factor, and related (CNTF), ligands targeting the established CNTF receptor alpha, binds to sortilin with high affinity. PMID: 20584990
- In women the CNTF polymorphism (odds ratio (OR) = 2.15, 95%CI: 1.27-3.64, p = 0.004) are associated with weight gain. PMID: 19833146
- Studies indicate that leptin, CNTF, LIF and IL-6 present similar three-dimensional fold structure, interact with related class-I receptors and activate similar intracellular pathways. PMID: 19751193
- A null mutation in this protein was evaluated for a relationship to disease susceptibility and disease severity in patients with multiple sclerosis. PMID: 11857064
- Association of a null mutation in the CNTF gene with early onset of multiple sclerosis. PMID: 11890844
- Early onset of severe familial amyotrophic lateral sclerosis with a SOD-1 mutation: potential impact of CNTF as a candidate modifier gene. PMID: 11951178
- CTNF binds to the IL-6 receptor and has a role in neuroprotection PMID: 12643274
- no evidence found to suggest that ciliary neurotrophic factor is involved in the pathogenesis of pelvic endometriosis PMID: 12890930
- Constitutive expression of cytokines in brain induces changes in gene expression characteristic of chronic inflammation leading to either temporal weight reduction (CNTF) or severe cachexia (leukemia inhibitory factor). PMID: 14715713
- Results do not support an effect of the CNTF null allele on body composition, contrary to previous findings. PMID: 14747836
- findings support the hypothesis that CNTF and leptin engage distinct CNS sites and CNTF possesses inflammatory properties distinct from leptin PMID: 15047605
- In spite of axokine gene expression in retinal pigment epithelium, no photoreceptor rescue in retinal degeneration mice. PMID: 15180291
- myogenic lineage-committed human myoblasts can dedifferentiate at a clonal level; CNTF is a novel regulator of skeletal myoblast dedifferentiation via p44/p42 MAPK pathway PMID: 15843428
- CNTF negatively regulates phototransduction, which reduces the photoresponsiveness of rods, resulting in lower electroretinogram amplitudes following light stimulus. PMID: 17192435
- Possible neuroprotective role of CNTF in the optic nerve head. PMID: 17563726
- We conclude that absence of CNTF does not increase susceptibility for neurodegenerative disorders and confirm that it does not affect onset and course of familial and sporadic ALS. PMID: 17651970
- Continuous expression of striatal CNTF at the dose mediated by the expression cassette used in this study was detrimental to transgenic mice with Huntington's disease. PMID: 18293418
- The relative treatment benefit of iloperidone compared with placebo in patients with schizophrenia is enhanced in patients homozygous G/G for the rs1800169 polymorphism of CNTF. PMID: 18303965
- In vivo and in vitro experiments implicate CNTF as an endogenous regulatory component of dopamine D2-receptor-dependent neurogenesis in the subventricular zone and the dentate gyrus of the hippocampus. (Review) PMID: 18524890
- CNTF-mediated signaling is a molecular switch for neuronal versus glial differentiation of retinal stem cells/progenitors. PMID: 18669911
- Ciliary neurotrophic factor, cardiotrophin-like cytokine, and neuropoietin share a conserved binding site on the ciliary neurotrophic factor receptor alpha chain PMID: 18728012
- PTP-1B constitutes a key divergent element between leptin/insulin and CNTF signaling pathways at the neuronal level. PMID: 19008309
- Certain SNP patterns in VDR and CNTF genes showed better improvement of parameters associated with the effects of low-resistance training using exercise machines as analyzed by comparison between SNP patterns and factor analysis. PMID: 19082510
- The results of this study provided further evidence that the production of ciliary neurotrophic factor by Schwann cells is markedly reduced in Charcot-Marie-Tooth type 1A neuropathy. PMID: 19525893
- Fusion of HIV-1 TAT to CNTF may have modified the CNTF capacity to induce intracellular signaling in hypothalamic neurons. PMID: 19573019
- The CNTF 1357 G --> A polymorphism explains only a small portion of the variability in the muscle strength response to training in women. PMID: 19628720
- An interaction between apoE3 and CNTF occurs with both delipidated apeE3 and apoE3 found within a lipoprotein particle in cerebrospinal fluid. This interaction potentiates the survival-promoting activity of CNTF for hippocampal neurons. PMID: 9236223
顯示更多
收起更多
-
亞細胞定位:Cytoplasm.
-
蛋白家族:CNTF family
-
組織特異性:Nervous system.
-
數據庫鏈接:
Most popular with customers
-
YWHAB Recombinant Monoclonal Antibody
Applications: ELISA, WB, IHC, IF, FC
Species Reactivity: Human, Mouse, Rat
-
Phospho-YAP1 (S127) Recombinant Monoclonal Antibody
Applications: ELISA, WB, IHC
Species Reactivity: Human
-
-
-
-
-
-















