COA3 Antibody
-
中文名稱:COA3兔多克隆抗體
-
貨號:CSB-PA896698LA01HU
-
規格:¥440
-
圖片:
-
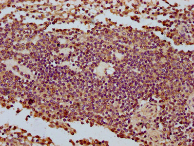
IHC image of CSB-PA896698LA01HU diluted at 1:500 and staining in paraffin-embedded human spleen tissue performed on a Leica BondTM system. After dewaxing and hydration, antigen retrieval was mediated by high pressure in a citrate buffer (pH 6.0). Section was blocked with 10% normal goat serum 30min at RT. Then primary antibody (1% BSA) was incubated at 4°C overnight. The primary is detected by a biotinylated secondary antibody and visualized using an HRP conjugated SP system.
-
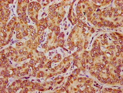
IHC image of CSB-PA896698LA01HU diluted at 1:500 and staining in paraffin-embedded human liver cancer performed on a Leica BondTM system. After dewaxing and hydration, antigen retrieval was mediated by high pressure in a citrate buffer (pH 6.0). Section was blocked with 10% normal goat serum 30min at RT. Then primary antibody (1% BSA) was incubated at 4°C overnight. The primary is detected by a biotinylated secondary antibody and visualized using an HRP conjugated SP system.
-
-
其他:
產品詳情
-
產品名稱:Rabbit anti-Homo sapiens (Human) COA3 Polyclonal antibody
-
Uniprot No.:
-
基因名:COA3
-
別名:COA3; CCDC56; MITRAC12; HSPC009; Cytochrome c oxidase assembly factor 3 homolog, mitochondrial; Coiled-coil domain-containing protein 56; Mitochondrial translation regulation assembly intermediate of cytochrome c oxidase protein of 12 kDa
-
宿主:Rabbit
-
反應種屬:Human
-
免疫原:Recombinant Human Cytochrome c oxidase assembly factor 3 homolog, mitochondrial protein (2-57AA)
-
免疫原種屬:Homo sapiens (Human)
-
標記方式:Non-conjugated
本頁面中的產品,COA3 Antibody (CSB-PA896698LA01HU),的標記方式是Non-conjugated。對于COA3 Antibody,我們還提供其他標記。見下表:
-
克隆類型:Polyclonal
-
抗體亞型:IgG
-
純化方式:>95%, Protein G purified
-
濃度:It differs from different batches. Please contact us to confirm it.
-
保存緩沖液:Preservative: 0.03% Proclin 300
Constituents: 50% Glycerol, 0.01M PBS, pH 7.4 -
產品提供形式:Liquid
-
應用范圍:ELISA, IHC
-
推薦稀釋比:
Application Recommended Dilution IHC 1:500-1:1000 -
Protocols:
-
儲存條件:Upon receipt, store at -20°C or -80°C. Avoid repeated freeze.
-
貨期:Basically, we can dispatch the products out in 1-3 working days after receiving your orders. Delivery time maybe differs from different purchasing way or location, please kindly consult your local distributors for specific delivery time.
-
用途:For Research Use Only. Not for use in diagnostic or therapeutic procedures.
相關產品
靶點詳情
-
功能:Core component of the MITRAC (mitochondrial translation regulation assembly intermediate of cytochrome c oxidase complex) complex, that regulates cytochrome c oxidase assembly. MITRAC complexes regulate both translation of mitochondrial encoded components and assembly of nuclear-encoded components imported in mitochondrion. Required for efficient translation of MT-CO1 and mitochondrial respiratory chain complex IV assembly.
-
基因功能參考文獻:
- Data suggest that COX assembly factor 3 (hCOA3) is a disordered protein and that the flexibility of hCOA3 is crucial for its interaction with other proteins to favor mitochondrial protein translocation and assembly of proteins involved in the respiratory chain. PMID: 27791355
- COX14 was undetectable in COA3 subject fibroblasts, and that COA3 was undetectable in fibroblasts from a COX14 subject, demonstrating the interdependence of these two COX assembly factors PMID: 25604084
- hCOA3 stabilizes COX1 co-translationally and promotes its assembly with COX partner subunits. PMID: 23362268
- Study comprehensively identified mammalian cytochrome c oxidase assembly factors. These analyses led to the discoveryof MITRAC12, which defines the MITRAC (mitochondrial translation regulation assembly intermediate of cytochrome c oxidase)complexes. PMID: 23260140
- Human ortholog of fungal COA3 (Cytochrome oxidase assembly) PMID: 22356826
顯示更多
收起更多
-
亞細胞定位:Mitochondrion inner membrane; Single-pass membrane protein.
-
蛋白家族:COA3 family
-
數據庫鏈接:
Most popular with customers
-
-
YWHAB Recombinant Monoclonal Antibody
Applications: ELISA, WB, IHC, IF, FC
Species Reactivity: Human, Mouse, Rat
-
Phospho-YAP1 (S127) Recombinant Monoclonal Antibody
Applications: ELISA, WB, IHC
Species Reactivity: Human
-
-
-
-
-















