COCH Antibody
-
中文名稱:COCH兔多克隆抗體
-
貨號:CSB-PA005703ESR2HU
-
規格:¥440
-
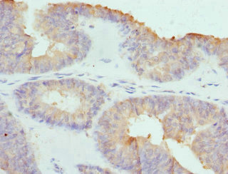
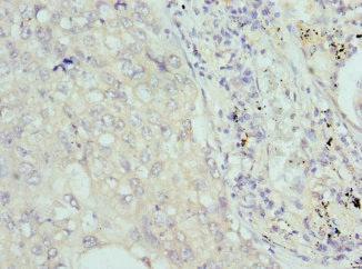
圖片:
-
其他:
產品詳情
-
產品名稱:Rabbit anti-Homo sapiens (Human) COCH Polyclonal antibody
-
Uniprot No.:
-
基因名:COCH
-
別名:COCH antibody; COCH5B2 antibody; UNQ257/PRO294Cochlin antibody; COCH-5B2 antibody
-
宿主:Rabbit
-
反應種屬:Human
-
免疫原:Recombinant Human Cochlin protein (20-260AA)
-
免疫原種屬:Homo sapiens (Human)
-
標記方式:Non-conjugated
-
克隆類型:Polyclonal
-
抗體亞型:IgG
-
純化方式:Antigen Affinity Purified
-
濃度:It differs from different batches. Please contact us to confirm it.
-
保存緩沖液:PBS with 0.02% sodium azide, 50% glycerol, pH7.3.
-
產品提供形式:Liquid
-
應用范圍:ELISA, IHC
-
推薦稀釋比:
Application Recommended Dilution IHC 1:20-1:200 -
Protocols:
-
儲存條件:Upon receipt, store at -20°C or -80°C. Avoid repeated freeze.
-
貨期:Basically, we can dispatch the products out in 1-3 working days after receiving your orders. Delivery time maybe differs from different purchasing way or location, please kindly consult your local distributors for specific delivery time.
-
用途:For Research Use Only. Not for use in diagnostic or therapeutic procedures.
相關產品
靶點詳情
-
功能:Plays a role in the control of cell shape and motility in the trabecular meshwork.
-
基因功能參考文獻:
- A homozygous nonsense c.292C>T(p.Arg98*) COCH variant was identified in two brothers with prelingual hearing impairment. PMID: 29449721
- Recessive dystrophic epidermolysis bullosa patients displayed lower levels of systemic cochlin LCCL domain with subsequently impaired macrophage response in infected wounds. PMID: 29305555
- A missense mutation in the LCCL domain of COCH was associated with autosomal dominant nonsyndromic sensorineural hearing loss in a Chinese family. PMID: 28116169
- c.889G>A (p.C162Y) Mutation in COCH leads to vestibular dysfunction and autosomal dominant nonsyndromic deafness 9.The p.C162Y mutation causes either disruption of LCCL domain fragment cleavage or aggregation of mutant cochlin. PMID: 28099493
- COCH expression is significantly downregulated in human masticatory mucosa during wound healing PMID: 28005267
- Distinct vestibular phenotypes depending on the location of COCH mutations were demonstrated, and this study correlates a genotype of p.G38D in COCH to the phenotype of bilateral total vestibular loss, therefore expanding the vestibular phenotypic spectrum of DFNA9 to range from bilateral vestibular loss without episodic vertigo to MD-like features with devastating episodic vertigo PMID: 26758463
- This study showed that Mendelian sensorineural hearing loss exhibits vestibular dysfunction, including DFNA9, DFNA11, DFNA15 and DFNA28. PMID: 27083884
- the impaired post-translational cleavage of cochlin mutants may be associated with pathological mechanisms underlying DFNA9-related sensorineural hearing loss. PMID: 26256111
- This family is the first case of a truncating COCH variant and supports the hypothesis that COCH haploinsufficiency is not the cause of hearing loss in humans. PMID: 26631968
- Targeted exon resequencing of selected genes using next-generation sequencing identified 3 COCH (one known, two novel) mutations in a cohort of hearing loss patients in Japan. PMID: 25780252
- This is the first report showing failure of mutant cochlin transport through the secretory pathway, abolishment of cochlin secretion, and formation and retention of dimers and large multimeric intracellular aggregates PMID: 25230692
- prominent in the incudomalleal joint, incudostapedial joint, and the pars tensa of the tympanic membrane PMID: 25049087
- A new phenotypic and characteristic radiologic feature of DFNA9 has been discovered. PMID: 24662630
- new variants in genes such as COCH is associated with nonsyndromic deafness and vestibular dysfunction. PMID: 24275721
- Chinese DFNA9 family associated with novel COCH mutation with genotype-phenotype correlation. PMID: 23993205
- This study suggests lack of association of both COCH and TNFA with primary open-angle glaucoma pathogenesis. PMID: 24063017
- COCH and SLC26A5 mRNA are expressed in specific structures and cells of the inner ear in archival human temporal bone PMID: 23660400
- Identification of a novel missense mutation in COCH in a Chinese family with autosomal dominant non-syndromic progressive sensorineural hearing loss. PMID: 22931125
- The data cannot confirm the association described previously between superior semicircular canal dehiscence and the presence of mutations in COCH gene. PMID: 22139968
- the instability of mutant cochlin is the major driving force for cochlin aggregation in the inner ear in DFNA9 patients carrying the COCH p.F527C mutation PMID: 22610276
- Cochlin interacts with TREK-1 and annexin A2. PMID: 21886777
- The phenotype associated with the I109N COCH mutation is largely similar to that associated with the I109T, P51S, G87W, and G88E mutation carriers. However, subtle differences seem to exist in terms of age of onset and rate of progression. PMID: 21774451
- All affected family members with a COCH mutation in the vWFA2 domain shared sensorineural hearing loss with full penetrance starting between the second and fifth decade of life. PMID: 17944208
- The onset of the hearing loss, in the 2nd or 3rd decade of life, is earlier than in most DFNA9 families. The progression of hearing loss and vestibular dysfunction in the American family is typical of other DFNA9 families with mutations in this domain. PMID: 21046548
- present in the perilymph, not in cerebrospinal fluid PMID: 20105107
- The causative gene of autosomal dominant non-syndromic hearing loss in the Korean family and a recurrent mutation in the COCH gene, were identified. PMID: 20447147
- study suggests a possible molecular mechanism underlying DFNA9 hearing loss and provides an in vitro model that may be used to explore protein-misfolding diseases in genera PMID: 20228067
- Cochlin expression was effective in decreasing outflow facility and increasing pressure in cultured anterior segment, suggesting possible involvement of cochlin in IOP elevation in vivo. PMID: 19933177
- By RT-PCR, we found that full-length cochlin was expressed in all organs examined, with a splice variant in the heart. By Western blot, we detected short isoforms (11-17 kDa) in the perilymph. PMID: 19657184
- Areas that express COCH mRNA as determined by in situ hybridization, and to the regions of the inner ear which show histological abnormalities in autosomal dominant sensorineural deafness and vestibular disorder, DFNA9. PMID: 11709536
- findings suggest that COCH mutations are unlikely to cause abnormalities in secretion and suggest that extracellular events might cause autosomal dominant sensorineural deafness (DFNA9) pathology PMID: 12928864
- A multigeneration Belgian family with late-onset progressive sensorineural hearing loss--Linkage to DFNA9 was confirmed and mutation analysis revealed a P51S mutation in the COCH gene. PMID: 14501450
- Cochlin, a protein associated with deafness disorder DFNA9, is present in glaucomatous but absent in normal trabecular meshwork PMID: 15579465
- A new COCH mutation is identified which causes autosomal dominant hearing impairment. PMID: 16835921
- Cochlin-specific interferon-gamma-producing T cells are implicated in the etiopathogenesis of autoimmune sensorineural hearing loss. PMID: 16951386
- Haplotype analysis placed the late onset autosomal dominant hereditary non-syndromic hearing loss locus within a 7.6 cM genetic interval defined by marker D14S1021 and D14S70, overlapping with the DFNA9 locus PMID: 17138532
- the phenotype associated with the novel COCH (G87W) mutation is largely similar to that associated with the P51S and G88E mutation carriers PMID: 17264471
- Data analysis demonstrated a significant association between vertical corneal striae and the Pro51Ser and Gly88Glu mutations in the COCH gene in DFNA9 families 1, 2, and 3 with cochleovestibular dysfunction. PMID: 17368553
- This is a report of the audiological and vestibular characteristics of a Dutch DFNA9 family with a novel mutation, I109T, in the LCCL domain of COCH PMID: 17561763
- A prominent but previously unreported ribbon-like pattern of cochlin in the basilar membrane was demonstrated, suggesting an important role for cochlin in the structure of the basilar membrane. PMID: 17926100
- novel mutations in the vWFA2 domain of the COCH gene were identified in Chinese families with autosomal dominant sensorineural non-syndromic hearing loss (HL) 9 PMID: 18312449
- The second von Willebrand type A domain of cochlin has affinity for type II collagen, as well as type I and type IV collagens whereas the LCCL-domain of cochlin has no affinity for these proteins. PMID: 19013156
- These results support the finding that the observed increased cochlin expression in glaucomatous TM is due to relative elevated abundance of transcription factors. PMID: 19098315
- causative mutation in the COCH gene in American families associated with superior semicircular canal dehiscence.(280-5) PMID: 19161137
顯示更多
收起更多
-
相關疾病:Deafness, autosomal dominant, 9 (DFNA9)
-
亞細胞定位:Secreted, extracellular space, extracellular matrix.
-
組織特異性:Expressed in inner ear structures; the cochlea and the vestibule.
-
數據庫鏈接:
Most popular with customers
-
-
YWHAB Recombinant Monoclonal Antibody
Applications: ELISA, WB, IHC, IF, FC
Species Reactivity: Human, Mouse, Rat
-
-
-
-
-
-















