COG4 Antibody
-
中文名稱:COG4兔多克隆抗體
-
貨號:CSB-PA881003ESR2HU
-
規格:¥440
-
圖片:
-
Western blot
All lanes: COG4 antibody at 4.85µg/ml
Lane 1: Mouse liver tissue
Lane 2: Mouse gonadal tissue
Lane 3: K562 whole cell lysate
Lane 4: Hela whole cell lysate
Secondary
Goat polyclonal to rabbit IgG at 1/10000 dilution
Predicted band size: 90, 39, 82 kDa
Observed band size: 90 kDa -
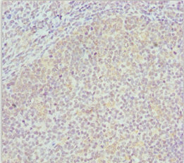
Immunohistochemistry of paraffin-embedded human tonsil tissue using CSB-PA881003ESR2HU at dilution of 1:100
-
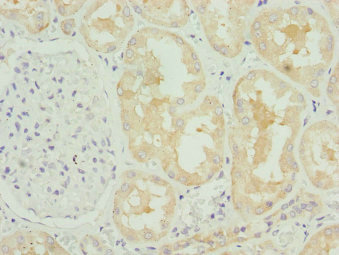
Immunohistochemistry of paraffin-embedded human kidney tissue using CSB-PA881003ESR2HU at dilution of 1:100
-
-
其他:
產品詳情
-
產品名稱:Rabbit anti-Homo sapiens (Human) COG4 Polyclonal antibody
-
Uniprot No.:
-
基因名:COG4
-
別名:COG4Conserved oligomeric Golgi complex subunit 4 antibody; COG complex subunit 4 antibody; Component of oligomeric Golgi complex 4 antibody
-
宿主:Rabbit
-
反應種屬:Human, Mouse
-
免疫原:Recombinant Human Conserved oligomeric Golgi complex subunit 4 protein (506-785AA)
-
免疫原種屬:Homo sapiens (Human)
-
標記方式:Non-conjugated
-
克隆類型:Polyclonal
-
抗體亞型:IgG
-
純化方式:Antigen Affinity Purified
-
濃度:It differs from different batches. Please contact us to confirm it.
-
保存緩沖液:PBS with 0.02% sodium azide, 50% glycerol, pH7.3.
-
產品提供形式:Liquid
-
應用范圍:ELISA, WB, IHC
-
推薦稀釋比:
Application Recommended Dilution WB 1:1000-1:5000 IHC 1:20-1:200 -
Protocols:
-
儲存條件:Upon receipt, store at -20°C or -80°C. Avoid repeated freeze.
-
貨期:Basically, we can dispatch the products out in 1-3 working days after receiving your orders. Delivery time maybe differs from different purchasing way or location, please kindly consult your local distributors for specific delivery time.
-
用途:For Research Use Only. Not for use in diagnostic or therapeutic procedures.
相關產品
靶點詳情
-
功能:Required for normal Golgi function. Plays a role in SNARE-pin assembly and Golgi-to-ER retrograde transport via its interaction with SCFD1.
-
基因功能參考文獻:
- A novel R729W missense mutation in COG4 was associated with the congenital disorder of glycosylation type II. PMID: 19494034
- The 1.9 A crystal structure of a Cog4 C-terminal fragment, was determined. Arg 729 is found to occupy a key position at the center of a salt bridge network, thereby stabilizing Cog4's small C-terminal domain. PMID: 19651599
-
相關疾病:Congenital disorder of glycosylation 2J (CDG2J)
-
亞細胞定位:Cytoplasm, cytosol. Golgi apparatus membrane; Peripheral membrane protein; Cytoplasmic side.
-
蛋白家族:COG4 family
-
數據庫鏈接:
Most popular with customers
-
-
YWHAB Recombinant Monoclonal Antibody
Applications: ELISA, WB, IHC, IF, FC
Species Reactivity: Human, Mouse, Rat
-
Phospho-YAP1 (S127) Recombinant Monoclonal Antibody
Applications: ELISA, WB, IHC
Species Reactivity: Human
-
-
-
-
-















