-
中文名稱:COL10A1兔多克隆抗體
-
貨號:CSB-PA005715ESR2HU
-
規格:¥440
-
圖片:
-
Western blot
All lanes: COL10A1 antibody at 4μg/ml + K562 whole cell lysate
Secondary
Goat polyclonal to rabbit IgG at 1/10000 dilution
Predicted band size: 66 kDa
Observed band size: 66 kDa -
Immunohistochemistry of paraffin-embedded human prostate tissue using CSB-PA005715ESR2HU at dilution of 1:100
-
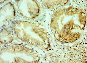
Immunohistochemistry of paraffin-embedded human testis tissue using CSB-PA005715ESR2HU at dilution of 1:100
-
-
其他:
產品詳情
-
產品描述:
To synthesize the COL10A1 antibody, a partial recombinant protein of the human collagen alpha-1(X) chain protein corresponding to the 521-680 amino acids was used to immunize a rabbit. The resulting COL10A1 antibody is an unconjugated IgG isoform that underwent antigen affinity purification.
Rigorous quality control of this COL10A1 polyclonal antibody has been performed in multiple applications, including ELISA, WB, and IHC, to ensure its reliability. It has been demonstrated to be reactive with human COL10A1 protein. The COL10A1 protein plays a role in bone development, angiogenesis, cell migration, and cancer progression.
-
產品名稱:Rabbit anti-Homo sapiens (Human) COL10A1 Polyclonal antibody
-
Uniprot No.:
-
基因名:
-
別名:COAA1_HUMAN antibody; Col10a 1 antibody; COL10A1 antibody; Collagen alpha 1(X) chain antibody; Collagen alpha-1(X) chain antibody; Collagen type X alpha 1 (Schmid metaphyseal chondrodysplasia) antibody; Collagen type X alpha 1 antibody; Collagen X alpha 1 polypeptide antibody; CollagenX antibody; fa66d11 antibody; fb10c08 antibody; OTTHUMP00000040411 antibody; Procollagen type X alpha 1 antibody; Schmid metaphyseal chondrodysplasia antibody; wu:fa66d11 antibody; wu:fb10c08 antibody
-
宿主:Rabbit
-
反應種屬:Human
-
免疫原:Recombinant Human Collagen alpha-1(X) chain protein (521-680AA)
-
免疫原種屬:Homo sapiens (Human)
-
標記方式:Non-conjugated
-
克隆類型:Polyclonal
-
抗體亞型:IgG
-
純化方式:Antigen Affinity Purified
-
濃度:It differs from different batches. Please contact us to confirm it.
-
保存緩沖液:PBS with 0.02% sodium azide, 50% glycerol, pH7.3.
-
產品提供形式:Liquid
-
應用范圍:ELISA, WB, IHC
-
推薦稀釋比:
Application Recommended Dilution WB 1:500-1:2000 IHC 1:20-1:200 -
Protocols:
-
儲存條件:Upon receipt, store at -20°C or -80°C. Avoid repeated freeze.
-
貨期:Basically, we can dispatch the products out in 1-3 working days after receiving your orders. Delivery time maybe differs from different purchasing way or location, please kindly consult your local distributors for specific delivery time.
-
用途:For Research Use Only. Not for use in diagnostic or therapeutic procedures.
相關產品
靶點詳情
-
功能:Type X collagen is a product of hypertrophic chondrocytes and has been localized to presumptive mineralization zones of hyaline cartilage.
-
基因功能參考文獻:
- Plasma samples from lung cancer patients and healthy heavy-smokers controls were tested for levels of COL11A1 and COL10A1 (n = 57 each) and SPARC (n = 90 each). Higher plasma levels of COL10A1 were detected in patients (p = 0.001), a difference that was driven specifically by females (p < 0.001). No difference in COL11A1 levels between patients and controls was found PMID: 30227835
- All affected individuals are heterozygous for the missense mutation collagen type X alpha 1 chain (COL10A1) rs111033552. PMID: 29234170
- increased expression of stromal colXalpha1 and low TILs correlate with poor pathologic response in ER+/HER2+ breast tumors. Further studies are needed to confirm their predictive value and impact on long-term outcomes, and to determine whether this collagen exerts a protective effect on the cancer cells or simply reflects other factors within the tumor microenvironment PMID: 27090210
- a novel sequence variation involving an unusual mutational site of the COL10A1 gene can cause mild metaphyseal chondrodysplasia PMID: 25542771
- COL10A1 mutation 2005delC in a Chinese pedigree with Schmid type metaphyseal chondrodysplasia is close to the C-terminus of the protein sequence and may result in genetic heterogeneity of the Chinese population PMID: 25974987
- Concentration of serum collagen type X levels correlated with cartilage degradation in osteoarthritis patients. PMID: 25245039
- The results show that COL10A1 is a tumor biomarker upregulated in a wide variety of tumors including those of the breast, colon, bladder, stomach, esophagus, lung, testis, ovary and pancreas. PMID: 22894674
- Yiqi Huayu Bushen Recipe increased the expression of aggrecan, decreased the expression of type X collagen, and promoted cell proliferation in cells from degenerated human intervertebral discs. PMID: 22015197
- Genetic variation near FRK/COL10A1 and VEGFA are associated with advanced age-related macular degeneration. PMID: 21665990
- MCDS is a rare genetic skeletal disorder caused by a collagen type X defect. Though much is known about the molecular pathology of the causative COL10A1 mutations, causal therapy of the disease is not yet available PMID: 21360259
- a frameshift mutation leading to elongation of the deduced alpha1(X) chain associated with Metaphyseal Chondrodysplasia type Schmid PMID: 21447328
- These results indicate that nitrogen-rich plasma polymerized surfaces inhibit COL10A1 expression via the suppression of COX-1. PMID: 20225218
- speculate that complete loss of mutant transcripts yields COL10A1 haploinsufficiency and late clinical presentation while incomplete loss of mutant transcripts yields dominant-negative effects with early clinical presentation PMID: 20872587
- The total expression of type X collagen in the concave side growth plates of the lower end vertebrae was higher than that in the same side growth plates of apex. PMID: 20073986
- methylation-based COL10A1 gene silencing is established in cartilage tissue and human articular chondrocytes during chondrogenesis. PMID: 18759285
- chains harboring Schmid metaphyseal chondrodysplasia NC1 domain mutations are selectively retained and degraded in stably transfected cells PMID: 11805116
- The crystal structure at 2.0 A resolution of the human collagen X NC1 domain reveals an intimate trimeric assembly strengthened by a buried cluster of calcium ions. PMID: 11839302
- The 4.6 kb promoter is able to drive specific expression of Col10a1 in hypertrophic cartilage. PMID: 15464363
- exposure of the NC1 thiol may trigger the recognition and degradation of mutant collagen X chains PMID: 15695517
- The effect of COL10A1 nonsense mutations in cartilage tissue has been examined in two patients, demonstrating that the mutant mRNA is completely removed by nonsense mediated mRNA decay PMID: 15880705
- retinoids stimulate collagen X transcription IN chondrocytes PMID: 16598786
- the triple-helical region of collagen X contains a specific DDR2 binding site that is capable of receptor activation PMID: 16806867
- Type X collagen was not detected in any of atehrosclerotic plaques investigated in crural arteries. PMID: 17335825
- Investigated a family affected with the Spahr type of metaphyseal chondrodysplasia. Sequencing of RMRP, and a haplotype analysis using highly informative markers around the COL10A1 excluded both genes from being pathogenic in this family. PMID: 18553549
- HY(hypertrophy) box is the core element responsive to RUNX-2 in human COL10A1 promoter PMID: 19116917
顯示更多
收起更多
-
相關疾病:Schmid type metaphyseal chondrodysplasia (SMCD)
-
亞細胞定位:Secreted, extracellular space, extracellular matrix.
-
數據庫鏈接:
Most popular with customers
-
-
YWHAB Recombinant Monoclonal Antibody
Applications: ELISA, WB, IHC, IF, FC
Species Reactivity: Human, Mouse, Rat
-
Phospho-YAP1 (S127) Recombinant Monoclonal Antibody
Applications: ELISA, WB, IHC
Species Reactivity: Human
-
-
-
-
-















