COQ8B Antibody
-
中文名稱:COQ8B兔多克隆抗體
-
貨號:CSB-PA839305LA01HU
-
規格:¥440
-
圖片:
-
Western Blot
Positive WB detected in: Hela whole cell lysate, A549 whole cell lysate, HepG2 whole cell lysate
All lanes: COQ8B antibody at 3μg/ml
Secondary
Goat polyclonal to rabbit IgG at 1/50000 dilution
Predicted band size: 61, 56 kDa
Observed band size: 61, 56 kDa -
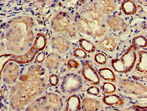
Immunohistochemistry of paraffin-embedded human kidney tissue using CSB-PA839305LA01HU at dilution of 1:100
-
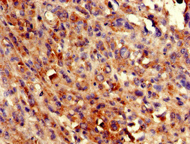
Immunohistochemistry of paraffin-embedded human melanoma using CSB-PA839305LA01HU at dilution of 1:100
-
Immunofluorescent analysis of A549 cells using CSB-PA839305LA01HU at dilution of 1:100 and Alexa Fluor 488-congugated AffiniPure Goat Anti-Rabbit IgG(H+L)
-
-
其他:
產品詳情
-
產品名稱:Rabbit anti-Homo sapiens (Human) COQ8B Polyclonal antibody
-
Uniprot No.:
-
基因名:COQ8B
-
別名:COQ8B; ADCK4; Atypical kinase COQ8B, mitochondrial; AarF domain-containing protein kinase 4; Coenzyme Q protein 8B
-
宿主:Rabbit
-
反應種屬:Human
-
免疫原:Recombinant Human Atypical kinase COQ8B, mitochondrial protein (10-137AA)
-
免疫原種屬:Homo sapiens (Human)
-
標記方式:Non-conjugated
本頁面中的產品,COQ8B Antibody (CSB-PA839305LA01HU),的標記方式是Non-conjugated。對于COQ8B Antibody,我們還提供其他標記。見下表:
-
克隆類型:Polyclonal
-
抗體亞型:IgG
-
純化方式:>95%, Protein G purified
-
濃度:It differs from different batches. Please contact us to confirm it.
-
保存緩沖液:Preservative: 0.03% Proclin 300
Constituents: 50% Glycerol, 0.01M PBS, pH 7.4 -
產品提供形式:Liquid
-
應用范圍:ELISA, WB, IHC, IF
-
推薦稀釋比:
Application Recommended Dilution WB 1:500-1:5000 IHC 1:20-1:200 IF 1:50-1:200 -
Protocols:
-
儲存條件:Upon receipt, store at -20°C or -80°C. Avoid repeated freeze.
-
貨期:Basically, we can dispatch the products out in 1-3 working days after receiving your orders. Delivery time maybe differs from different purchasing way or location, please kindly consult your local distributors for specific delivery time.
-
用途:For Research Use Only. Not for use in diagnostic or therapeutic procedures.
相關產品
靶點詳情
-
功能:Atypical kinase involved in the biosynthesis of coenzyme Q, also named ubiquinone, an essential lipid-soluble electron transporter for aerobic cellular respiration. Its substrate specificity is unclear: does not show any protein kinase activity. Probably acts as a small molecule kinase, possibly a lipid kinase that phosphorylates a prenyl lipid in the ubiquinone biosynthesis pathway. Required for podocyte migration.
-
基因功能參考文獻:
- Mutations in ADCK4 resulted in reduced CoQ10 levels and reduced mitochondrial respiratory enzyme activity in cells isolated from individuals with steroid-resistant nephrotic syndrome & transformed lymphoblasts. PMID: 24270420
-
相關疾病:Nephrotic syndrome 9 (NPHS9)
-
亞細胞定位:Mitochondrion membrane; Single-pass membrane protein. Cytoplasm, cytosol. Cell membrane.
-
蛋白家族:Protein kinase superfamily, ADCK protein kinase family
-
組織特異性:Widely expressed, including renal podocytes.
-
數據庫鏈接:
Most popular with customers
-
-
YWHAB Recombinant Monoclonal Antibody
Applications: ELISA, WB, IHC, IF, FC
Species Reactivity: Human, Mouse, Rat
-
Phospho-YAP1 (S127) Recombinant Monoclonal Antibody
Applications: ELISA, WB, IHC
Species Reactivity: Human
-
-
-
-
-















