CPB2 Antibody
-
中文名稱:CPB2兔多克隆抗體
-
貨號:CSB-PA005884LA01HU
-
規格:¥440
-
圖片:
-
Western Blot
Positive WB detected in: Mouse liver tissue
All lanes: CPB2 antibody at 3.4μg/ml
Secondary
Goat polyclonal to rabbit IgG at 1/50000 dilution
Predicted band size: 49, 41 kDa
Observed band size: 49 kDa -
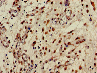
Immunohistochemistry of paraffin-embedded human lung cancer using CSB-PA005884LA01HU at dilution of 1:100
-
Immunofluorescent analysis of PC-3 cells using CSB-PA005884LA01HU at dilution of 1:100 and Alexa Fluor 488-congugated AffiniPure Goat Anti-Rabbit IgG(H+L)
-
-
其他:
產品詳情
-
產品名稱:Rabbit anti-Homo sapiens (Human) CPB2 Polyclonal antibody
-
Uniprot No.:
-
基因名:
-
別名:CPB2 antibody; Carboxypeptidase B2 antibody; EC 3.4.17.20 antibody; Carboxypeptidase U antibody; CPU antibody; Plasma carboxypeptidase B antibody; pCPB antibody; Thrombin-activable fibrinolysis inhibitor antibody; TAFI antibody
-
宿主:Rabbit
-
反應種屬:Human, Mouse
-
免疫原:Recombinant Human Carboxypeptidase B2 protein (225-372AA)
-
免疫原種屬:Homo sapiens (Human)
-
標記方式:Non-conjugated
本頁面中的產品,CPB2 Antibody (CSB-PA005884LA01HU),的標記方式是Non-conjugated。對于CPB2 Antibody,我們還提供其他標記。見下表:
-
克隆類型:Polyclonal
-
抗體亞型:IgG
-
純化方式:>95%, Protein G purified
-
濃度:It differs from different batches. Please contact us to confirm it.
-
保存緩沖液:Preservative: 0.03% Proclin 300
Constituents: 50% Glycerol, 0.01M PBS, pH 7.4 -
產品提供形式:Liquid
-
應用范圍:ELISA, WB, IHC, IF
-
推薦稀釋比:
Application Recommended Dilution WB 1:500-1:5000 IHC 1:20-1:200 IF 1:50-1:200 -
Protocols:
-
儲存條件:Upon receipt, store at -20°C or -80°C. Avoid repeated freeze.
-
貨期:Basically, we can dispatch the products out in 1-3 working days after receiving your orders. Delivery time maybe differs from different purchasing way or location, please kindly consult your local distributors for specific delivery time.
-
用途:For Research Use Only. Not for use in diagnostic or therapeutic procedures.
相關產品
靶點詳情
-
功能:Cleaves C-terminal arginine or lysine residues from biologically active peptides such as kinins or anaphylatoxins in the circulation thereby regulating their activities. Down-regulates fibrinolysis by removing C-terminal lysine residues from fibrin that has already been partially degraded by plasmin.
-
基因功能參考文獻:
- TAFI 1040C/T could not be considered a molecular predictive factor for Recurrent spontaneous abortion in Egyptians. PMID: 28301909
- TAFI and TAFIa levels were increased in patients with APS as a potential response to complement activation. Interestingly, TAFI activation was associated with arterial thrombotic APS manifestations. PMID: 28669410
- Reprot altered in vivo TAFI activation in patients with abdominal aortic aneurysms, as shown by the increased plasma levels of TAFI(activated)/TAFIai(inactivated) and TAFI-activation peptide. PMID: 28834317
- Lys 42, Lys 43, Lys 44 and Arg 12 are critical for the interaction of TAFI with the thrombin-thrombomodulin complex, which modulates its antifibrinolytic potential. PMID: 28640323
- CPU generation during in vitro clot lysis follows a biphasic pattern in pooled plasma. A first CPU activity peak is mediated by the action of thrombin-(thrombomodulin), a second by the action of plasmin. PMID: 28692110
- The data suggested that suppression of TAFI by siRNA inhibits invasion and migration of breast cancer cells and that TAFI may be a new target for breast cancer therapy. PMID: 28765963
- Report direct crosstalk between coagulation and fibrinolysis, which takes place on activated platelets' surface that is further controlled by thrombin-activatable fibrinolysis inhibitor (TAFI). PMID: 28150854
- The current study revealed a significant increase level of TAFI and PAI-1, coupled with a decrease in PAI-2 in women with severe preeclampsia in comparison with the control group. PMID: 27598010
- The abundance of free PAI-1 and TAFI in the plaque may inhibit plasmin generation and thereby counteract plaque destabilization by fibrinolysis, cell migration and inflammation PMID: 28135035
- thrombin activatable fibrinolysis inhibitor pathway impairment, largely caused by a hitherto unknown TAFIa resistance, appears to be one main cause of decreased fibrinolytic resistance in FXI deficiency PMID: 27094709
- analysis of the a204-VHH-i83 complex, which demonstrates that two nanobodies can simultaneously bind to TAFI PMID: 27279497
- Sex-specific analyses explained apparent discrepancies across genetic studies of Ala147Thr and venous thrombosis. While, careful selection of genetic models based on population genetics, evolutionary and biological knowledge can increase power by decreasing the need to adjust for testing multiple models PMID: 28552956
- TAFIa elicited anti-angiogenic responses by endothelial cells: decreased endothelial cell proliferation, cell invasion, cell migration, tube formation, and collagen degradation. It decreased tube formation and proteolysis in endothelial cell culture grown alone and in co-culture with breast cancer cell lines. TAFIa inhibition increased secretion of matrix metalloprotease proenzymes by endothelial and breast cancer cells. PMID: 28124276
- Plasma levels of TAFI are elevated in patients with chronic thromboembolic pulmonary hypertension and are correlated with resistance to clot lysis in those patients. PMID: 27102961
- Results indicate that TAFIa could be a novel biomarker and realistic therapeutic target of chronic thromboembolic pulmonary hypertension. PMID: 28289017
- R12 is a critical residue for the activation of TAFI by thrombin-thrombomodulin PMID: 26816270
- Thrombin activatable fibrinolysis inhibitor, particularly its preoperative levels but also levels during the immediate postoperative period, may be key for understanding coagulopathy during liver transplantation, and it may have a role as predictor of increased mortality rates in the liver transplant population PMID: 27410412
- The results suggest that although the TAFI S438G>T polymorphism is not correlated with venous thrombosis risk in all genetic models of venous thrombosis, a trend toward a reduced risk still could be observed. (Meta-analysis) PMID: 26656901
- rs3742264 and rs1926447 have a modest effect on susceptibility to cardiovascular and cerebrovascular diseases. PMID: 27173177
- The results of the present study demonstrated that the CPB2 expression in patients with chronic hepatitis C was inversely correlated with several risk factors of hepatic fibrosis or steatosis, although ectopic CPB2 expression did not suppress the expression of fibrogenic or lipogenic genes. PMID: 27094832
- Protein C and TAFI are concurrently activated in a thrombomoulin-dependent manner and do not compete for the thrombin-TM complex, raising the possibility that they interact with distinct activation complexes. PMID: 26663133
- Acute myocardial infarction patients have higher plasma CPU levels and lower proCPU levels than controls. This finding indicates in vivo generation of functional active CPU in patients with AMI. PMID: 26340515
- Arg12-Glu28 and Cys383-Val401 in TAFI are involved in thrombomodulin-mediated TAFI activation. Gly205-Asp232 is involved in binding to thrombin. PMID: 26341360
- CPB2 polymorphisms (reference sequences: rs1926447 and rs3742264) were related to systemic complications in bacterial meningitis. TAFI levels correlated positively with CSF complement. rs1926447 (TT) was associated with higher levels of TAFI in CSF. PMID: 26340319
- Pro-inflammatory cytokines or lipopolysaccharide decreased TAFI protein levels via binding of tristetraprolin to the CPB2 3'-UTR, which mediates CPB2 mRNA destabilisation. HuR can bind the CBP2 3'UTR. This is reduced by pro-inflammatory mediators. PMID: 26062599
- Review/Meta-analysis: failed to confirm the influence of Ala147Thr and Thr325Ile TAFI variants on the susceptibility to CVD. Increased risk of CHD was detected in TAFI Ile325 allele carriers. PMID: 25042727
- TAFI deficiency results in increased brain damage in a model of thrombolysis after ischemic stroke, which was not associated with bleeding but with neuronal degeneration and MP production. PMID: 26118976
- Generated stable deletion mutant of TAFI with full carboxypeptidase activity without activation. PMID: 25773535
- the associations between three TAFI variants -438G/A, 505G/A and 1040C/T and the risk of venous thrombosis; there was a significant association between 505G/A and the risk of disease (Meta-Analysis) PMID: 26071134
- PAI-1 4G/5G polymorphism does not have any effect on occurrence of intracranial and extracranial hemorrhages in patients with FXIII deficiency, while TAFI Thr325Ile is a strong genetic risk factor. PMID: 25001244
- High plasma TAFI level is associated with the increasing risk of T2DM. PMID: 25396763
- We have demonstrated that TAFI might be a risk factor for the development of SCF independently of conventional cardiovascular risk factors. PMID: 24068025
- Arg12 of TAFI plays an important role in thrombomodulin-mediated TAFI activation by thrombin PMID: 25066897
- Neither intact TAFI nor activation peptide of TAFI can discriminate venous thromboembolism patients from healthy controls. PMID: 25193405
- High level of TAFI antigen in attack-free period of familial Mediterranean fever shows ongoing subclinical inflammation and hypercoagulability. PMID: 24580410
- TAFI levels are independently associated to dyslipidemia and that the polymorphism rs3742264 may be related to cardiovascular risk in male subjects PMID: 24631134
- Study provides preliminary evidence that the TAFI -2345 2G/1G and -1690 A/G polymorphisms are associated with ACI susceptibility in a Han Chinese population. PMID: 24886076
- inhibition of TAFIa activity, however, was substrate-specific, because neither mAb inhibited the cleavage of thrombin-activated osteopontin and C5a by TAFIa, thus sparing the anti-inflammatory activity of TAFIa PMID: 24134522
- Augmentation of clot formation and anti-fibrinolysis by combining fib, FXIII and TAFI may be beneficial for the treatment of patients with severe thrombocytopenia PMID: 24333083
- Our data indicate that the GTC haplotype for TAFI 505G>A/1040C>T/+1542C>G SNPs increased the risk of CVT in comparison to controls and VTE cases. PMID: 24252537
- A significant correlation was present between TAFI Thr325Ile polymorphism in homozygous form and occurrence of spontaneous intracranial haemorrhage. PMID: 24354489
- Plasma TAFI levels and TAFI Thr325Ile genotypes were associated with breast cancer patients in Chinese Han populations and could be considered as the risk indicators of breast cancer. PMID: 23624357
- TAFI expression in HepG2 cells is reduced by nobiletin, a polymethoxyflavone in citrus fruits, through transcriptional inhibition PMID: 23572161
- TAFI is alternatively spliced in different cell types and produces intracellular forms of the protein lacking TAFIa activity PMID: 23595589
- Our study is the first in the literature to determine increased TAFI levels in primary hypertension patients. PMID: 22799880
- This pilot study shows that TAFI levels are inversely correlated with inflammation-associated development of complications after major trauma. PMID: 22749979
- Plasma TAFI antigen levels were significantly higher in pregnant women with gestational diabetes mellitus when compared with controls. PMID: 23327722
- Oral anticoagulants enhance both plasma and blood fibrinolysis by reducing thrombin-dependent TAFI activation, a phenomenon largely determined by low prothrombin levels. PMID: 23256818
- Alterations of TAFIa-dependent prolongation of clot lysis in patients with thyroid disorders may cause an impaired haemostatic balance. PMID: 23197299
- High neutrophil elastase, low TAFI activity and PPIC in disseminated intravascular coagulation are independent predictors of patient death and MODS. PMID: 22353215
顯示更多
收起更多
-
亞細胞定位:Secreted.
-
蛋白家族:Peptidase M14 family
-
組織特異性:Plasma; synthesized in the liver.
-
數據庫鏈接:
Most popular with customers
-
-
Phospho-YAP1 (S127) Recombinant Monoclonal Antibody
Applications: ELISA, WB, IHC
Species Reactivity: Human
-
-
-
-
-
-















