CPD Antibody
-
中文名稱:CPD兔多克隆抗體
-
貨號:CSB-PA2107ESR1HU
-
規格:¥440
-
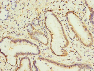
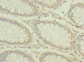
圖片:
-
其他:
產品詳情
-
產品名稱:Rabbit anti-Homo sapiens (Human) CPD Polyclonal antibody
-
Uniprot No.:
-
基因名:CPD
-
別名:Carboxypeptidase D antibody; CBPD_HUMAN antibody; Cpd antibody; gp180 antibody; Metallocarboxypeptidase D antibody
-
宿主:Rabbit
-
反應種屬:Human
-
免疫原:Recombinant Human Carboxypeptidase D protein (860-1100AA)
-
免疫原種屬:Homo sapiens (Human)
-
標記方式:Non-conjugated
-
克隆類型:Polyclonal
-
抗體亞型:IgG
-
純化方式:Antigen Affinity Purified
-
濃度:It differs from different batches. Please contact us to confirm it.
-
保存緩沖液:PBS with 0.02% sodium azide, 50% glycerol, pH7.3.
-
產品提供形式:Liquid
-
應用范圍:ELISA, IHC
-
推薦稀釋比:
Application Recommended Dilution IHC 1:20-1:200 -
Protocols:
-
儲存條件:Upon receipt, store at -20°C or -80°C. Avoid repeated freeze.
-
貨期:Basically, we can dispatch the products out in 1-3 working days after receiving your orders. Delivery time maybe differs from different purchasing way or location, please kindly consult your local distributors for specific delivery time.
-
用途:For Research Use Only. Not for use in diagnostic or therapeutic procedures.
相關產品
靶點詳情
-
基因功能參考文獻:
- prolactin induction of VEGF-C and Runx2 was inhibited partly by Carboxypeptidase-D inhibitors, implicating nitric oxide , produced by PRL-regulated Carboxypeptidase-D, in breast cancer progression PMID: 28364216
- Carboxypeptidase-D (CPD) overexpression coincides with high-grade lung cancer and the CPD overexpression could reverse the inhibitory effects of miR-214 PMID: 27494742
- The human carboxypeptidase D transthyretin-like domain forms amyloid under physiological conditions. PMID: 25294878
- Prolactin and R1881, acting through Stat5 and androgen receptor, act cooperatively to stimulate CPD gene transcription in breast cancer cells. PMID: 24433040
- CPD immunostaining and testosterone/prolactin-stimulated CPD expression were higher in prostate cancer than benign tissues/cells. Elevated CPD increased NO production, which was abolished when both androgen and prolactin receptors were inhibited. PMID: 24615730
- Carboxypeptidase D (CPD) is frequently upregulated in hepatocellular carcinoma; targeting CPD inhibits hepatocellular carcinoma cell proliferation through induction of G1 cell-cycle arrest and apoptosis. PMID: 23589395
- Either high glucose or insulin (with low glucose) up-regulates beta-cell CPD (but not CPE). PMID: 21628999
- Palmitoylation of carboxypeptidase D has a role in intracellular trafficking PMID: 12643288
- The isolation and characterization of CPD from several haematopoietic tumour cells are reported. PMID: 15918796
- First report to demonstrate carboxypeptidase D as part of the transforming growth factor (TGF)-beta pathway as a TGF-beta target gene implicated in the pathogenesis of lupus erythematosus. PMID: 17641957
- prolactin or E2 up-regulated CPD mRNA and protein expression in MCF-7 breast cancer cells promoting their survival PMID: 18535109
- CPD releases C-terminal Arg from peptides to provide the precursor substrate for inducible nitric oxide synthase, which enhances nitric oxide synthesis in macrophages. PMID: 11306718
顯示更多
收起更多
-
亞細胞定位:Cell membrane; Single-pass type I membrane protein.
-
蛋白家族:Peptidase M14 family
-
組織特異性:Highly expressed in placenta, pancreas and hepatoma cells. Lower levels found in skeletal muscle, heart and colon carcinoma and melanoma cell lines.
-
數據庫鏈接:
Most popular with customers
-
-
YWHAB Recombinant Monoclonal Antibody
Applications: ELISA, WB, IHC, IF, FC
Species Reactivity: Human, Mouse, Rat
-
Phospho-YAP1 (S127) Recombinant Monoclonal Antibody
Applications: ELISA, WB, IHC
Species Reactivity: Human
-
-
-
-
-















