CR2 Antibody
-
中文名稱:CR2兔多克隆抗體
-
貨號:CSB-PA005934LA01HU
-
規格:¥440
-
圖片:
-
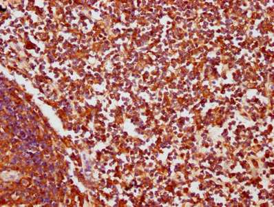
IHC image of CSB-PA005934LA01HU diluted at 1:200 and staining in paraffin-embedded human lymph node tissue performed on a Leica BondTM system. After dewaxing and hydration, antigen retrieval was mediated by high pressure in a citrate buffer (pH 6.0). Section was blocked with 10% normal goat serum 30min at RT. Then primary antibody (1% BSA) was incubated at 4°C overnight. The primary is detected by a biotinylated secondary antibody and visualized using an HRP conjugated SP system.
-
Immunofluorescence staining of Hela cells with CSB-PA005934LA01HU at 1:66, counter-stained with DAPI. The cells were fixed in 4% formaldehyde, permeabilized using 0.2% Triton X-100 and blocked in 10% normal Goat Serum. The cells were then incubated with the antibody overnight at 4°C. The secondary antibody was Alexa Fluor 488-congugated AffiniPure Goat Anti-Rabbit IgG(H+L).
-
-
其他:
產品詳情
-
產品名稱:Rabbit anti-Homo sapiens (Human) CR2 Polyclonal antibody
-
Uniprot No.:
-
基因名:
-
別名:C3DR antibody; CD 21 antibody; CD21 antibody; Complement C3d receptor 2 antibody; Complement C3d receptor antibody; Complement component (3d/Epstein Barr virus) receptor 2 antibody; Complement receptor type 2 antibody; CR antibody; Cr2 antibody; CR2_HUMAN antibody; CVID7 antibody; EBV receptor antibody; EBV-R antibody; Epstein Barr virus receptor antibody; Epstein-Barr virus receptor antibody; EVBR antibody; SLEB9 antibody
-
宿主:Rabbit
-
反應種屬:Human
-
免疫原:Recombinant Human Complement receptor type 2 protein (761-964AA)
-
免疫原種屬:Homo sapiens (Human)
-
標記方式:Non-conjugated
本頁面中的產品,CR2 Antibody (CSB-PA005934LA01HU),的標記方式是Non-conjugated。對于CR2 Antibody,我們還提供其他標記。見下表:
-
克隆類型:Polyclonal
-
抗體亞型:IgG
-
純化方式:>95%, Protein G purified
-
濃度:It differs from different batches. Please contact us to confirm it.
-
保存緩沖液:Preservative: 0.03% Proclin 300
Constituents: 50% Glycerol, 0.01M PBS, pH 7.4 -
產品提供形式:Liquid
-
應用范圍:ELISA, IHC, IF
-
推薦稀釋比:
Application Recommended Dilution IHC 1:200-1:500 IF 1:50-1:200 -
Protocols:
-
儲存條件:Upon receipt, store at -20°C or -80°C. Avoid repeated freeze.
-
貨期:Basically, we can dispatch the products out in 1-3 working days after receiving your orders. Delivery time maybe differs from different purchasing way or location, please kindly consult your local distributors for specific delivery time.
-
用途:For Research Use Only. Not for use in diagnostic or therapeutic procedures.
相關產品
靶點詳情
-
功能:Receptor for complement C3, for the Epstein-Barr virus on human B-cells and T-cells and for HNRNPU. Participates in B lymphocytes activation.; (Microbial infection) Acts as a receptor for Epstein-Barr virus.
-
基因功能參考文獻:
- This study shown the C3d+ microglial clusters were found in chronic but not acute multiple sclerosis. PMID: 27778395
- This study uncovers the origin of the effect of ionic strength on C3d-CR2 interaction and deepens the understanding of the molecular mechanism of their interaction, which is valuable for the design of vaccines and small molecule inhibitors. PMID: 27154286
- Binding of PF4/heparin complexes to B cells is mediated through the interaction between complement and complement receptor 2. PMID: 27412887
- high pERK expression and accelerated apoptosis revert within 4 weeks after beginning therapy, whereas clonal B cells unresponsive to TLR9 stimulation persist for at least 24 weeks, although they may partially rescue normal CD21 expression. PMID: 28507081
- Cerebrospinal fluid (CSF) soluble complement receptor 2 (sCR2) levels correlated significantly both with CSF complements C3 and C1q as well as to a disease severity measure. PMID: 27085202
- CR2 contributes to human Osteonecrosis of the femoral head susceptibility in Korean systemic lupus erythematosus patients. PMID: 27446959
- In this study, we have shown that the CR2 +24T>C polymorphism is not a risk marker for nasopharyngeal carcinoma development in the North region of Portugal. PMID: 26748973
- In mature B cells, CD21 transcription proceeds from a focused transcriptional start site regulated by a non-consensus TATA box, an initiator element and a downstream promoter element. PMID: 25640655
- Reduced expression of CD21 on CLL B-cells appears functionally relevant and was associated with poor clinical outcomes. PMID: 26452134
- These data suggest that rs1876453 in CR2 has long-range effects on gene regulation that decrease susceptibility to systemic lupus erythematosus. PMID: 25180293
- repression of the CR2/CD21 promoter can occur through one of the E-box motifs via recruitment of RP58. PMID: 25817480
- found that the protective CR2 genotype is correlated with lower levels CR2 mRNA as well as differences in the ratio of the long and short CR2 isoforms PMID: 25569262
- The paradoxical enhancement of immune responses by C3d in the absence of CD21 is due to internalization and processing of C3d into peptides that activate autoreactive CD4(+) T-helper cells. PMID: 25385064
- Higher C3d/C3 ratios were found for current smoker, higher age, age-related macular degeneration phenotype, and the two SNPs in the C3 gene, rs6795735 and rs2230199. PMID: 24675670
- Authors show that expression of the Epstein-Barr virus B-cell attachment receptor, CD21, in B cells that lack this receptor results in significant changes in gene expression, both before and rapidly following EBV-CD21 interaction. PMID: 24600013
- Our findings implicate CR2 as a susceptibility gene for nasopharyngeal carcinoma and suggest that enhanced CR2 expression may be involved in the oncogenesis and development of nasopharyngeal carcinoma. PMID: 23612877
- To eradicate this virus, targeting CD21 on these EBV-infected B cells is hypothesized here. PMID: 23384704
- Patients with primary Sjogren's Syndrome who display high frequencies of autoreactive and unresponsive CD21-/low B cells are susceptible to developing lymphoproliferation. PMID: 23279883
- plasma sCD21 levels are higher, while B-cell surface CD21 expression levels are lower in B-cell chronic lymphocytic leukemia (B-CLL) patients, but not in multiple myeloma (MM) patients. PMID: 22899340
- Transgenic mice inoculated with elk brain homogenate expressing high levels of prion (PrPC) protein die of chronic wasting disease. PMID: 23002439
- All subtypes of juvenile arthritis have reduced circulating levels of sCD21 and sCD23. PMID: 21328056
- These results suggest that CR2 plays a role in the recognition of foreign DNA during host-immune responses PMID: 22885687
- the 5' UTR is a novel regulatory element for the CR2 gene in which variation may alter gene function and modify the development of Systemic lupus erythematosus PMID: 22673213
- Prevalence of pulmonary fibrosis in patients with diffuse cutaneous systemic sclerosis inversely correlates with soluble cluster of differentiation 21 (sCD21) levels. PMID: 21052675
- Marginal zone B cells activated by hepatitis C virus undergo functional exhaustion associated with BCR signaling defects and overexpression of a key antiproliferative gene, and may subsequently become terminally spent CD21(low) B cells. PMID: 22678901
- CD21 expression is altered in multiple sclerosis (MS) patients as in other autoimmune diseases, although no evidence is found for a specific role of the CD21 gene in MS. PMID: 22137275
- Patients with hepatitis C virus infection who display high frequencies of unresponsive CD21(-/low) marginal zone B cells are more susceptible to developing autoimmunity and/or lymphoproliferation. PMID: 22084433
- CD23 oligomers appear more important in enhancing IgE synthesis and monomers lacking the tail residues fail to bind CD21 yet bind membrane IgE and down-regulate IgE synthesis. PMID: 21889131
- study reports a cocrystal structure of a CR2(SCR1-2):C3d complex at 3.2 angstrom resolution in which the interaction interfaces differ markedly from the previously published structure and are consistent with the biochemical data PMID: 21527715
- The impact of hCR2 expression on mouse B cell development and the baseline immunological status of the mice, was evaluated. PMID: 21269698
- Binding between Epstein Barr virus-transformed B cell line-derived exosomes and viral structural protein gp350 is dependent on CD21 expressed on the B cells. PMID: 21106852
- Molecular modeling approaches used to investigate disparities between the biochemical data and the X-ray structure of the CR2-C3d cocrystal result in highest-scoring solutions in which CR2 SCR1-2 is docked within the concave surface of C3d. PMID: 20951140
- Biophysical investigations of complement receptor 2 (CD21 and CR2)-ligand interactions reveal amino acid contacts unique to each receptor-ligand pair PMID: 20558730
- analysis of the physicochemical properties underlying C3d-CR2 association PMID: 20091675
- Staphylococcus aureus binder of Ig (Sbi) and complement receptor 2 (CR2) share overlapping binding sites on complement 3d (C3d), thus allowing the bacterial evasion molecule to block CR2 binding, thereby inhibiting the host's adaptive immune response. PMID: 20083651
- CR2-induced complement activation results in membrane depolarization, as indicated by annexin V binding, with kinetics similar to those of C3-fragment deposition and different from those of membrane attack complex formation. PMID: 19740327
- promoter activity is critically dependent on a cell type-specific repressor PMID: 11739509
- Redox control of EBV infection: prevention by thiol-dependent modulation of functional CD21/EBV receptor expression. PMID: 11813981
- crystal structure of human CD21; implications for epstein-barr virus and c3d binding PMID: 12122212
- The percentage of T cells expressing CD21 from all gestations was significantly higher than the adult and the percentage positive decreased with increasing gestational age. PMID: 12149502
- NF-kappaB signaling pathway enhances the expression of the CR2 gene, as a result of NF-kappaB proteins binding to two CR2 promoter elements. PMID: 12444129
- CR2 is shed mainly as a soluble CR2 complex, in which the CR2 units link covalently and react with nucleophilic agents PMID: 12713795
- Complement receptor 2-mediated targeting of complement inhibitors to sites of complement activation. PMID: 12813023
- Coligation of CD21 with the B cell antigen receptor lowers the antigen concentration threshold for eliciting protection from Fas apoptosis by 2-3 orders of magnitude. PMID: 14607925
- electrostatic calculations provide global and site-specific explanations of the physical causes that underlie the ionic strength dependence of C3d-CR2 association PMID: 15187133
- The activation of MAPKs is independently mediated by CR2 and that anti-CR2 McAb, PD98059, and Wortmanin block the activation of MAPKs, respectively. PMID: 15603708
- characterized the interaction between the first two short consensus repeats (SCR1-2) of complement receptor type 2 (CR2, CD21) and C3d PMID: 15713467
- the open V-shaped structures formed by CR2 SCR 1-2, both when free and when bound to C3d, are optimal for the formation of a tight two-domain interaction with its ligand C3d PMID: 15713468
- CD21 and CD23a are common targets for B lymphotropic gammaherpesviruses. PMID: 15795251
- Unresponsiveness to T-dependent antigen (sheep red blood cells) displayed by transgenic CR2-positive B cells is linked to increase in the stimulus level required to propel the B cell into a fully activated state, a normal humoral immune response. PMID: 15905540
顯示更多
收起更多
-
相關疾病:Systemic lupus erythematosus 9 (SLEB9); Immunodeficiency, common variable, 7 (CVID7)
-
亞細胞定位:Cell membrane; Single-pass type I membrane protein.
-
蛋白家族:Receptors of complement activation (RCA) family
-
組織特異性:Mature B-lymphocytes, T-lymphocytes, pharyngeal epithelial cells, astrocytes and follicular dendritic cells of the spleen.
-
數據庫鏈接:
Most popular with customers
-
-
YWHAB Recombinant Monoclonal Antibody
Applications: ELISA, WB, IHC, IF, FC
Species Reactivity: Human, Mouse, Rat
-
Phospho-YAP1 (S127) Recombinant Monoclonal Antibody
Applications: ELISA, WB, IHC
Species Reactivity: Human
-
-
-
-
-















