CREB3L4 Antibody
-
中文名稱:CREB3L4兔多克隆抗體
-
貨號:CSB-PA844735LA01HU
-
規格:¥440
-
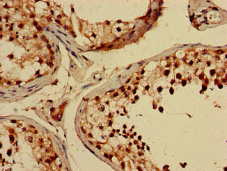
圖片:
-
其他:
產品詳情
-
產品名稱:Rabbit anti-Homo sapiens (Human) CREB3L4 Polyclonal antibody
-
Uniprot No.:
-
基因名:
-
別名:1700012K17Rik antibody; AIbZIP antibody; Androgen induced basic leucine zipper antibody; Androgen induced basic leucine zipper protein antibody; Androgen-induced basic leucine zipper protein antibody; ATCE1 antibody; Attaching to CRE like 1 antibody; Attaching to CRE-like 1 antibody; cAMP responsive element binding protein 1 antibody; cAMP responsive element binding protein 3 like 4 antibody; cAMP responsive element binding protein 4 antibody; cAMP responsive element-binding protein 3 like protein 4 antibody; cAMP-responsive element-binding protein 3-like protein 4 antibody; cAMP-responsive element-binding protein 4 antibody; CR3L4_HUMAN antibody; CREB 4 antibody; CREB-4 antibody; CREB3 antibody; CREB3L4 antibody; CREB4 antibody; Cyclic AMP responsive element binding protein 3 like protein 4 antibody; Cyclic AMP responsive element binding protein 4 antibody; Cyclic AMP-responsive element-binding protein 4 antibody; hJAL antibody; JAL antibody; mJAL antibody; Processed cyclic AMP-responsive element-binding protein 3-like protein 4 antibody; Tisp40 antibody; Tisp40alpha antibody; Tisp40beta antibody; Transcript induced in spermiogenesis protein 40 antibody
-
宿主:Rabbit
-
反應種屬:Human
-
免疫原:Recombinant Human Cyclic AMP-responsive element-binding protein 3-like protein 4 protein (13-133AA)
-
免疫原種屬:Homo sapiens (Human)
-
標記方式:Non-conjugated
本頁面中的產品,CREB3L4 Antibody (CSB-PA844735LA01HU),的標記方式是Non-conjugated。對于CREB3L4 Antibody,我們還提供其他標記。見下表:
-
克隆類型:Polyclonal
-
抗體亞型:IgG
-
純化方式:>95%, Protein G purified
-
濃度:It differs from different batches. Please contact us to confirm it.
-
保存緩沖液:Preservative: 0.03% Proclin 300
Constituents: 50% Glycerol, 0.01M PBS, pH 7.4 -
產品提供形式:Liquid
-
應用范圍:ELISA, IHC
-
推薦稀釋比:
Application Recommended Dilution IHC 1:20-1:200 -
Protocols:
-
儲存條件:Upon receipt, store at -20°C or -80°C. Avoid repeated freeze.
-
貨期:Basically, we can dispatch the products out in 1-3 working days after receiving your orders. Delivery time maybe differs from different purchasing way or location, please kindly consult your local distributors for specific delivery time.
-
用途:For Research Use Only. Not for use in diagnostic or therapeutic procedures.
相關產品
靶點詳情
-
功能:Transcriptional activator that may play a role in the unfolded protein response. Binds to the UPR element (UPRE) but not to CRE element. Preferentially binds DNA with to the consensus sequence 5'-T[GT]ACGT[GA][GT]-3' and has transcriptional activation activity from UPRE. Binds to NF-kappa-B site and has transcriptional activation activity from NF-kappa-B-containing regulatory elements.
-
基因功能參考文獻:
- CREB3L4 expression is mediated by an androgen-receptor -IRE1alpha axis, but is also directly regulated by androgen-receptor-to-androgen response elements binding. PMID: 28338058
- AIbZIP induced by the androgen receptor axis plays a crucial role in the p21 dependent proliferation of androgen-sensitive prostate cancer cells. PMID: 27853318
- AIbZIP, a novel bZIP gene located on chromosome 1q21.3 that is highly expressed in prostate tumors and of which the expression is up-regulated by androgens in LNCaP human prostate cancer cells. PMID: 11830526
- identified a novel human CREB gene (CREB4) that was 1592 bp long and encoded a protein of 395 amino acid residues PMID: 12111373
- S1P cleavage of CREB4 may be suppressed by a determinant in the C-terminal region PMID: 16236796
- In LNCaP cell lines that conditionally express the processed form of AIbZIP, downstream targets of AIbZIP include genes for protein processing, transcriptional regulation, small molecule transport, signal transduction, metabolism & cell homeostasis. PMID: 17712038
顯示更多
收起更多
-
亞細胞定位:Endoplasmic reticulum membrane; Single-pass type II membrane protein. Golgi apparatus membrane; Single-pass type II membrane protein.
-
蛋白家族:BZIP family, ATF subfamily
-
組織特異性:According to PubMed:11830526, exclusively expressed in the prostate. Expressed in breast and prostate cancer cell lines. Expressed in prostatic luminal epithelial cells (at protein level). Expression is significantly more abundant in prostate cancer than
-
數據庫鏈接:
Most popular with customers
-
-
YWHAB Recombinant Monoclonal Antibody
Applications: ELISA, WB, IHC, IF, FC
Species Reactivity: Human, Mouse, Rat
-
Phospho-YAP1 (S127) Recombinant Monoclonal Antibody
Applications: ELISA, WB, IHC
Species Reactivity: Human
-
-
-
-
-















