CSF2RA Antibody
-
中文名稱:CSF2RA兔多克隆抗體
-
貨號:CSB-PA193987
-
規格:¥1100
-
圖片:
-
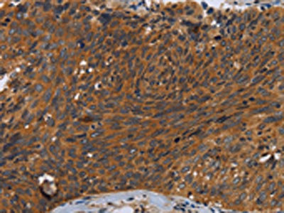
The image on the left is immunohistochemistry of paraffin-embedded Human cervical cancer tissue using CSB-PA193987(CSF2RA Antibody) at dilution 1/35, on the right is treated with synthetic peptide. (Original magnification: ×200)
-
The image on the left is immunohistochemistry of paraffin-embedded Human thyroid cancer tissue using CSB-PA193987(CSF2RA Antibody) at dilution 1/35, on the right is treated with synthetic peptide. (Original magnification: ×200)
-
Gel: 8%SDS-PAGE, Lysate: 40 μg, Lane 1-2: Human placenta tissue, HepG2 cells, Primary antibody: CSB-PA193987(CSF2RA Antibody) at dilution 1/250, Secondary antibody: Goat anti rabbit IgG at 1/8000 dilution, Exposure time: 3 seconds
-
-
其他:
產品詳情
-
Uniprot No.:
-
基因名:
-
別名:CD_antigen=CD116 antibody; CD116 antibody; CD116 antigen antibody; CDw116 antibody; Colony stimulating factor 2 receptor alpha chain antibody; Colony stimulating factor 2 receptor alpha low affinity antibody; Colony stimulating factor 2 receptor alpha subunit antibody; CSF 2R antibody; CSF2R antibody; CSF2R_HUMAN antibody; CSF2RA antibody; CSF2RAX antibody; CSF2RAY antibody; CSF2RX antibody; CSF2RY antibody; GM CSF R alpha antibody; GM CSF receptor alpha subunit antibody; GM-CSF-R-alpha antibody; GMCSFR antibody; GMCSFR-alpha antibody; GMR-alpha antibody; Granulocyte macrophage colony stimulating factor receptor alpha chain antibody; Granulocyte-macrophage colony-stimulating factor receptor subunit alpha antibody; SMDP4 antibody
-
宿主:Rabbit
-
反應種屬:Human
-
免疫原:Synthetic peptide of Human CSF2RA
-
免疫原種屬:Homo sapiens (Human)
-
標記方式:Non-conjugated
-
抗體亞型:IgG
-
純化方式:Antigen affinity purification
-
濃度:It differs from different batches. Please contact us to confirm it.
-
保存緩沖液:-20°C, pH7.4 PBS, 0.05% NaN3, 40% Glycerol
-
產品提供形式:Liquid
-
應用范圍:ELISA,WB,IHC
-
推薦稀釋比:
Application Recommended Dilution ELISA 1:2000-1:5000 WB 1:500-1:2000 IHC 1:50-1:200 -
Protocols:
-
儲存條件:Upon receipt, store at -20°C or -80°C. Avoid repeated freeze.
-
貨期:Basically, we can dispatch the products out in 1-3 working days after receiving your orders. Delivery time maybe differs from different purchasing way or location, please kindly consult your local distributors for specific delivery time.
-
用途:For Research Use Only. Not for use in diagnostic or therapeutic procedures.
相關產品
靶點詳情
-
功能:Low affinity receptor for granulocyte-macrophage colony-stimulating factor. Transduces a signal that results in the proliferation, differentiation, and functional activation of hematopoietic cells.
-
基因功能參考文獻:
- Family-based whole genome analysis of a family with hereditary pulmonary alveolar proteinosis revealed a homozygous deletion that disrupts CSF2RA, CRLF2, and IL3RA gene in the pseudoautosomal region of the X chromosome in the affected child and one of asymptomatic siblings. PMID: 28233860
- lesions from human secondary progressive multiple sclerosis, but not primary progressive multiple sclerosis patients shows extensive recruitment of GM-CSF Ralpha+ myeloid cells PMID: 28641926
- Conformational changes in the GM-CSF receptor suggest a molecular mechanism for affinity conversion and receptor signaling. PMID: 27396825
- regulatory molecule causative of aortic dissection and intramural haematoma PMID: 25923510
- Our cohort broadens the spectrum of knowledge about the clinical variability and genotype-phenotype correlations of juvenile PAP, and illustrates the favorable outcome of WLL treatment in severely affected patients PMID: 25425184
- A possible relationship between dysfunction of the granulocyte-macrophage colony stimulating factor receptor, mapping to the pseudoautosomal X-Y region, may exist in myelodysplastic patients with initially lymphocytic Sweet syndrome. PMID: 24714374
- Studies indicate the action of GM-CSF can be inhibited by at least two approaches: inhibition by GM-CSF neutralising antibodies, or blockade of GM-CSF binding to its receptor by antibodies against the GM-CSF receptor alpha chain CSF2Ralpha. PMID: 23933508
- The GM-CSF Ralpha were ubiquitously but not uniformly expressed in neurons throughout the brain and downregulation in brain in patient with alzheimenr disease. PMID: 22430742
- This study reveals a novel functional role of clathrin-coated structure in GMR signaling and the oncogenesis of JAK2V617F. PMID: 22935703
- Identify defective expression and function of CD116 as a distinguishing feature of IBD and implicate an associated defect in innate immune responses toward granulocyte-macrophage colony-stimulating factor. PMID: 21557945
- The expression rate of GM-CSFR in myelodysplastic syndrome patients was significantly higher than in aplastic anemia patients and controls. PMID: 19099633
- 67-kDa laminin receptor expression influenced the characteristics of leukemia cells toward an aggressive phenotype and increased the number of granulocyte-macrophage colony-stimulating factor receptors PMID: 21056082
- The cytosolic domain of the hGM Ralpha chain is required for differentiation mediated by activation of the hGM Ralpha, beta(c) receptor complex. PMID: 12384414
- soluble forms of the GM-CSF receptor alpha chain and beta chain were produced and a novel mechanism of receptor assembly was demonstrated PMID: 12393492
- Constitutive secretion of soluble GMR alpha by monocytes (but not lymphocytes) is up-regulated by GM-CSF and inflammatory mediators in a protein form that represents a mixed population of alternatively spliced and proteolytically cleaved species. PMID: 12421947
- Analysis of the 5' promoter of the GM-CSF receptor alpha gene. PMID: 12504125
- identified the alpha-chain of the GMCSF receptor as interaction partner of IkappaB kinase beta; direct interaction of IKKbeta and GMRalpha in cells was verified. PMID: 12637324
- GM-CSF receptors exhibit different modes of signaling in a factor-dependent bipotential myeloid cell line. PMID: 14504109
- used the intracellular portion of the alpha subunit of the GM-CSF receptor to search for interacting proteins and identified the 67-kDa laminin receptor as a binding partner PMID: 14614142
- receptors alphaGMR and c-Kit could interact to coordinate their signal initiation; alphaGMR inhibited c-Kit auto-phosphorylation induced by the ligand stem cell factor PMID: 16760463
- Sequencing of colony stimulating factor, receptor 2 alpha in an independent case-control cohort revealed both common intronic haplotypes and several novel, rare missense variants associated with schizophrenia. PMID: 17522711
- The novel GMRalpha transcript identified herein contains a previously undescribed exon of the GMRalpha gene; this exon derives from an Alu DNA repeat element PMID: 17681666
- Results highlight the importance of GM-CSFR expression in monocytes for cytokine-induced myeloid dendritic cells (DC) generation and point to GM-CSF as a direct player in the generation of functionally distinct DC. PMID: 18236400
- best diffracting crystals of ternary complex were obtained using the N346Q mutation of the betac subunit. Crystals grew using polyethylene glycol 3350 with a high concentration of proline, belonged to space group P6(3)22 and diffracted to 3.3 A resolution PMID: 18678938
- Mutagenesis of the GM-CSF receptor at the dodecamer interface and functional studies reveal that dodecamer formation is required for receptor activation and signaling. PMID: 18692472
- Results suggest that that pulmonary alveolar proteinosis can result from a genetic deficiency of the GM-CSF receptor alpha chain, encoded in the X-chromosome pseudoautosomal region 1. PMID: 18955567
- These results establish that GM-CSF signaling is critical for surfactant homeostasis in humans and demonstrate that mutations in CSF2RA cause familial PAP. PMID: 18955570
顯示更多
收起更多
-
相關疾病:Pulmonary surfactant metabolism dysfunction 4 (SMDP4)
-
亞細胞定位:Cell membrane; Single-pass type I membrane protein.; [Isoform 3]: Secreted.; [Isoform 4]: Secreted.; [Isoform 6]: Secreted.
-
蛋白家族:Type I cytokine receptor family, Type 5 subfamily
-
數據庫鏈接:
Most popular with customers
-
-
Phospho-YAP1 (S127) Recombinant Monoclonal Antibody
Applications: ELISA, WB, IHC
Species Reactivity: Human
-
-
-
-
-
-















