CST5 Antibody
-
中文名稱:CST5兔多克隆抗體
-
貨號:CSB-PA006093LA01HU
-
規格:¥440
-
圖片:
-
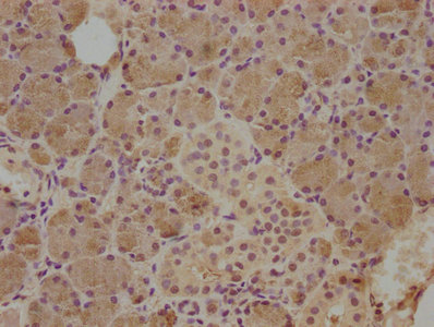
IHC image of CSB-PA006093LA01HU diluted at 1:500 and staining in paraffin-embedded human salivary gland tissue performed on a Leica BondTM system. After dewaxing and hydration, antigen retrieval was mediated by high pressure in a citrate buffer (pH 6.0). Section was blocked with 10% normal goat serum 30min at RT. Then primary antibody (1% BSA) was incubated at 4°C overnight. The primary is detected by a biotinylated secondary antibody and visualized using an HRP conjugated SP system.
-
-
其他:
產品詳情
-
產品名稱:Rabbit anti-Homo sapiens (Human) CST5 Polyclonal antibody
-
Uniprot No.:
-
基因名:CST5
-
別名:CST 5 antibody; CST5 antibody; Cystatin 5 antibody; Cystatin-5 antibody; Cystatin-D antibody; CystatinD antibody; Cysteine proteinase inhibitor antibody; CYTD_HUMAN antibody; MGC71922 antibody
-
宿主:Rabbit
-
反應種屬:Human
-
免疫原:Recombinant Human Cystatin-D protein (21-142AA)
-
免疫原種屬:Homo sapiens (Human)
-
標記方式:Non-conjugated
本頁面中的產品,CST5 Antibody (CSB-PA006093LA01HU),的標記方式是Non-conjugated。對于CST5 Antibody,我們還提供其他標記。見下表:
-
克隆類型:Polyclonal
-
抗體亞型:IgG
-
純化方式:>95%, Protein G purified
-
濃度:It differs from different batches. Please contact us to confirm it.
-
保存緩沖液:Preservative: 0.03% Proclin 300
Constituents: 50% Glycerol, 0.01M PBS, pH 7.4 -
產品提供形式:Liquid
-
應用范圍:ELISA, IHC
-
推薦稀釋比:
Application Recommended Dilution IHC 1:500-1:1000 -
Protocols:
-
儲存條件:Upon receipt, store at -20°C or -80°C. Avoid repeated freeze.
-
貨期:Basically, we can dispatch the products out in 1-3 working days after receiving your orders. Delivery time maybe differs from different purchasing way or location, please kindly consult your local distributors for specific delivery time.
-
用途:For Research Use Only. Not for use in diagnostic or therapeutic procedures.
相關產品
靶點詳情
-
功能:Cysteine proteinase inhibitor that possibly plays a protective role against proteinases present in the oral cavity. The order of preference for inhibition is cathepsin S > cathepsin H > cathepsin L > cathepsin B.
-
基因功能參考文獻:
- Results imply CST5 as an important mediator of tumor suppression by p53 in colorectal cancer. PMID: 26158294
- These results support an unanticipated role of cystatin D in the cell nucleus, controlling the transcription of specific genes involved in crucial cellular functions, which may mediate its protective action in colon cancer. PMID: 26364852
- Compared with its homologues, cystatin D presents an unusual inhibition profile with a preferential inhibition cathepsin S > cathepsin H > cathepsin L and no inhibition of cathepsin B or pig legumain. PMID: 15728581
- Cystatin D is a candidate tumor suppressor gene induced by vitamin D in human colon cancer cells. PMID: 19662683
-
亞細胞定位:Secreted.
-
蛋白家族:Cystatin family
-
組織特異性:Expressed in submandibular and sublingual saliva but not in parotid saliva (at protein level). Expressed in parotid gland but not in seminal vesicle, prostate, epididymis, testis, ovary, placenta, thyroid, gastric corpus, small intestine, liver, or gall b
-
數據庫鏈接:
Most popular with customers
-
YWHAB Recombinant Monoclonal Antibody
Applications: ELISA, WB, IHC, IF, FC
Species Reactivity: Human, Mouse, Rat
-
Phospho-YAP1 (S127) Recombinant Monoclonal Antibody
Applications: ELISA, WB, IHC
Species Reactivity: Human
-
-
-
-
-
-















