CTSZ Antibody
-
中文名稱:CTSZ兔多克隆抗體
-
貨號:CSB-PA577887
-
規格:¥1100
-
圖片:
-
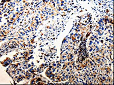
The image on the left is immunohistochemistry of paraffin-embedded Human lung cancer tissue using CSB-PA577887(CTSZ Antibody) at dilution 1/25, on the right is treated with fusion protein. (Original magnification: ×200)
-
Gel: 8%SDS-PAGE, Lysate: 30 μg, Lane: Hela cells, Primary antibody: CSB-PA577887(CTSZ Antibody) at dilution 1/500, Secondary antibody: Goat anti rabbit IgG at 1/8000 dilution, Exposure time: 20 seconds
-
-
其他:
產品詳情
-
Uniprot No.:
-
基因名:
-
別名:Carboxypeptidase LB antibody; Cathepsin B2 antibody; Cathepsin IV antibody; Cathepsin P antibody; Cathepsin X antibody; Cathepsin X precursor antibody; Cathepsin Y antibody; Cathepsin Z antibody; Cathepsin Z precursor antibody; Cathepsin Z1 antibody; CathepsinP antibody; CathepsinX antibody; CathepsinZ antibody; CATZ_HUMAN antibody; CTSX antibody; CTSZ antibody; Cysteine type carboxypeptidase antibody; FLJ17088 antibody; Lysosomal carboxypeptidase B antibody; Preprocathepsin P antibody; PreprocathepsinP antibody
-
宿主:Rabbit
-
反應種屬:Human,Mouse,Rat
-
免疫原:Fusion protein of Human CTSZ
-
免疫原種屬:Homo sapiens (Human)
-
標記方式:Non-conjugated
-
抗體亞型:IgG
-
純化方式:Antigen affinity purification
-
濃度:It differs from different batches. Please contact us to confirm it.
-
保存緩沖液:-20°C, pH7.4 PBS, 0.05% NaN3, 40% Glycerol
-
產品提供形式:Liquid
-
應用范圍:ELISA,WB,IHC
-
推薦稀釋比:
Application Recommended Dilution ELISA 1:500-1:2000 WB 1:500-1:1000 IHC 1:10-1:50 -
Protocols:
-
儲存條件:Upon receipt, store at -20°C or -80°C. Avoid repeated freeze.
-
貨期:Basically, we can dispatch the products out in 1-3 working days after receiving your orders. Delivery time maybe differs from different purchasing way or location, please kindly consult your local distributors for specific delivery time.
-
用途:For Research Use Only. Not for use in diagnostic or therapeutic procedures.
相關產品
靶點詳情
-
功能:Exhibits carboxy-monopeptidase as well as carboxy-dipeptidase activity. Capable of producing kinin potentiating peptides.
-
基因功能參考文獻:
- Down-regulation of RPLP0 resulted in G1 arrest of gastric cancer cells, whereas knockdown of Cathepsin X led to G1 arrest and apoptosis PMID: 25433997
- Cathepsin X (CTSX) is involved in early tumorigenesis and in the stabilization of tumor cell formation in colorectal cancer. PMID: 25442015
- The significant association of cathepsin X with survival in a group of patients who received no chemotherapy and the absence of this association in the group who received chemotherapy, suggest the possible predictive value for response to chemotherapy. PMID: 24725597
- Suggest CTSZ rs34069356 polymorphism is not associated with pulmonary tuberculosis in a sample Iranian population. PMID: 23827504
- We show that sequential cleavage of C-terminal amino acids from the beta(2) cytoplasmic tail of LFA-1, by CatX, enhances binding of the adaptor protein talin to LFA-1 and triggers formation of the latter's high-affinity form PMID: 21454358
- cathepsin Z contributes to tumor metastasis by inducing epithelial-mesenchymal transition in hepatocellular carcinoma PMID: 21966391
- cathepsin X deficiency leads to accelerated cellular senescence and consequently to diminished cellular proliferation and migration/invasion implying a potential role of cathepsin X in bypassing cellular senescence. PMID: 21616554
- Polymorphisms in MC3R promoter and CTSZ 3'UTR are associated with tuberculosis susceptibility. PMID: 21368909
- associated with tuberculosis in a Ugandan household contact study PMID: 21354459
- Cysteine proteases bleomycin hydrolase and cathepsin Z mediate N-terminal proteolysis and toxicity of mutant huntingtin. PMID: 21310951
- These results show that cathepsin P, in contrast to other mammalian cathepsins, has a restricted catalytic specificity. PMID: 15680921
- the extracellular function of cathepsin X may include binding to integrins thereby modulating the attachment of migrating cells to ECM components [Cathepsin X] PMID: 17065156
- unlikely that CTSZ gene plays a major role in tuberculosis susceptibility in African populations PMID: 18420963
顯示更多
收起更多
-
亞細胞定位:Lysosome.
-
蛋白家族:Peptidase C1 family
-
組織特異性:Widely expressed.
-
數據庫鏈接:
Most popular with customers
-
-
YWHAB Recombinant Monoclonal Antibody
Applications: ELISA, WB, IHC, IF, FC
Species Reactivity: Human, Mouse, Rat
-
-
-
-
-
-















