CUL7 Antibody
-
中文名稱:CUL7兔多克隆抗體
-
貨號:CSB-PA617942LA01HU
-
規格:¥440
-
圖片:
-
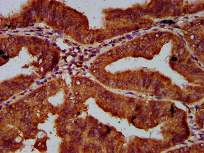
IHC image of CSB-PA617942LA01HU diluted at 1:600 and staining in paraffin-embedded human endometrial cancer performed on a Leica BondTM system. After dewaxing and hydration, antigen retrieval was mediated by high pressure in a citrate buffer (pH 6.0). Section was blocked with 10% normal goat serum 30min at RT. Then primary antibody (1% BSA) was incubated at 4°C overnight. The primary is detected by a biotinylated secondary antibody and visualized using an HRP conjugated SP system.
-
IHC image of CSB-PA617942LA01HU diluted at 1:600 and staining in paraffin-embedded human liver cancer performed on a Leica BondTM system. After dewaxing and hydration, antigen retrieval was mediated by high pressure in a citrate buffer (pH 6.0). Section was blocked with 10% normal goat serum 30min at RT. Then primary antibody (1% BSA) was incubated at 4°C overnight. The primary is detected by a biotinylated secondary antibody and visualized using an HRP conjugated SP system.
-
Immunofluorescence staining of HepG2 cells with CSB-PA617942LA01HU at 1:200, counter-stained with DAPI. The cells were fixed in 4% formaldehyde, permeabilized using 0.2% Triton X-100 and blocked in 10% normal Goat Serum. The cells were then incubated with the antibody overnight at 4°C. The secondary antibody was Alexa Fluor 488-congugated AffiniPure Goat Anti-Rabbit IgG(H+L).
-
-
其他:
產品詳情
-
產品名稱:Rabbit anti-Homo sapiens (Human) CUL7 Polyclonal antibody
-
Uniprot No.:
-
基因名:
-
別名:CUL-7 antibody; CUL7 antibody; CUL7_HUMAN antibody; Cullin 7 antibody; Cullin-7 antibody; dJ20C7.5 antibody; KIAA0076 antibody
-
宿主:Rabbit
-
反應種屬:Human
-
免疫原:Recombinant Human Cullin-7 protein (312-450AA)
-
免疫原種屬:Homo sapiens (Human)
-
標記方式:Non-conjugated
本頁面中的產品,CUL7 Antibody (CSB-PA617942LA01HU),的標記方式是Non-conjugated。對于CUL7 Antibody,我們還提供其他標記。見下表:
-
克隆類型:Polyclonal
-
抗體亞型:IgG
-
純化方式:>95%, Protein G purified
-
濃度:It differs from different batches. Please contact us to confirm it.
-
保存緩沖液:Preservative: 0.03% Proclin 300
Constituents: 50% Glycerol, 0.01M PBS, pH 7.4 -
產品提供形式:Liquid
-
應用范圍:ELISA, IHC, IF
-
推薦稀釋比:
Application Recommended Dilution IHC 1:500-1:1000 IF 1:200-1:500 -
Protocols:
-
儲存條件:Upon receipt, store at -20°C or -80°C. Avoid repeated freeze.
-
貨期:Basically, we can dispatch the products out in 1-3 working days after receiving your orders. Delivery time maybe differs from different purchasing way or location, please kindly consult your local distributors for specific delivery time.
-
用途:For Research Use Only. Not for use in diagnostic or therapeutic procedures.
相關產品
靶點詳情
-
功能:Core component of the 3M and Cul7-RING(FBXW8) complexes, which mediates the ubiquitination of target proteins. Core component of the 3M complex, a complex required to regulate microtubule dynamics and genome integrity. It is unclear how the 3M complex regulates microtubules, it could act by controlling the level of a microtubule stabilizer. Interaction with CUL9 is required to inhibit CUL9 activity and ubiquitination of BIRC5. Core component of a Cul7-RING ubiquitin-protein ligase with FBXW8, which mediates ubiquitination and consequent degradation of target proteins such as GORASP1, IRS1 and MAP4K1/HPK1. Ubiquitination of GORASP1 regulates Golgi morphogenesis and dendrite patterning in brain. Mediates ubiquitination and degradation of IRS1 in a mTOR-dependent manner: the Cul7-RING(FBXW8) complex recognizes and binds IRS1 previously phosphorylated by S6 kinase (RPS6KB1 or RPS6KB2). The Cul7-RING(FBXW8) complex also mediates ubiquitination of MAP4K1/HPK1: recognizes and binds autophosphorylated MAP4K1/HPK1, leading to its degradation, thereby affecting cell proliferation and differentiation. Acts as a regulator in trophoblast cell epithelial-mesenchymal transition and placental development. Does not promote polyubiquitination and proteasomal degradation of p53/TP53. While the Cul7-RING(FBXW8) and the 3M complexes are associated and involved in common processes, CUL7 and the Cul7-RING(FBXW8) complex may be have additional functions.
-
基因功能參考文獻:
- Study shows that cullin 7 is highly expressed in breast cancer cells and suggests that positive expression is associated with the malignant phenotype and a predictor of poor prognosis. Cullin 7 is involved in cell proliferation and invasion by regulating the cell cycle and microtubule stability. PMID: 29207184
- CUL7 expression was associated with EC progression and poor prognosis. CUL7 may promote EMT via the ERKSNAI2 pathway in EC. PMID: 29393450
- overexpression of Cullin7 plays an important role in the pathogenesis and progression of hepatocellular carcinoma and may be a valuable marker for hepatocellular carcinoma management. PMID: 29207970
- Hepatocellular carcinoma patients with positive expression for both Rabl3 and Cullin7 had a remarkably shorter survival time compared with patients with negative expression for both proteins. PMID: 28739496
- our study provided evidence that Cullin7 functions as a novel oncogene in lung cancer and may be a potential therapeutic target for lung cancer management. PMID: 25706399
- Cullin7 promotes epithelial-mesenchymal transformation of cancer cells. PMID: 27053346
- We report a family with variable phenotypic features of 3-M syndrome and we describe the prenatal and postnatal growth pattern of two affected sisters with a novel homozygous CUL7 mutation (c.3173-1G>C), showing a pre- and post-natal growth deficiency and a normal cranial circumference. PMID: 26850509
- report an adult female with 3-M syndrome that was caused by novel compound heterozygous mutations (c.4023-1 G>A in splice acceptor site of exon 22 and c.4359_4363dupGGCTG in exon 23) in the CUL7 gene PMID: 26488604
- Cullin7 may serve as an indicator of poor prognosis in patients with epithelial ovarian cancer. PMID: 26962950
- study provided evidence that Cullin7 functions as a novel oncogene in breast cancer and may be a potential therapeutic target for breast cancer management PMID: 25003318
- CUL7, OBSL1 and CCDC8 modulate the alternative splicing of the INSR PMID: 24711643
- The CUL7, OBSL1, and CCDC8 proteins form a 3M complex that functions in maintaining microtubule and genome integrity and normal development. PMID: 24793695
- CUL7/Fbxw8 ubiquitin ligase-mediated HPK1 degradation revealed a direct link and novel role of CUL7/Fbxw8 ubiquitin ligase in the MAPK pathway, which plays a critical role in cell proliferation and differentiation. PMID: 24362026
- Homozygous deletion in exon 18 of the CUL7 gene, which has not been previously described, could be responsible for the 3-M syndrome. PMID: 23517720
- This study demonstrates specific genomic alterations in HCC/MS and points to CUL7 as a novel gene potentially involved in liver carcinogenesis associated with metabolic Syndrome, the amplification of which might influence cell proliferation. PMID: 22942238
- Dysregulation of Cul7 and Fbxw8 expression might affect trophoblast turnover in intrauterine growth restriction. PMID: 22524683
- Mutations in CUL7, OBSL1 and CCDC8 in 3-M syndrome lead to disordered growth factor signalling. PMID: 23018678
- Growth factor-stimulated TBC1D3 ubiquitination and degradation are regulated by its interaction with CUL7-Fbw8. PMID: 23029530
- discussion of roles of CUL7, OBSL1 (obscurin-like 1), and CCDC8 (coiled-coil domain containing protein 8) in growth and development using findings from patients with Miller-McKusick-Malvaux syndrome and Silver-Russell syndrome [REVIEW] PMID: 22156540
- We propose that CUL7, OBSL1, and CCDC8 are members of a pathway controlling mammalian growth. PMID: 21737058
- CUL7 appears to be the major gene responsible for 3M syndrome accounting for 77.5% of cases while OBSL1 mutations accounts for 16.3%[review] PMID: 21396581
- CUL7 expression in placenta is up-regulated up to 10 times in intra-uterine growth restriction (IUGR) and up to 15 times in preeclampsia associated with IUGR; the CUL7 promoter is hypomethylated in IUGR. PMID: 20005570
- 25 distinct mutations in the gene cullin 7 mappped to chromosome 6 were identified in 29 families with 3-M syndrome. PMID: 16142236
- CUL7 functions to promote cell growth through, in part, antagonizing the function of p53 PMID: 16547496
- p53-binding domain of CUL7 contributes to the cytoplasmic localization of CUL7 PMID: 16875676
- CPH domain interaction surface of p53 resides in the tetramerization domain and is formed by residues contributed by at least two subunits PMID: 17298945
- PARC and CUL7 subcomplexes exhibit E3 ubiquitin ligase activity in vitro. PMID: 17332328
- In a proteomic screen for p53 interactors the cullin protein Cul7 efficiently associates with p53. PMID: 17586686
- A novel homozygous 4582insT mutation in CUL7 resulted in a frameshift mutation & a premature stop codon at 1553 (Q1553X)in Yakuts with short stature syndromes. PMID: 17675530
- CUL7 is a new oncogene that cooperates with Myc in transformation by blocking Myc-induced apoptosis in a p53-dependent manner. PMID: 17942889
- in 33 novel cases of 3M syndrome, we identified deleterious CUL7 mutations in 23/33 patients, including 19 novel mutations & 1 paternal isodisomy of chromosome 6 encompassing a CUL7 mutation; findings also support genetic heterogeneity of this disease PMID: 19225462
顯示更多
收起更多
-
相關疾病:3M syndrome 1 (3M1)
-
亞細胞定位:Cytoplasm. Cytoplasm, cytoskeleton, microtubule organizing center, centrosome. Cytoplasm, perinuclear region. Golgi apparatus.
-
蛋白家族:Cullin family
-
組織特異性:Highly expressed in fetal kidney and adult skeletal muscle. Also abundant in fetal brain, as well as in adult pancreas, kidney, placenta and heart. Detected in trophoblasts, lymphoblasts, osteoblasts, chondrocytes and skin fibroblasts.
-
數據庫鏈接:
Most popular with customers
-
-
YWHAB Recombinant Monoclonal Antibody
Applications: ELISA, WB, IHC, IF, FC
Species Reactivity: Human, Mouse, Rat
-
Phospho-YAP1 (S127) Recombinant Monoclonal Antibody
Applications: ELISA, WB, IHC
Species Reactivity: Human
-
-
-
-
-















