CUTC Antibody
-
中文名稱:CUTC兔多克隆抗體
-
貨號:CSB-PA873651LA01HU
-
規格:¥440
-
圖片:
-
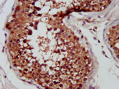
IHC image of CSB-PA873651LA01HU diluted at 1:400 and staining in paraffin-embedded human gastric cancer performed on a Leica BondTM system. After dewaxing and hydration, antigen retrieval was mediated by high pressure in a citrate buffer (pH 6.0). Section was blocked with 10% normal goat serum 30min at RT. Then primary antibody (1% BSA) was incubated at 4°C overnight. The primary is detected by a biotinylated secondary antibody and visualized using an HRP conjugated SP system.
-
IHC image of CSB-PA873651LA01HU diluted at 1:400 and staining in paraffin-embedded human testis tissue performed on a Leica BondTM system. After dewaxing and hydration, antigen retrieval was mediated by high pressure in a citrate buffer (pH 6.0). Section was blocked with 10% normal goat serum 30min at RT. Then primary antibody (1% BSA) was incubated at 4°C overnight. The primary is detected by a biotinylated secondary antibody and visualized using an HRP conjugated SP system.
-
Immunofluorescence staining of Hela cells with CSB-PA873651LA01HU at 1:133, counter-stained with DAPI. The cells were fixed in 4% formaldehyde, permeabilized using 0.2% Triton X-100 and blocked in 10% normal Goat Serum. The cells were then incubated with the antibody overnight at 4°C. The secondary antibody was Alexa Fluor 488-congugated AffiniPure Goat Anti-Rabbit IgG(H+L).
-
-
其他:
產品詳情
-
產品名稱:Rabbit anti-Homo sapiens (Human) CUTC Polyclonal antibody
-
Uniprot No.:
-
基因名:CUTC
-
別名:CGI 32 antibody; CGI32 antibody; Copper homeostasis protein cutC homolog antibody; cutC antibody; CutC copper transporter homolog (E. coli) antibody; CUTC_HUMAN antibody; RP11-483F11.3 antibody
-
宿主:Rabbit
-
反應種屬:Human
-
免疫原:Recombinant Human Copper homeostasis protein cutC homolog protein (1-64AA)
-
免疫原種屬:Homo sapiens (Human)
-
標記方式:Non-conjugated
本頁面中的產品,CUTC Antibody (CSB-PA873651LA01HU),的標記方式是Non-conjugated。對于CUTC Antibody,我們還提供其他標記。見下表:
-
克隆類型:Polyclonal
-
抗體亞型:IgG
-
純化方式:>95%, Protein G purified
-
濃度:It differs from different batches. Please contact us to confirm it.
-
保存緩沖液:Preservative: 0.03% Proclin 300
Constituents: 50% Glycerol, 0.01M PBS, pH 7.4 -
產品提供形式:Liquid
-
應用范圍:ELISA, IHC, IF
-
推薦稀釋比:
Application Recommended Dilution IHC 1:200-1:500 IF 1:50-1:200 -
Protocols:
-
儲存條件:Upon receipt, store at -20°C or -80°C. Avoid repeated freeze.
-
貨期:Basically, we can dispatch the products out in 1-3 working days after receiving your orders. Delivery time maybe differs from different purchasing way or location, please kindly consult your local distributors for specific delivery time.
-
用途:For Research Use Only. Not for use in diagnostic or therapeutic procedures.
相關產品
靶點詳情
-
功能:May play a role in copper homeostasis. Can bind one Cu(1+) per subunit.
-
基因功能參考文獻:
- present study reveals copper induced damage in cells upon hCutC silencing and provides evidence for the role of hCutC protein in intracellular copper homeostasis PMID: 26660891
- Results suggest that hCutC functions as an enzyme with Cu(I) as a cofactor rather than a copper transporter and the potential Cu(I)-binding site consists of the two Cys residues and other conserved residues in the vicinity. PMID: 19878721
- Cloning, expression and subcellular localization of CutC. PMID: 16182249
-
亞細胞定位:Cytoplasm. Nucleus. Note=The overexpressed protein is detected in the cytoplasm, and depending on the cell line, also in the nucleus.
-
蛋白家族:CutC family
-
組織特異性:Ubiquitous.
-
數據庫鏈接:
Most popular with customers
-
-
YWHAB Recombinant Monoclonal Antibody
Applications: ELISA, WB, IHC, IF, FC
Species Reactivity: Human, Mouse, Rat
-
Phospho-YAP1 (S127) Recombinant Monoclonal Antibody
Applications: ELISA, WB, IHC
Species Reactivity: Human
-
-
-
-
-















