CXCR3 Antibody
-
中文名稱:CXCR3兔多克隆抗體
-
貨號:CSB-PA168936
-
規格:¥1100
-
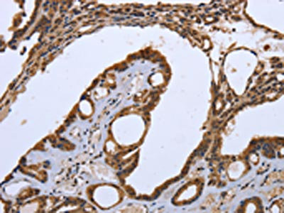
圖片:
-
The image on the left is immunohistochemistry of paraffin-embedded Human thyroid cancer tissue using CSB-PA168936(CXCR3 Antibody) at dilution 1/20, on the right is treated with synthetic peptide. (Original magnification: ×200)
-
The image on the left is immunohistochemistry of paraffin-embedded Human brain tissue using CSB-PA168936(CXCR3 Antibody) at dilution 1/20, on the right is treated with synthetic peptide. (Original magnification: ×200)
-
-
其他:
產品詳情
-
Uniprot No.:
-
基因名:
-
別名:CXCR3; GPR9; C-X-C chemokine receptor type 3; CXC-R3; CXCR-3; CKR-L2; G protein-coupled receptor 9; Interferon-inducible protein 10 receptor; IP-10 receptor; CD antigen CD183
-
宿主:Rabbit
-
反應種屬:Human,Mouse,Rat
-
免疫原:Synthetic peptide of Human CXCR3
-
免疫原種屬:Homo sapiens (Human)
-
標記方式:Non-conjugated
-
抗體亞型:IgG
-
純化方式:Antigen affinity purification
-
濃度:It differs from different batches. Please contact us to confirm it.
-
保存緩沖液:-20°C, pH7.4 PBS, 0.05% NaN3, 40% Glycerol
-
產品提供形式:Liquid
-
應用范圍:ELISA,IHC
-
推薦稀釋比:
Application Recommended Dilution ELISA 1:1000-1:2000 IHC 1:25-1:100 -
Protocols:
-
儲存條件:Upon receipt, store at -20°C or -80°C. Avoid repeated freeze.
-
貨期:Basically, we can dispatch the products out in 1-3 working days after receiving your orders. Delivery time maybe differs from different purchasing way or location, please kindly consult your local distributors for specific delivery time.
-
用途:For Research Use Only. Not for use in diagnostic or therapeutic procedures.
相關產品
靶點詳情
-
功能:Receptor for the C-X-C chemokine CXCL9, CXCL10 and CXCL11 and mediates the proliferation, survival and angiogenic activity of human mesangial cells (HMC) through a heterotrimeric G-protein signaling pathway. Binds to CCL21. Probably promotes cell chemotaxis response.; Receptor for the C-X-C chemokine CXCL4 and also mediates the inhibitory activities of CXCL9, CXCL10 and CXCL11 on the proliferation, survival and angiogenic activity of human microvascular endothelial cells (HMVEC) through a cAMP-mediated signaling pathway. Does not promote cell chemotaxis respons. Interaction with CXCL4 or CXCL10 leads to activation of the p38MAPK pathway and contributes to inhibition of angiogenesis. Overexpression in renal cancer cells down-regulates expression of the anti-apoptotic protein HMOX1 and promotes apoptosis.; Mediates the activity of CXCL11.
-
基因功能參考文獻:
- High CXCR3 expression is associated with invasion and metastasis in tongue squamous cell carcinoma. PMID: 29286143
- Up-regulated CXCR3 is detectable in the amniotic fluid and associated with the presence of placental lesions consistent with maternal anti-fetal rejection so may serve as a potential marker of spontaneous preterm delivery. PMID: 28829757
- the expression of chemokine receptors in different peripheral blood T-cell subsets in patients with polymyositis (PM) and dermatomyositis, was examined. PMID: 28869080
- Results suggest that infiltration of chemokine (C-X-C motif) receptor 3 (CXCR3)-positive plasma cells is a characteristic feature of Hunner type interstitial cystitis (HIC). PMID: 27339056
- Results of this study indicate that CXCR3 overexpression in GC is associated with increased DC and TIL infiltration and improved OS. PMID: 29266971
- Following activation with T-cell receptor and co-culture with various concentrations of chrysotile fibers using freshly isolated CD4+ surface CXCR3 positive and negative fractions, the intracellular expression of CXCR3, IFNgamma and IL-17 remained unchanged when co-cultured with chrysotile. PMID: 28498408
- In conclusion, it seems that decreased expression of CXCR3 and higher expression of CCR6 were associated with HTLV-1 infection, what indicate that these alterations may favor virus dissemination but not disease manifestation. PMID: 28206670
- Alternatively spliced variant of CXCR3 mediates the metastasis of liver cancer. PMID: 26883105
- The CXCL4 monomer acts as the minimal active unit for interacting with CXCR3 N-Terminal Sulfated Peptide, and sulfation of N-terminal tyrosine residues on the receptor is important for binding. PMID: 28945356
- approach has been able to describe the structural events which dynamically characterize the molecular mechanisms involved in the binding of CXCR3 to CXCL11 and the critical role exerted by its N-terminal region in "hunting" and capturing the ligand. PMID: 29054054
- High CXCR3 expression is associated with chronic lymphocytic leukaemia in comparison to small lymphocytic lymphoma. PMID: 29153094
- CD4(+)CXCR3(+) T cells are highly enriched in the inflamed mucosa of intestinal bowel disease patients. PMID: 26732675
- Up-regulation of CXCR3 chemokine and its ligands in bronchoalveolar lavage fluid during organizing pneumonia increases the risk of chronic lung allograft dysfunction after lung transplantation. PMID: 28686641
- These data suggest that elevated IP-10 levels may impair NK cell function during HIV infection and that IP-10/CXCR3 blocking may be a novel therapeutic strategy in the control and functional cure of HIV. PMID: 28465448
- Our result showed that CXCR2 expression was correlated with high grade (P = 0.024), advanced stage (P = 0.029) and metastasis (P = 0.018). The log-rank test revealed that high CXCR2 and CXCR3 expressions are related to poorer overall survival (P < 0.001; P < 0.001). PMID: 27273823
- The percentage of CXCR3(+) CD4(+) TEM cells negatively correlated with the severity of the cutaneous disease in psoriasis patients. Importantly CLA(+) CD4(+) TCM cells expressing CCR6(+) or CCR4(+)CXCR3(+) negatively correlated with psoriasis severity suggesting recruitment to the skin compartment. PMID: 28392462
- Our studies suggest that CXCR3 is a key contributor to the pathogenesis of Alopecia areata by mediating the infiltration of autoreactive CD8+NKG2D+ T cells into the skin PMID: 27412416
- TNF-alpha augments CXCR2 and CXCR3 to promote the progression of renal cell carcinoma leading to a poor prognosis. PMID: 27297979
- TNF-alpha upregulated the expression of CXCR3 in HUVECs PMID: 27565063
- TLR9 ligands may contribute to the immunopathogenesis of sarcoidosis via induction of CXCL10 release in the alveolar macrophages. PMID: 27390897
- The CXCL10/CXCR3 axis mediates T-cell recruitment into the skin in progressive vitiligo. Blocking this chemotactic mechanism may present a new form of therapy. PMID: 26801009
- these data suggest that CXCR3A contributes to the growth, invasion and metastasis of gastric cancer cells in vitro and in vivo, and thus may be a key mediator of gastric cancer progression. PMID: 27461521
- IP-10 complexes with CXCR3, which in turn activates the ERK1/2 pathway, thus resulting in upregulation of p-CREB and increased vascular smooth muscle cell proliferation. PMID: 28111710
- the CXCR3+/CCR5+ expression was higher in the neoplastic as compared to the hyperplastic nodules. PMID: 27872865
- monocytes and lymphocytes cooperate to enhance migration towards CXCR3 chemokines and CCL5 in COPD PMID: 26965295
- CXCL10/CXCR3 axis promotes gastric cancer cell invasion and migration by upregulating MMP-2 and MMP-9 production via PI3K/AKT pathway. PMID: 27470388
- CXCR3 expression in chronic lymphocytic leukemia cells was a strong determinant of a worse clinical outcome. PMID: 26589908
- Speculate that aberrant expression of CXCR3 in marginal zone lymphoma of the skin is associated with migration of lymphoma cells to the epidermis and could lead to an epidermotropic pattern. PMID: 26275313
- CXCR3 role in autoimmune thyroiditis [review] PMID: 24999582
- Both CXCL10 and CXCR3 appeared to be useful in differentiating T1R reaction in borderline leprosy while CXCR3 alone differentiated BT from BT-T1R PMID: 26831417
- CXCR3 expression was upregulated in advanced gastric cancer and was associated with increased CD4+, CD8+ tumor-infiltrating lymphocyte infiltration and improved overall survival PMID: 26823797
- CXCR3 was also linked to steatosis through inducing hepatic lipogenic genes PMID: 26394162
- congruent with the concept that inflammation plays a key role in the pathogenesis of LV dysfunction, MIG, IP10 and I-TAC add diagnostic accuracy over and beyond NT-pro BNP. PMID: 26506526
- Suggest that aberrant CXCR3 expression may play crucial roles in suppressing prostate carcinoma metastasis by inhibiting cell proliferation and invasion through the PCLbeta signaling pathway. PMID: 26339376
- The expression of the chemokine receptors CXCR3, CXCR4 and CXCR7 and their ligands. PMID: 26037167
- This study is aimed at the optimization of a new analytical method for metabolic profiling with parallel bioaffinity assessment of CXCR3 ligands of the azaquinazolinone and piperazinyl-piperidine class and their metabolites. PMID: 26164305
- CXCR3-A, the predominant form in hematopoietic cells, mediates tumor "go" signaling by promoting cell proliferation, survival, chemotaxis, invasion and metastasis; while CXCR3-B, on epithelial cells, mediates "stop" signaling PMID: 25663474
- Common variants of CXCR3 and its ligands CXCL10 and CXCL11 are associated with vascular permeability of dengue infection in peninsular Malaysia. PMID: 25858769
- our study suggested a potential use of CXCR3 overexpression as a prognostic marker for gastric cancer PMID: 26434630
- CD4+ T cells demonstrated markedly decreased CXCR3 expression. PMID: 25768944
- Results indicate that CXC chemokine receptors 3 (CXCR3) contributes to spontaneous preterm birth (SPTB). PMID: 26209629
- High expression of CXCR3 is associated with glioblastoma patients with an invasive phenotype. PMID: 25527046
- Report crosstalk between TGF-beta1 and CXCR3 signaling in the regulation of urethral fibrosis. PMID: 24907118
- Expression of CXCR3 in fibroblasts is associated with the expression of IL-13Ralpha2. PMID: 25514189
- Targeting of both CXCR3 isoforms may be important to block the stem cell-promoting actions of CXCR3-B, while inhibiting the pro-proliferative and metastasis-promoting functions of CXCR3-A. PMID: 25537642
- CXCR3 has been demonstrated to be strongly related to tumour progression in advanced colorectal cancer. PMID: 25232565
- CXCR3 and IP-10 are involved in the pathogenesis of bronchiolitis, and CXCR3 is associated with allergic factors. PMID: 25760840
- Higher percentages of CCR4+ CD4 TEM cells in acute RSV infection were accompanied with higher percentages of CXCR3+ CD8 TEM cells, whereas the development of long-lived memory CXCR3+ CD4 and CD8 TCM cells seems to be compromised PMID: 25013801
- the participation of the chemokine CXCL10/CXCR3 axis in celiac disease pathogenesis PMID: 24586509
- The different groups of clinically stable nonallergic asthmatic patients showed distinct patterns of alterations in subset distribution as well as CCR6, CXCR3, and CCR5 expression on circulating T lymphocytes. PMID: 25178112
顯示更多
收起更多
-
亞細胞定位:[Isoform 1]: Cell membrane; Multi-pass membrane protein.; [Isoform 2]: Cell membrane; Multi-pass membrane protein.
-
蛋白家族:G-protein coupled receptor 1 family
-
組織特異性:Isoform 1 and isoform 2 are mainly expressed in heart, kidney, liver and skeletal muscle. Isoform 1 is also expressed in placenta. Isoform 2 is expressed in endothelial cells. Expressed in T-cells (at protein level).
-
數據庫鏈接:
Most popular with customers
-
-
YWHAB Recombinant Monoclonal Antibody
Applications: ELISA, WB, IHC, IF, FC
Species Reactivity: Human, Mouse, Rat
-
-
-
-
-
-
VDAC1 Recombinant Monoclonal Antibody
Applications: ELISA, WB, IHC
Species Reactivity: Human, Mouse, Rat















