CYP4A11 Antibody
-
中文名稱:CYP4A11兔多克隆抗體
-
貨號:CSB-PA913264
-
規格:¥1100
-
圖片:
-
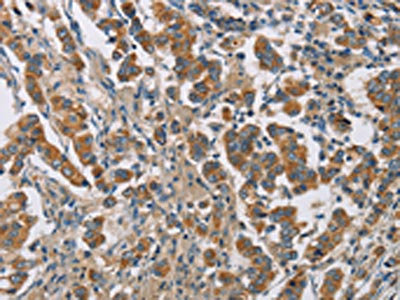
The image on the left is immunohistochemistry of paraffin-embedded Human breast cancer tissue using CSB-PA913264(CYP4A11 Antibody) at dilution 1/25, on the right is treated with fusion protein. (Original magnification: ×200)
-
The image on the left is immunohistochemistry of paraffin-embedded Human thyroid cancer tissue using CSB-PA913264(CYP4A11 Antibody) at dilution 1/25, on the right is treated with fusion protein. (Original magnification: ×200)
-
-
其他:
產品詳情
-
Uniprot No.:
-
基因名:
-
別名:20-HETE synthase antibody; 20-hydroxyeicosatetraenoic acid synthase antibody; CP4AB_HUMAN antibody; CYP4A antibody; Cyp4a1 antibody; Cyp4a10 antibody; CYP4A11 antibody; Cyp4a14 antibody; Cyp4a3 antibody; CYP4A7 antibody; CYP4AII antibody; CYPIVA11 antibody; Cytochrome P-450HK-omega antibody; Cytochrome P450 4A1 antibody; Cytochrome P450 4A10 antibody; Cytochrome P450 4A11 antibody; Cytochrome P450 4A14 antibody; Cytochrome P450 4A2 antibody; Cytochrome P450 4A3 antibody; Cytochrome P450 4A7 antibody; Cytochrome P450HL-omega antibody; Fatty acid omega-hydroxylase antibody; Lauric acid omega-hydroxylase antibody
-
宿主:Rabbit
-
反應種屬:Human
-
免疫原:Fusion protein of Human CYP4A11
-
免疫原種屬:Homo sapiens (Human)
-
標記方式:Non-conjugated
-
抗體亞型:IgG
-
純化方式:Antigen affinity purification
-
濃度:It differs from different batches. Please contact us to confirm it.
-
保存緩沖液:-20°C, pH7.4 PBS, 0.05% NaN3, 40% Glycerol
-
產品提供形式:Liquid
-
應用范圍:ELISA,IHC
-
推薦稀釋比:
Application Recommended Dilution ELISA 1:1000-1:2000 IHC 1:25-1:100 -
Protocols:
-
儲存條件:Upon receipt, store at -20°C or -80°C. Avoid repeated freeze.
-
貨期:Basically, we can dispatch the products out in 1-3 working days after receiving your orders. Delivery time maybe differs from different purchasing way or location, please kindly consult your local distributors for specific delivery time.
-
用途:For Research Use Only. Not for use in diagnostic or therapeutic procedures.
相關產品
靶點詳情
-
功能:A cytochrome P450 monooxygenase involved in the metabolism of fatty acids and their oxygenated derivatives (oxylipins). Mechanistically, uses molecular oxygen inserting one oxygen atom into a substrate, and reducing the second into a water molecule, with two electrons provided by NADPH via cytochrome P450 reductase (CPR; NADPH-ferrihemoprotein reductase). Catalyzes predominantly the oxidation of the terminal carbon (omega-oxidation) of saturated and unsaturated fatty acids, the catalytic efficiency decreasing in the following order: dodecanoic > tetradecanoic > (9Z)-octadecenoic > (9Z,12Z)-octadecadienoic > hexadecanoic acid. Acts as a major omega-hydroxylase for dodecanoic (lauric) acid in liver. Participates in omega-hydroxylation of (5Z,8Z,11Z,14Z)-eicosatetraenoic acid (arachidonate) to 20-hydroxyeicosatetraenoic acid (20-HETE), a signaling molecule acting both as vasoconstrictive and natriuretic with overall effect on arterial blood pressure. Can also catalyze the oxidation of the penultimate carbon (omega-1 oxidation) of fatty acids with lower efficiency. May contribute to the degradation of saturated very long-chain fatty acids (VLCFAs) such as docosanoic acid, by catalyzing successive omega-oxidations to the corresponding dicarboxylic acid, thereby initiating chain shortening. Omega-hydroxylates (9R,10S)-epoxy-octadecanoate stereoisomer. Plays a minor role in omega-oxidation of long-chain 3-hydroxy fatty acids. Has little activity toward prostaglandins A1 and E1.
-
基因功能參考文獻:
- Haplotype G-C-A of CYP4A11 was associated with increased risk of coronary artery disease. PMID: 29484037
- Gene-gene interaction between rs1126742 and rs3890011 and gene-environment interaction between rs1126742 and smoking were associated with increased EH risk. PMID: 28534704
- Heme-thiolate sulfenylation of human cytochrome P450 4A11 functions as a redox switch for catalytic inhibition. PMID: 28533430
- These results point to a potential 20-HETE dependence of intrarenal angiotensinogen production and ANGII receptor type 1 activation that are associated with increases in NCC and SGK1 and identify elevated P450 4A11 activity and 20-HETE as potential risk factors for salt-sensitive human hypertension by perturbation of the renal renin-angiotensin axis. PMID: 27298316
- CYP4A11 Variants are associated with Ischemic Stroke. PMID: 27087514
- The results suggest that individuals carrying the alleles, K276T and S353G, might exhibit higher catalysis of CYP4A11 PMID: 27793475
- CYP4A1l rs9333025 GG and CYP4F2 rs2108622 GG two-loci interaction significantly increases the risk for IS and an elevated 20-HETE level. PMID: 26959478
- Single nucleotide polymorphism of CYP4A11 gene is associated with Plaque in Patients with Ischemic Stroke. PMID: 26423716
- The present study focused on 10 CYP4A11 variant alleles and evaluated their functional characteristics using arachidonic acid as the substrate in a COS-7 cell-based expression system. PMID: 25760539
- To evaluate the associations between four single-nucleotide polymorphisms (SNPs) in CYP4A11 and CYP4F2 and ischemic stroke (IS) PMID: 25734770
- The CC genotype and C allele of the CYP4A11 gene were associated with essential hypertension in the male western Chinese Han population. PMID: 24164311
- individuals homozygous for the CYP4A11 rs3890011 C allele, blood pressure is resistant to mineralocorticoid receptor antagonism, but sensitive to ENaC inhibition, consistent with ENaC activation. PMID: 25064769
- Results indicate that both the transfer of an electron to the ferrous.O2 complex and C-H bond-breaking limit the rate of CYP4A11 ( cytochrome P450 4A11) omega-oxidation. PMID: 25203493
- This meta-analysis suggests the CYP4A11 T8590C polymorphism may be a risk factor for hypertension. PMID: 24931260
- suggests there is a significant association between the CYP4A11 T8590C variant and essential hypertension, especially in Caucasians. The case-control study did not find a significant association among the Han Chinese population PMID: 24278241
- The results suggest that the CYP4A11 GG genotype was a high risk factor for hypertension. PMID: 24535879
- This meta-analysis revealed that the RGS2 1891-1892del TC polymorphism and CYP4A11 T8590C polymorphism were associated with hypertension risk. PMID: 23859711
- The CYP4A11 8590C allele was also associated with low HDL-C in women. PMID: 21912424
- rs3890011 maybe a novel polymorphism of the CYP4A11 gene associated with CAD in a Han Chinese population. PMID: 22327816
- The GG genotype of rs3890011 and the G-G-T haplotype in the CYP4A11 gene could be a useful genetic marker of CAD in Han populations in China. PMID: 23085321
- Single-nucleotide polymorphisms of the human CYP4A11 gene appear to have no association with myocardial infarction in Japanese. PMID: 22804341
- We confirmed that the CYP4A11 (8590T>C) functional polymorphism exhibits inter-ethnic frequency differences and an association with hypertension. PMID: 21617944
- The loss-of-function CYP4A11 8590C allele is associated with a diagnosis of hypertension and, in normotensive individuals, with higher blood pressure regardless of salt intake. PMID: 21873888
- Data suggest that results could be helpful for further investigations of the potential role of CYP4A variants in the genetic susceptibility to cardiovascular diseases such as arterial hypertension. PMID: 21820496
- In normotensive individuals, the CYP4A11 rs4660980 polymophism was associated with both systolic and diastolic blood pressure in men. A common variant on CYP4A11 was associated with blood pressure in a Chinese population. PMID: 21326303
- Association of common variants of CYP4A11 with stroke in Han Chinese population is reported. PMID: 20130494
- In patients with established and stable coronary artery disease the 434SS variant of CYP4A11 F434 is associated with pronounced coronary vasoconstriction. PMID: 19615687
- CYP4A11 expression can be induced by glucocorticoids and peroxisome proliferators PMID: 12464261
- gene and protein analysis of CYP4A11 show that it is expressed in kidney PMID: 12464262
- A variant of the human CYP4A11 (T8590C) encodes for a monooxygenase with reduced 20-HETE synthase activity. The association of the T8590C variant with hypertension supports its role as a polygenic determinant of blood pressure control in humans. PMID: 15611369
- Our data strengthen the association between the T8590C polymorphism of CYP4A11 and hypertension and suggest a recessive mode of inheritance. PMID: 16144986
- Genetic (T8590C) and environmental (insulin) factors impair 20-HETE responses to salt in human hypertension. The T8590C polymorphism of CYP4A11 encodes an enzyme with reduced catalytic activity. PMID: 18227405
- Essential hypertension is associated with the TC + TT genotype of rs1126742 in the human CYP4A11 gene PMID: 18300855
- The CYP4A11 8590CC genotype is associated with increased blood pressure in black men with hypertensive nephrosclerosis and is associated with adverse clinical outcomes in those with baseline proteinuria. PMID: 18385420
- In humans that polymorphisms of the CYP4F2 and CYP4A11 genes have opposite effects on 20-hydroxyeicosatetraenoic acid excretion. PMID: 18391101
- a functional variant (-845A/G) of CYP4A11 is significantly associated with hypertension and appears to be a novel candidate for a predisposing factor for hypertension PMID: 18936345
- PPARalpha contributes to the maintenance of basal CYP4A11 expression and mediates CYP4A11 induction in response to fibrates or fasting; increased exposure to growth hormone down-regulates CYP4A11 expression in liver PMID: 19366684
顯示更多
收起更多
-
亞細胞定位:Endoplasmic reticulum membrane; Peripheral membrane protein. Microsome membrane; Peripheral membrane protein.
-
蛋白家族:Cytochrome P450 family
-
組織特異性:Expressed in liver. Expressed in S2 and S3 segments of proximal tubules in cortex and outer medulla of kidney.
-
數據庫鏈接:
Most popular with customers
-
YWHAB Recombinant Monoclonal Antibody
Applications: ELISA, WB, IHC, IF, FC
Species Reactivity: Human, Mouse, Rat
-
Phospho-YAP1 (S127) Recombinant Monoclonal Antibody
Applications: ELISA, WB, IHC
Species Reactivity: Human
-
-
-
-
-
-















