DACT3 Antibody
-
中文名稱:DACT3兔多克隆抗體
-
貨號:CSB-PA856898ESR1HU
-
規格:¥440
-
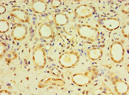
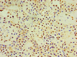
圖片:
-
其他:
產品詳情
-
產品名稱:Rabbit anti-Homo sapiens (Human) DACT3 Polyclonal antibody
-
Uniprot No.:
-
基因名:DACT3
-
別名:Antagonist of beta-catenin Dapper homolog 3 antibody; Arginine rich region 1 antibody; Arginine rich region 1 protein antibody; Arginine-rich region 1 protein antibody; Dact3 antibody; DACT3_HUMAN antibody; Dapper antagonist of beta catenin 3 antibody; Dapper antagonist of beta catenin homolog 3 (Xenopus laevis) antibody; Dapper homolog 3 antibody; Dapper3 antibody; Dpr3 antibody; RRR1 antibody; Thymus expressed gene 3 like antibody
-
宿主:Rabbit
-
反應種屬:Human
-
免疫原:Recombinant Human Dapper homolog 3 protein (1-160AA)
-
免疫原種屬:Homo sapiens (Human)
-
標記方式:Non-conjugated
-
克隆類型:Polyclonal
-
抗體亞型:IgG
-
純化方式:Antigen Affinity Purified
-
濃度:It differs from different batches. Please contact us to confirm it.
-
保存緩沖液:PBS with 0.02% sodium azide, 50% glycerol, pH7.3.
-
產品提供形式:Liquid
-
應用范圍:ELISA, IHC
-
推薦稀釋比:
Application Recommended Dilution IHC 1:20-1:200 -
Protocols:
-
儲存條件:Upon receipt, store at -20°C or -80°C. Avoid repeated freeze.
-
貨期:Basically, we can dispatch the products out in 1-3 working days after receiving your orders. Delivery time maybe differs from different purchasing way or location, please kindly consult your local distributors for specific delivery time.
-
用途:For Research Use Only. Not for use in diagnostic or therapeutic procedures.
相關產品
靶點詳情
-
功能:May be involved in regulation of intracellular signaling pathways during development. Specifically thought to play a role in canonical and/or non-canonical Wnt signaling pathways through interaction with DSH (Dishevelled) family proteins.
-
基因功能參考文獻:
- Epigenetic repression of DACT3 leads to aberrant Wnt-beta-catenin signaling in colorectal cancer cells. PMID: 18538736
-
蛋白家族:Dapper family
-
數據庫鏈接:
Most popular with customers
-
-
YWHAB Recombinant Monoclonal Antibody
Applications: ELISA, WB, IHC, IF, FC
Species Reactivity: Human, Mouse, Rat
-
Phospho-YAP1 (S127) Recombinant Monoclonal Antibody
Applications: ELISA, WB, IHC
Species Reactivity: Human
-
-
-
-
-















