DAPP1 Antibody
-
中文名稱:DAPP1兔多克隆抗體
-
貨號:CSB-PA892478LA01HU
-
規格:¥440
-
圖片:
-
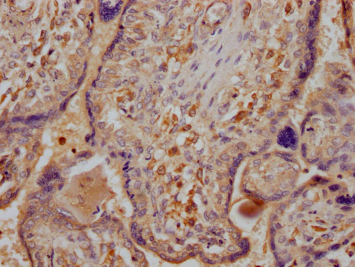
IHC image of CSB-PA892478LA01HU diluted at 1:300 and staining in paraffin-embedded human placenta tissue performed on a Leica BondTM system. After dewaxing and hydration, antigen retrieval was mediated by high pressure in a citrate buffer (pH 6.0). Section was blocked with 10% normal goat serum 30min at RT. Then primary antibody (1% BSA) was incubated at 4°C overnight. The primary is detected by a Goat anti-rabbit IgG labeled by HRP and visualized using 0.05% DAB.
-
Immunofluorescence staining of A549 cells with CSB-PA892478LA01HU at 1:100, counter-stained with DAPI. The cells were fixed in 4% formaldehyde and blocked in 10% normal Goat Serum. The cells were then incubated with the antibody overnight at 4°C. The secondary antibody was Alexa Fluor 488-congugated AffiniPure Goat Anti-Rabbit IgG(H+L).
-
-
其他:
產品詳情
-
產品名稱:Rabbit anti-Homo sapiens (Human) DAPP1 Polyclonal antibody
-
Uniprot No.:
-
基因名:
-
別名:Dual adapter for phosphotyrosine and 3-phosphotyrosine and 3-phosphoinositide (hDAPP1) (B lymphocyte adapter protein Bam32) (B-cell adapter molecule of 32 kDa), DAPP1, BAM32
-
宿主:Rabbit
-
反應種屬:Human
-
免疫原:Recombinant Human Dual adapter for phosphotyrosine and 3-phosphotyrosine and 3-phosphoinositide protein (1-280aa)
-
免疫原種屬:Homo sapiens (Human)
-
標記方式:Non-conjugated
本頁面中的產品,DAPP1 Antibody (CSB-PA892478LA01HU),的標記方式是Non-conjugated。對于DAPP1 Antibody,我們還提供其他標記。見下表:
-
克隆類型:Polyclonal
-
抗體亞型:IgG
-
純化方式:>95%, Protein G purified
-
濃度:It differs from different batches. Please contact us to confirm it.
-
保存緩沖液:Preservative: 0.03% Proclin 300
Constituents: 50% Glycerol, 0.01M PBS, pH 7.4 -
產品提供形式:Liquid
-
應用范圍:ELISA, IHC, IF
-
推薦稀釋比:
Application Recommended Dilution IHC 1:100-1:500 IF 1:100-1:500 -
Protocols:
-
儲存條件:Upon receipt, store at -20°C or -80°C. Avoid repeated freeze.
-
貨期:Basically, we can dispatch the products out in 1-3 working days after receiving your orders. Delivery time maybe differs from different purchasing way or location, please kindly consult your local distributors for specific delivery time.
-
用途:For Research Use Only. Not for use in diagnostic or therapeutic procedures.
相關產品
靶點詳情
-
功能:May act as a B-cell-associated adapter that regulates B-cell antigen receptor (BCR)-signaling downstream of PI3K.
-
基因功能參考文獻:
- we propose a role for Bam32 in the signaling of MHC class I molecules in professional Ag-presenting DC for the regulation of CD8(+) T cell activation. PMID: 21930970
- novel phosphorylation-dependent function of Bam32 in regulating Rac1 activation and actin remodeling. PMID: 15247305
- BAM32 works downstream of Src family protein tyrosine kinases and functions to link B cell antigen receptor signals with antigen-processing pathways in B cells. PMID: 15494510
-
亞細胞定位:Cytoplasm. Membrane; Peripheral membrane protein. Note=Membrane-associated after cell stimulation leading to its translocation.
-
組織特異性:Highly expressed in placenta and lung, followed by brain, heart, kidney, liver, pancreas and skeletal muscle. Expressed by B-lymphocytes, but not T-lymphocytes or nonhematopoietic cells.
-
數據庫鏈接:
Most popular with customers
-
YWHAB Recombinant Monoclonal Antibody
Applications: ELISA, WB, IHC, IF, FC
Species Reactivity: Human, Mouse, Rat
-
Phospho-YAP1 (S127) Recombinant Monoclonal Antibody
Applications: ELISA, WB, IHC
Species Reactivity: Human
-
-
-
-
-
-















