DCHS1 Antibody
-
中文名稱:DCHS1兔多克隆抗體
-
貨號:CSB-PA850320OA01HU
-
規格:¥440
-
圖片:
-
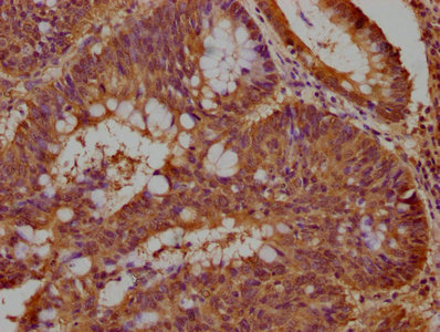
IHC image of CSB-PA850320OA01HU diluted at 1:100 and staining in paraffin-embedded human colon cancer performed on a Leica BondTM system. After dewaxing and hydration, antigen retrieval was mediated by high pressure in a citrate buffer (pH 6.0). Section was blocked with 10% normal goat serum 30min at RT. Then primary antibody (1% BSA) was incubated at 4°C overnight. The primary is detected by a biotinylated secondary antibody and visualized using an HRP conjugated SP system.
-
Immunofluorescence staining of SH-SY5Y cells with CSB-PA850320OA01HU at 1:50, counter-stained with DAPI. The cells were fixed in 4% formaldehyde, permeabilized using 0.2% Triton X-100 and blocked in 10% normal Goat Serum. The cells were then incubated with the antibody overnight at 4°C. The secondary antibody was Alexa Fluor 488-congugated AffiniPure Goat Anti-Rabbit IgG(H+L).
-
-
其他:
產品詳情
-
產品名稱:Rabbit anti-Homo sapiens (Human) DCHS1 Polyclonal antibody
-
Uniprot No.:
-
基因名:DCHS1
-
別名:3110041P15Rik antibody; C130033F22Rik antibody; Cadherin-19 antibody; Cadherin-25 antibody; CDH19 antibody; CDH25 antibody; dachsous 1 (Drosophila) antibody; DCHS1 antibody; FIB1 antibody; Fibroblast cadherin-1 antibody; KIAA1773 antibody; OTTMUSP00000015964 antibody; PCD16_HUMAN antibody; PCDH16 antibody; Protein dachsous homolog 1 antibody; Protocadherin-16 antibody
-
宿主:Rabbit
-
反應種屬:Human
-
免疫原:Peptide sequence from Human Protocadherin-16 protein (2964-2981AA)
-
免疫原種屬:Homo sapiens (Human)
-
標記方式:Non-conjugated
本頁面中的產品,DCHS1 Antibody (CSB-PA850320OA01HU),的標記方式是Non-conjugated。對于DCHS1 Antibody,我們還提供其他標記。見下表:
-
克隆類型:Polyclonal
-
抗體亞型:IgG
-
純化方式:Antigen Affinity Purified
-
濃度:It differs from different batches. Please contact us to confirm it.
-
保存緩沖液:Preservative: 0.03% Proclin 300
Constituents: 50% Glycerol, 0.01M PBS, pH 7.4 -
產品提供形式:Liquid
-
應用范圍:ELISA, IHC, IF
-
推薦稀釋比:
Application Recommended Dilution IHC 1:20-1:200 IF 1:50-1:200 -
Protocols:
-
儲存條件:Upon receipt, store at -20°C or -80°C. Avoid repeated freeze.
-
貨期:Basically, we can dispatch the products out in 1-3 working days after receiving your orders. Delivery time maybe differs from different purchasing way or location, please kindly consult your local distributors for specific delivery time.
-
用途:For Research Use Only. Not for use in diagnostic or therapeutic procedures.
相關產品
靶點詳情
-
功能:Calcium-dependent cell-adhesion protein. Mediates functions in neuroprogenitor cell proliferation and differentiation. In the heart, has a critical role for proper morphogenesis of the mitral valve, acting in the regulation of cell migration involved in valve formation.
-
基因功能參考文獻:
- p.R2330C and p.R2513H were not identified in this cohort. found eight missense variants including six considered deleterious. This includes one novel variant (p.A2464P) and two rare variants (p.R2770Q and p.R2462Q). These variants are predicted to be deleterious with combined annotation-dependent depletion (CADD) scores greater than 25, which are in the same range as p.R2330C (CADD = 28.0) and p.R2513H (CADD = 24.3). PMID: 29224215
- The infant was diagnosed with van Maldergem syndrome on the basis of the clinical features and this was subsequently confirmed with genetic analysis, which indicated a homozygous mutation (c.7204G>A p. D2402N ) in the DCHS1 gene PMID: 29505454
- Study shows that when key regulators during mammalian cerebral cortical development are disrupted due to DCHS1-FAT4 mutations, functional cerebral asymmetries are stronger. PMID: 25930014
- In sum, we establish Dchs1 as a component of the membrane domain surrounding the ciliary base. This suggests a specific role of Dchs1 in PCP-dependent organization of ciliary function and a possible role in lung disease. PMID: 27074579
- DCHS1 deficiency in mitral valve prolapse patient mitral valve interstitial cells (MVICs), as well as in Dchs1(+/-) mouse MVICs, result in altered migration and cellular patterning, supporting these processes as aetiological underpinnings for the disease PMID: 26258302
- These findings suggest that Fat and Dachsous self-bend due to the loss of Ca(2+)-binding amino acids from specific EC-EC linkers, and can therefore adapt to confined spaces. PMID: 25355906
- findings show that mutations in genes encoding the receptor-ligand cadherin pair DCHS1 and FAT4 lead to a recessive syndrome in humans that includes periventricular neuronal heterotopia PMID: 24056717
顯示更多
收起更多
-
相關疾病:Van Maldergem syndrome 1 (VMLDS1); Mitral valve prolapse 2 (MVP2)
-
亞細胞定位:Cell membrane; Single-pass type I membrane protein.
-
組織特異性:Expressed in fibroblasts but not in melanocytes or keratinocytes.
-
數據庫鏈接:
Most popular with customers
-
-
YWHAB Recombinant Monoclonal Antibody
Applications: ELISA, WB, IHC, IF, FC
Species Reactivity: Human, Mouse, Rat
-
Phospho-YAP1 (S127) Recombinant Monoclonal Antibody
Applications: ELISA, WB, IHC
Species Reactivity: Human
-
-
-
-
-















