DDIT4L Antibody
-
中文名稱:DDIT4L兔多克隆抗體
-
貨號:CSB-PA900926
-
規格:¥1100
-
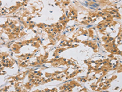
圖片:
-
The image on the left is immunohistochemistry of paraffin-embedded Human liver cancer tissue using CSB-PA900926(DDIT4L Antibody) at dilution 1/20, on the right is treated with fusion protein. (Original magnification: ×200)
-
The image on the left is immunohistochemistry of paraffin-embedded Human thyroid cancer tissue using CSB-PA900926(DDIT4L Antibody) at dilution 1/20, on the right is treated with fusion protein. (Original magnification: ×200)
-
-
其他:
產品詳情
-
Uniprot No.:
-
基因名:DDIT4L
-
別名:DDIT4L antibody; REDD2 antibody; RTP801LDNA damage-inducible transcript 4-like protein antibody; HIF-1 responsive protein RTP801-like antibody; Protein regulated in development and DNA damage response 2 antibody; REDD-2 antibody
-
宿主:Rabbit
-
反應種屬:Human,Mouse,Rat
-
免疫原:Fusion protein of Human DDIT4L
-
免疫原種屬:Homo sapiens (Human)
-
標記方式:Non-conjugated
-
抗體亞型:IgG
-
純化方式:Antigen affinity purification
-
濃度:It differs from different batches. Please contact us to confirm it.
-
保存緩沖液:-20°C, pH7.4 PBS, 0.05% NaN3, 40% Glycerol
-
產品提供形式:Liquid
-
應用范圍:ELISA,IHC
-
推薦稀釋比:
Application Recommended Dilution ELISA 1:1000-1:2000 IHC 1:25-1:100 -
Protocols:
-
儲存條件:Upon receipt, store at -20°C or -80°C. Avoid repeated freeze.
-
貨期:Basically, we can dispatch the products out in 1-3 working days after receiving your orders. Delivery time maybe differs from different purchasing way or location, please kindly consult your local distributors for specific delivery time.
-
用途:For Research Use Only. Not for use in diagnostic or therapeutic procedures.
相關產品
靶點詳情
-
功能:Inhibits cell growth by regulating the TOR signaling pathway upstream of the TSC1-TSC2 complex and downstream of AKT1.
-
基因功能參考文獻:
- mediates monocyte cell death through a reduction in thioredoxin-1 expression PMID: 19268525
- Promoter methylation and differential gene expression of five markers: COL1A2, NPM2, HSPB6, DDIT4L and MT1G were validated by sequencing of bisulfite-modified DNA and real-time reverse transcriptase PCR, respectively. PMID: 19491193
-
亞細胞定位:Cytoplasm.
-
蛋白家族:DDIT4 family
-
組織特異性:Up-regulated in atherosclerotic plaques relative to healthy segments of the same artery.
-
數據庫鏈接:
Most popular with customers
-
YWHAB Recombinant Monoclonal Antibody
Applications: ELISA, WB, IHC, IF, FC
Species Reactivity: Human, Mouse, Rat
-
Phospho-YAP1 (S127) Recombinant Monoclonal Antibody
Applications: ELISA, WB, IHC
Species Reactivity: Human
-
-
-
-
-
-















