DDX39A Antibody
-
中文名稱:DDX39A兔多克隆抗體
-
貨號:CSB-PA006620ESR2HU
-
規格:¥440
-
圖片:
-
Western blot
All lanes: ATP-dependent RNA helicase DDX39A antibody at 2μg/ml
Lane 1: A431 whole cell lysate
Lane 2: 293T whole cell lysate
Lane 3: HepG2 whole cell lysate
Secondary
Goat polyclonal to rabbit IgG at 1/10000 dilution
Predicted band size: 50, 37, 31 kDa
Observed band size: 50 kDa -
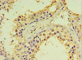
Immunohistochemistry of paraffin-embedded human skin tissue using CSB-PA006620ESR2HU at dilution of 1:100
-
Immunohistochemistry of paraffin-embedded human testis tissue using CSB-PA006620ESR2HU at dilution of 1:100
-
-
其他:
產品詳情
-
產品名稱:Rabbit anti-Homo sapiens (Human) DDX39A Polyclonal antibody
-
Uniprot No.:
-
基因名:DDX39A
-
別名:DDX39A antibody; DDX39 antibody; ATP-dependent RNA helicase DDX39A antibody; EC 3.6.4.13 antibody; DEAD box protein 39 antibody; Nuclear RNA helicase URH49 antibody
-
宿主:Rabbit
-
反應種屬:Human
-
免疫原:Recombinant Human ATP-dependent RNA helicase DDX39A protein (178-427AA)
-
免疫原種屬:Homo sapiens (Human)
-
標記方式:Non-conjugated
-
克隆類型:Polyclonal
-
抗體亞型:IgG
-
純化方式:Antigen Affinity Purified
-
濃度:It differs from different batches. Please contact us to confirm it.
-
保存緩沖液:PBS with 0.02% sodium azide, 50% glycerol, pH7.3.
-
產品提供形式:Liquid
-
應用范圍:ELISA, WB, IHC
-
推薦稀釋比:
Application Recommended Dilution WB 1:500-1:2000 IHC 1:20-1:200 -
Protocols:
-
儲存條件:Upon receipt, store at -20°C or -80°C. Avoid repeated freeze.
-
貨期:Basically, we can dispatch the products out in 1-3 working days after receiving your orders. Delivery time maybe differs from different purchasing way or location, please kindly consult your local distributors for specific delivery time.
-
用途:For Research Use Only. Not for use in diagnostic or therapeutic procedures.
相關產品
靶點詳情
-
功能:Involved in pre-mRNA splicing. Required for the export of mRNA out of the nucleus.
-
基因功能參考文獻:
- DDX39B and its paralog DDX39A regulate androgen receptor splice variant AR-V7 generation PMID: 28025139
- DDX39A is a potential biomarker for unfavorable neuroblastoma PMID: 26469522
- The protein levels of DDX39 were found to be higher in malignant pleural mesothelioma cell lines compared to normal pleural mesothelial cells. PMID: 23749908
- Results suggest that DDX39 is a suppressor of invasion and loss of its function predicts disease progression in bladder cancers. PMID: 22494014
- #NAME? PMID: 22119546
- Requirement of DDX39 DEAD box RNA helicase for genome integrity and telomere protection PMID: 21388492
- UAP56 and URH49 exhibit an intrinsic CRM1-independent nucleocytoplasmic shuttling PMID: 21799930
- Mx proteins exert their antiviral activity against IAV by interfering with the function of the RNA helicases UAP56 and URH49 PMID: 21859714
- Data show that the two closely related RNA helicases UAP56 and URH49 have evolved to form distinct mRNA export machineries, which regulate mitosis at different steps. PMID: 20573985
- Using a UL69 viral mutant that is unable to bind UAP56 and URH49, the authors demonstrated that UL69's interaction with UAP56 or URH49 does not contribute to the growth phenotype associated with the UL69 deletion mutant. PMID: 20610707
- Regulation of URH49 mRNA expression and comparison with the related UAP56 RNA helicase. PMID: 15047853
- Reducing the expression of UAP56 and URH49 resulted in a reduction in reporter gene expression as well as cell death within 72 h suggest that both helicases have essential but largely overlapping functions in the processing and export of mammalian mRNAs. PMID: 16949217
- CIP29 physically and functionally associates with DDX39, suggesting their cooperation in the RNA metabolism. PMID: 17196963
- DDX39 is a novel RNA helicase capable of promoting cancer cell growth PMID: 17548965
顯示更多
收起更多
-
亞細胞定位:Nucleus. Cytoplasm. Note=Can translocate to the cytoplasm in the presence of MX1.
-
蛋白家族:DEAD box helicase family, DECD subfamily
-
組織特異性:Detected in testis, and at lower levels in brain, kidney, lung, thymus, spleen and salivary gland.
-
數據庫鏈接:
Most popular with customers
-
-
YWHAB Recombinant Monoclonal Antibody
Applications: ELISA, WB, IHC, IF, FC
Species Reactivity: Human, Mouse, Rat
-
Phospho-YAP1 (S127) Recombinant Monoclonal Antibody
Applications: ELISA, WB, IHC
Species Reactivity: Human
-
-
-
-
-















