DEDD2 Antibody
-
中文名稱:DEDD2兔多克隆抗體
-
貨號:CSB-PA837874ESR2HU
-
規格:¥440
-
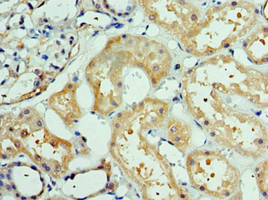
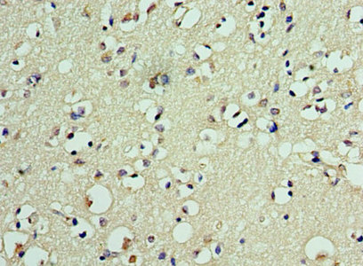
圖片:
-
其他:
產品詳情
-
產品名稱:Rabbit anti-Homo sapiens (Human) DEDD2 Polyclonal antibody
-
Uniprot No.:
-
基因名:DEDD2
-
別名:DEDD2 antibody; FLAME3 antibody; PSEC0004DNA-binding death effector domain-containing protein 2 antibody; DED-containing protein FLAME-3 antibody; FADD-like anti-apoptotic molecule 3 antibody
-
宿主:Rabbit
-
反應種屬:Human
-
免疫原:Recombinant Human DNA-binding death effector domain-containing protein 2 protein (1-240AA)
-
免疫原種屬:Homo sapiens (Human)
-
標記方式:Non-conjugated
-
克隆類型:Polyclonal
-
抗體亞型:IgG
-
純化方式:Antigen Affinity Purified
-
濃度:It differs from different batches. Please contact us to confirm it.
-
保存緩沖液:PBS with 0.02% sodium azide, 50% glycerol, pH7.3.
-
產品提供形式:Liquid
-
應用范圍:ELISA, IHC
-
推薦稀釋比:
Application Recommended Dilution IHC 1:20-1:200 -
Protocols:
-
儲存條件:Upon receipt, store at -20°C or -80°C. Avoid repeated freeze.
-
貨期:Basically, we can dispatch the products out in 1-3 working days after receiving your orders. Delivery time maybe differs from different purchasing way or location, please kindly consult your local distributors for specific delivery time.
-
用途:For Research Use Only. Not for use in diagnostic or therapeutic procedures.
相關產品
靶點詳情
-
功能:May play a critical role in death receptor-induced apoptosis and may target CASP8 and CASP10 to the nucleus. May regulate degradation of intermediate filaments during apoptosis. May play a role in the general transcription machinery in the nucleus and might be an important regulator of the activity of GTF3C3.
-
基因功能參考文獻:
- FLAME-3 forms nuclear complexes with the TFIIIC102 subunit of human transcription factor IIIC PMID: 11965497
- DEDD and DEDD2 may be important mediators for death receptors and that they may target caspases to the nucleus. PMID: 12527898
-
亞細胞定位:Nucleus, nucleolus. Note=Nuclear, accumulated in subnuclear structures resembling nucleoli.
-
組織特異性:Expressed in most tissues. High levels were found in liver, kidney, heart, ovary, spleen, testes, skeletal muscle and peripheral blood leukocytes. Expression was absent or low in colon and small intestine. Expression is relatively high in the tumor cell l
-
數據庫鏈接:
Most popular with customers
-
-
YWHAB Recombinant Monoclonal Antibody
Applications: ELISA, WB, IHC, IF, FC
Species Reactivity: Human, Mouse, Rat
-
Phospho-YAP1 (S127) Recombinant Monoclonal Antibody
Applications: ELISA, WB, IHC
Species Reactivity: Human
-
-
-
-
-















