DEFA1 Antibody
-
中文名稱:DEFA1兔多克隆抗體
-
貨號:CSB-PA919793
-
規格:¥1100
-
圖片:
-
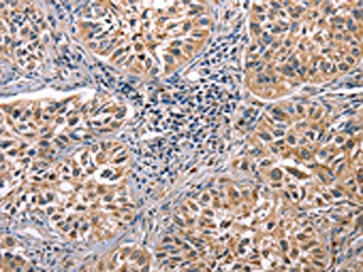
The image on the left is immunohistochemistry of paraffin-embedded Human cervical cancer tissue using CSB-PA919793(DEFA1 Antibody) at dilution 1/10, on the right is treated with fusion protein. (Original magnification: ×200)
-
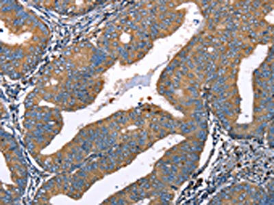
The image on the left is immunohistochemistry of paraffin-embedded Human lung cancer tissue using CSB-PA919793(DEFA1 Antibody) at dilution 1/10, on the right is treated with fusion protein. (Original magnification: ×200)
-
-
其他:
產品詳情
-
Uniprot No.:
-
基因名:DEFA1
-
別名:alpha 1 antibody; DEF1 antibody; DEF1_HUMAN antibody; DEFA1 antibody; DEFA1B antibody; DEFA2 antibody; Defensin 1 antibody; Defensin antibody; Defensin; alpha 1 antibody; Defensin; alpha 1; myeloid related sequence antibody; Defensin; alpha 2 antibody; HNP-1 antibody; HNP-2 antibody; HNP1 antibody; HP-1 antibody; HP-2 antibody; HP1 antibody; HP2 antibody; MRS antibody; Myeloid related sequence antibody; Neutrophil defensin 1 antibody; Neutrophil defensin 2 antibody
-
宿主:Rabbit
-
反應種屬:Human
-
免疫原:Fusion protein of Human DEFA1
-
免疫原種屬:Homo sapiens (Human)
-
標記方式:Non-conjugated
-
抗體亞型:IgG
-
純化方式:Antigen affinity purification
-
濃度:It differs from different batches. Please contact us to confirm it.
-
保存緩沖液:-20°C, pH7.4 PBS, 0.05% NaN3, 40% Glycerol
-
產品提供形式:Liquid
-
應用范圍:ELISA,IHC
-
推薦稀釋比:
Application Recommended Dilution ELISA 1:1000-1:2000 IHC 1:10-1:50 -
Protocols:
-
儲存條件:Upon receipt, store at -20°C or -80°C. Avoid repeated freeze.
-
貨期:Basically, we can dispatch the products out in 1-3 working days after receiving your orders. Delivery time maybe differs from different purchasing way or location, please kindly consult your local distributors for specific delivery time.
-
用途:For Research Use Only. Not for use in diagnostic or therapeutic procedures.
相關產品
靶點詳情
-
功能:Defensin 1 and defensin 2 have antibacterial, fungicide and antiviral activities. Has antimicrobial activity against Gram-negative and Gram-positive bacteria. Defensins are thought to kill microbes by permeabilizing their plasma membrane.
-
基因功能參考文獻:
- lower DEFA1/DEFA3 copy number (CNV < 7) is associated with higher susceptibility to hospital-acquired infections (HAIs) in critically ill patients, indicating that host genetic factors are involved in the development of HAIs PMID: 29950924
- Human Neutrophil Peptide 1 directly binds and neutralizes Exotoxin A of Pseudomonas aeruginosa. PMID: 29738776
- Pretreatment of component b with human alpha-defensin-1 prior to addition of component a of Clostridium perfringens iota toxin prevented intoxication implicating that alpha-defensin-1 interacts with the toxin b component to prevent the formation of biologically active iota toxin on cells. PMID: 29635426
- DEFA1, DEFA3, and PPBP expression was significantly increased in hyperlipidemia and coronary heart disease patients compared with controls. PMID: 28420383
- HNP1 upregulation of cytokine expression in pDCs was inhibited by blockade of NF-kappaB activation or knockdown of IRF1, demonstrating the importance of these two signaling events in HNP1-induced pDC activation. PMID: 27031443
- these results demonstrate that HNPs1-3 may be potent inhibitors of ADAMTS13 activity, likely by binding to the central A2 domain of VWF and physically blocking ADAMTS13 binding. PMID: 27207796
- Increased alpha-defensin expression is associated with risk of coronary heart disease in hyperlipidemia patients. PMID: 27430968
- Levels in sera and CSF were elevated in Alzheimer disease patients compared with controls. PMID: 27082275
- the decreased HNP-1 production in the polymorphonuclear phagocytes form elderly individuals might have an important participation in the increased susceptibility to infectious diseases. PMID: 26323500
- Increased levels of neutrophil defensin 1, apolipoprotein E, clusterin, and zinc-alpha-2-glycoprotein are present in carotid atherosclerotic plaque secretomes. PMID: 26795031
- HNP1 functions as a "molecular brake" on macrophage-driven inflammation, ensuring both pathogen clearance and the resolution of inflammation with minimal bystander tissue damage. PMID: 27044108
- HP1 binding to the chromosomal passenger complex becomes particularly important when Aurora B phosphorylates kinetochore targets to eliminate erroneous microtubule attachments PMID: 26954544
- data demonstrate that HNP-1 induces IL-8 production not only through P2Y6, but also through additional P2 receptors via an ERK1/2-dependent mechanism in intestinal epithelial cells. PMID: 25816245
- Results showed that NO and NaNO2 can be considered as factors regulating the chemoattractant properties of defensin HNP1 in neutrophils PMID: 25772994
- Overexpression of DEFA1 retained independent prognostic significance for B-ALL outcome. PMID: 25802479
- The expression of alpha-defensins 1, 2 and 3 is up-regulated in hypercholesteremia. PMID: 25300997
- Defensins promote the differentiation into activated CD91(bright) dendritic cells. PMID: 25351513
- Elevated DEFA1 levels in diabetes are independent of DEFA1 copy numbers. PMID: 25083086
- The AD-1 assay offers another test with high sensitivity and specificity for diagnosing a prosthetic joint infection. PMID: 25256621
- The concentrations of LL37, alpha-1, beta-1 and beta-2 defensins were determined by ELISA. Serum AMPs did not change during attacks and did not correlate with acute phase reactants. PMID: 24747281
- DEFA1 encodes an antibacterial peptide that is bacteriocidal against S. aureus, E. coli, and P. aeruginosa. PMID: 2997278
- Side chain hydrophobicity is the critical factor that determines HNP1 protein binding potential. PMID: 24236072
- A decrease in salivary HNP 1-3 levels might be a biological factor for predisposition to oral ulcers in patients with Behcet disease and oral infection in healthy patients. PMID: 22861387
- HNP-1 enhances hepatic fibrosis in fatty liver by inducing hepatic stellate cell proliferation. PMID: 23682724
- -defensin 1 increases EFS-induced contractions of rat detrusor muscles PMID: 23542712
- sub-inhibitory doses of HNP-1 potently enhance the activity of a number of anti-gp41 antibodies and peptide inhibitors PMID: 23785290
- Human defensin alpha-1 is an innate immune molecule that is secreted by HCT116 cells in response to Trypanosoma cruzi infection, inhibits Trypanosoma cruzi motility, and plays an important role in reducing cellular infection. PMID: 23980110
- Results indicate that the gene expression of DEFA 1/3 and 4 was significantly increased in all tumours - except for a significant decrease of DEFA 4 gene expression in pleomorphic adenomas. PMID: 23050799
- This study suggests that HNPs 1-3 promote tumor invasion and are potential indicators of disease progression in patients with bladder cancer. PMID: 23011762
- Invariant gly residue is important for alpha-defensin folding, dimerization PMID: 22496447
- alpha-Defensin (DEFA1) was the most differentially overexpressed gene in this sample and may be related to the onset of Bell's palsy and Ramsay Hunt Syndrome. PMID: 22737966
- expressional level of HNPs 1,2 and 3 were significantly higher and their distributions overlapped in cancerous tissues of gastric cancer patients PMID: 22297599
- Dimerization contributes to some but not all of the activities of HNP1. PMID: 22270360
- A high DEFA1 gene CN was significantly associated with intestinal involvement in BD patients. PMID: 22219625
- Directly isolated dendritic cells secrete alpha-defensins 1-3; E2 inhibits this secretion. Same trend is observed in myeloid dendritic cells isolated from pregnant women in their first trimester (low plasma E2) and third trimester (high plasma E2). PMID: 21861873
- Increased levels of human neutrophil peptides 1, 2, and 3 in peritoneal fluid of patients with endometriosis: association with neutrophils, T cells and IL-8. PMID: 21831449
- Human granulocyte precursors transfected with siRNA against serglycin displayed reduced capability to retain fully processed HNP-1. PMID: 21849484
- HNP1-3 concentrations in patients with multidrug-resistant tuberculosis were significantly lower than in drug-susceptible pulmonary TB and healthy controls PMID: 21333105
- Changes in the expression pattern of DEFA 1/3 seem to be involved in the development of gingival irritation fibromas, whereas chronic inflammation might be of less importance. PMID: 21187770
- alpha-defensins 1-3 in T cells from patients with SJS/TEN may be involved in the etiopathology of these life-threatening diseases induced by medications. PMID: 20880148
- defensin-alpha(1)is a biologically active peptide exhibiting a dose-dependent trypanocidal effect in vitro against trypomastigotes and amastigotes of Trypanosoma cruzi line Tulahuen PMID: 21165432
- HNP-1 (alpha), HBD-2 (beta) and RTD-1 (theta) have anti-HIV-1 activity, but different mechanisms of action PMID: 20305815
- HNP-1 mainly enhanced the expression of IL-8 in epithelial cells, whereas it enhanced transforming growth factor-beta and vascular endothelial growth factor expressions in lung fibroblasts. PMID: 20715983
- Our report of DEFA1-3 expression by human omental adipocytes adds to the role of adipocytes in the primary defense against bacterial infection. PMID: 20424487
- Data show that high production of alpha-defensins1-3 by immature DCs appears as a host protective factor against progression of HIV-1 infection, suggesting potential diagnostic, therapeutic and preventive implications. PMID: 20195543
- The total amount of gingival crevicular fluid human neutrophil peptides 1 and 2 were not different among periodontitis, gingivitis, and health control groups; there was no correlation with clinical periodontal parameters. PMID: 20151808
- HNP1 binds to the cell wall precursor lipid II and reduction of lipid II levels in the bacterial membrane significantly reduces bacterial killing. PMID: 20214904
- Combining the distance constraints from the 3d experiment and the chemical-shift-derived torsion angles, we obtained a de novo high-resolution NMR structure of HNP-1 PMID: 19963419
- HNP1 mediates host immune responses to tumors in situ through the recruitment and subsequent activation of immature dendritic cells PMID: 19861439
- The solid-state NMR structure of HNP-1 has close similarity to the crystal structures of the HNP family, with the exception of the loop region between the first and second beta-strands. PMID: 20097206
顯示更多
收起更多
-
亞細胞定位:Secreted.
-
蛋白家族:Alpha-defensin family
-
數據庫鏈接:
Most popular with customers
-
-
YWHAB Recombinant Monoclonal Antibody
Applications: ELISA, WB, IHC, IF, FC
Species Reactivity: Human, Mouse, Rat
-
Phospho-YAP1 (S127) Recombinant Monoclonal Antibody
Applications: ELISA, WB, IHC
Species Reactivity: Human
-
-
-
-
-















