DKK4 Antibody
-
中文名稱:DKK4兔多克隆抗體
-
貨號:CSB-PA153505
-
規格:¥1100
-
圖片:
-
The image on the left is immunohistochemistry of paraffin-embedded Human thyroid cancer tissue using CSB-PA153505(DKK4 Antibody) at dilution 1/20, on the right is treated with fusion protein. (Original magnification: ×200)
-
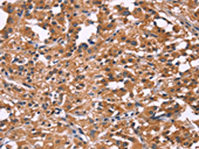
The image on the left is immunohistochemistry of paraffin-embedded Human liver cancer tissue using CSB-PA153505(DKK4 Antibody) at dilution 1/20, on the right is treated with fusion protein. (Original magnification: ×200)
-
-
其他:
產品詳情
-
Uniprot No.:
-
基因名:
-
別名:Dickkopf 4 antibody; Dickkopf gene 4 antibody; Dickkopf homolog 4 (Xenopus laevis) antibody; Dickkopf homolog 4 antibody; Dickkopf related protein 4 antibody; Dickkopf-4 antibody; Dickkopf-related protein 4 short form antibody; Dickkopf4 antibody; DKK 4 antibody; Dkk-4 antibody; DKK4 antibody; DKK4_HUMAN antibody; hDkk 4 antibody; hDkk-4 antibody; hDkk4 antibody; MGC129562 antibody; MGC129563 antibody
-
宿主:Rabbit
-
反應種屬:Human
-
免疫原:Fusion protein of Human DKK4
-
免疫原種屬:Homo sapiens (Human)
-
標記方式:Non-conjugated
-
抗體亞型:IgG
-
純化方式:Antigen affinity purification
-
濃度:It differs from different batches. Please contact us to confirm it.
-
保存緩沖液:-20°C, pH7.4 PBS, 0.05% NaN3, 40% Glycerol
-
產品提供形式:Liquid
-
應用范圍:ELISA,IHC
-
推薦稀釋比:
Application Recommended Dilution ELISA 1:2000-1:5000 IHC 1:50-1:200 -
Protocols:
-
儲存條件:Upon receipt, store at -20°C or -80°C. Avoid repeated freeze.
-
貨期:Basically, we can dispatch the products out in 1-3 working days after receiving your orders. Delivery time maybe differs from different purchasing way or location, please kindly consult your local distributors for specific delivery time.
-
用途:For Research Use Only. Not for use in diagnostic or therapeutic procedures.
相關產品
靶點詳情
-
功能:Antagonizes canonical Wnt signaling by inhibiting LRP5/6 interaction with Wnt and by forming a ternary complex with the transmembrane protein KREMEN that promotes internalization of LRP5/6. DKKs play an important role in vertebrate development, where they locally inhibit Wnt regulated processes such as antero-posterior axial patterning, limb development, somitogenesis and eye formation. In the adult, Dkks are implicated in bone formation and bone disease, cancer and Alzheimer disease.
-
基因功能參考文獻:
- Data suggest a critical role of dickkopf 4 (DKK4) in docetaxel resistance of the lung adenocarcinoma A549 (A549/DTX) cells. PMID: 28981599
- in NOD/SCID mice supplemented with high glucose, HepG2 xenografted tumors grew rapidly in which elevated levels of beta-catenin, c-Myc and decreased levels of DKK4 were detected. Knockdown of DKK4 by shRNA promotes proliferation of HCC cells in NG, which is suppressed by treating cells exogenously with recombinant DKK4 protein. Our in vitro and in vivo results indicate an important functional role of DKK4 in glucose fa... PMID: 27272409
- Our results indicated that DKK4 might be contributed to predicting EOC progression and prognosis. DKK4 could promote the invasion of EOC through JNK activation. PMID: 28666421
- We found that TCF7L1 recruits the C-terminal binding protein (CtBP) and histone deacetylase 1 (HDAC1) to the DKK4 promoter to repress DKK4 gene expression. In the absence of TCF7L1, TCF7L2 and beta-catenin occupancy at the DKK4 promoter is stimulated and DKK4 expression is increased. These findings uncover a critical role for TCF7L1 in repressing DKK4 gene expression to promote the oncogenic potential of CRCs. PMID: 28450117
- DKK4 expression is significantly upregulated in human masticatory mucosa during wound healing PMID: 28005267
- DKK4 may have function on the development and progression of pancreatic cancer. PMID: 26880586
- The recurrence of benign tumors of mammary gland occurred predominantly in women-carriers of mutant alleles with polymorphism rs8190924 of gene GSR and AA rs3763511of gene DKK4. PMID: 26419038
- DKK4 upregulated by T3/TR antagonizes the Wnt signal pathway to suppress tumor cell progression PMID: 23958302
- rs3923086 in AXIN2 and rs3763511 in DKK4 that did not show any association in the overall population were significantly associated with early on-set and estrogen receptor negative breast cancers, respectively. PMID: 23516639
- It would appear that deregulation of the WNT pathway by overexpression of DKK4 may further impair WNT signaling and lead to Anorectal malformations. PMID: 23108157
- Our findings suggest a potential tumour suppressive role of DKK4 as well as that of an important regulator of HCC. PMID: 22249261
- Found the unique expression of the Wnt antagonist DKK4 in SW480APC, but not parental SW480 cell-derived exosomes. Upregulation of DKK4 in SW480APC cells was confirmed by RT-PCR, immunoblotting, and immunogold electron microscopy. PMID: 22740476
- The TR/DKK4/Wnt/beta-catenin cascade influences the proliferation and migration of hepatoma cells during the metastasis process and support a tumor suppressor role of the thyroid hormone receptor. PMID: 21994129
- TFAP2E hypermethylation is associated with clinical nonresponsiveness to chemotherapy in colorectal cancer. Functional assays confirm that TFAP2E-dependent resistance is mediated through DKK4. PMID: 22216841
- Polymorphism of DKK4 was significantly associated with brain volume in Chinese individuals. PMID: 21341386
- chromosome 8 mapping by FISH PMID: 11701963
- DKK4 may play a role in schizophrenia pathogenesis PMID: 17553464
- DICKKOPF-4 is induced by TCF/beta-catenin and upregulated in human colon cancer, promotes tumour cell invasion and angiogenesis. PMID: 18408752
- DKK4 is an important negative regulator of colon cancer cell growth. PMID: 19059704
- Dickkopf-4 and -2 are significantly upregulated in most colorectal tumors PMID: 19659606
顯示更多
收起更多
-
亞細胞定位:Secreted.
-
蛋白家族:Dickkopf family
-
組織特異性:Expressed in cerebellum, T-cells, esophagus and lung.
-
數據庫鏈接:
Most popular with customers
-
-
YWHAB Recombinant Monoclonal Antibody
Applications: ELISA, WB, IHC, IF, FC
Species Reactivity: Human, Mouse, Rat
-
Phospho-YAP1 (S127) Recombinant Monoclonal Antibody
Applications: ELISA, WB, IHC
Species Reactivity: Human
-
-
-
-
-















