DNAJC3 Antibody
-
中文名稱:DNAJC3兔多克隆抗體
-
貨號:CSB-PA615670LA01HU
-
規格:¥440
-
圖片:
-
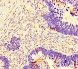
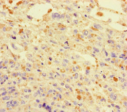
Immunohistochemistry of paraffin-embedded human ovarian cancer using CSB-PA615670LA01HU at dilution of 1:100
-
Immunohistochemistry of paraffin-embedded human melanoma using CSB-PA615670LA01HU at dilution of 1:100
-
Immunofluorescent analysis of Hela cells using CSB-PA615670LA01HU at dilution of 1:100 and Alexa Fluor 488-congugated AffiniPure Goat Anti-Rabbit IgG(H+L)
-
-
其他:
產品詳情
-
產品名稱:Rabbit anti-Homo sapiens (Human) DNAJC3 Polyclonal antibody
-
Uniprot No.:
-
基因名:
-
別名:DnaJ (Hsp40) homolog subfamily C member 3 antibody; DnaJ homolog subfamily C member 3 antibody; DNAJC3 antibody; DNJC3_HUMAN antibody; double-stranded RNA-activated protein kinase inhibitor antibody; Endoplasmic reticulum DnaJ protein 6 antibody; ERdj6 antibody; HP58 antibody; Interferon induced; double stranded RNA activated protein kinase inhibitor antibody; Interferon-induced antibody; P58 antibody; p58 ipk antibody; P58IPK antibody; PRKRI antibody; Protein kinase inhibitor of 58 kDa antibody; Protein kinase inhibitor p58 antibody; Protein kinase interferon inducible double stranded RNA dependent inhibitor antibody
-
宿主:Rabbit
-
反應種屬:Human
-
免疫原:Recombinant Human DnaJ homolog subfamily C member 3 protein (277-496AA)
-
免疫原種屬:Homo sapiens (Human)
-
標記方式:Non-conjugated
本頁面中的產品,DNAJC3 Antibody (CSB-PA615670LA01HU),的標記方式是Non-conjugated。對于DNAJC3 Antibody,我們還提供其他標記。見下表:
-
克隆類型:Polyclonal
-
抗體亞型:IgG
-
純化方式:>95%, Protein G purified
-
濃度:It differs from different batches. Please contact us to confirm it.
-
保存緩沖液:Preservative: 0.03% Proclin 300
Constituents: 50% Glycerol, 0.01M PBS, PH 7.4 -
產品提供形式:Liquid
-
應用范圍:ELISA, IHC, IF
-
推薦稀釋比:
Application Recommended Dilution IHC 1:20-1:200 IF 1:50-1:200 -
Protocols:
-
儲存條件:Upon receipt, store at -20°C or -80°C. Avoid repeated freeze.
-
貨期:Basically, we can dispatch the products out in 1-3 working days after receiving your orders. Delivery time maybe differs from different purchasing way or location, please kindly consult your local distributors for specific delivery time.
-
用途:For Research Use Only. Not for use in diagnostic or therapeutic procedures.
相關產品
靶點詳情
-
功能:Involved in the unfolded protein response (UPR) during endoplasmic reticulum (ER) stress. Acts as a negative regulator of the EIF2AK4/GCN2 kinase activity by preventing the phosphorylation of eIF-2-alpha at 'Ser-52' and hence attenuating general protein synthesis under ER stress, hypothermic and amino acid starving stress conditions. Co-chaperone of HSPA8/HSC70, it stimulates its ATPase activity. May inhibit both the autophosphorylation of EIF2AK2/PKR and the ability of EIF2AK2 to catalyze phosphorylation of the EIF2A. May inhibit EIF2AK3/PERK activity.
-
基因功能參考文獻:
- DNAJC3 p.H238N is likely to be a variant causing diabetes. PMID: 29767246
- p58IPK is a general inhibitor of the eIF2alpha kinases in that it also interacts with GCN2. Thus forced overexpression of cytoplasmic p58 delays eIF2alpha phosphorylation, suppresses GCN2 phosphorylation and prolongs protein synthesis PMID: 25329545
- Loss-of-function DNAJC3 mutations lead to a monogenic, recessive form of diabetes mellitus in humans. PMID: 25466870
- p58(IPK) suppresses coxsackievirus B3-induced apoptosis through selective activation of PI3K/Akt pathway that requires activation of ATF6a and subsequently upregulates mitofusin 2. PMID: 24134518
- interplay between p38 phosphorylation and p58(IPK) upregulation has key roles in modulating ERp29-induced cell-growth arrest and survival PMID: 22064321
- the crystal structure of human P58(IPK) PMID: 21799829
- Coxsackievirus B3 infection induces apoptosis through downregulation of p58IPK and activation of CHOP and SREBP1. PMID: 20554776
- Spleen cells from transgenic mice overexpressing (Hu)PKR were studied and compared to those from wild-type mice after drug treatment. Dact-treated spleen cells were resistant to apoptosis; ConA-treated cells had decreased cell division. PMID: 12034040
- P58(IPK) is an important component of a negative feedback loop used by the cell to inhibit eIF2alpha signaling, and thus attenuate the unfolded protein response. PMID: 12601012
- The study demonstrates that P58(IPK) inhibits endoplasmic reticulum (ER) stress and plays an important role in maintaining balance and stability of the ER in human retinal capillary endothelial cells. PMID: 18568130
顯示更多
收起更多
-
相關疾病:Ataxia, combined cerebellar and peripheral, with hearing loss and diabetes mellitus (ACPHD)
-
亞細胞定位:Endoplasmic reticulum.
-
組織特異性:Widely expressed with high level in the pancreas and testis. Also expressed in cell lines with different levels.
-
數據庫鏈接:
Most popular with customers
-
-
YWHAB Recombinant Monoclonal Antibody
Applications: ELISA, WB, IHC, IF, FC
Species Reactivity: Human, Mouse, Rat
-
Phospho-YAP1 (S127) Recombinant Monoclonal Antibody
Applications: ELISA, WB, IHC
Species Reactivity: Human
-
-
-
-
-















