DNAL1 Antibody
-
中文名稱:DNAL1兔多克隆抗體
-
貨號:CSB-PA683815ESR1HU
-
規格:¥440
-
圖片:
-
Western blot
All lanes: DNAL1 antibody at 4μg/ml
Lane 1: Hela whole cell lysate
Lane 2: HepG2 whole cell lysate
Secondary
Goat polyclonal to rabbit IgG at 1/10000 dilution
Predicted band size: 22, 9, 18 kDa
Observed band size: 22 kDa -
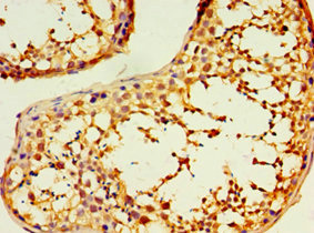
Immunohistochemistry of paraffin-embedded human testis tissue using CSB-PA683815ESR1HU at dilution of 1:100
-
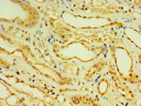
Immunohistochemistry of paraffin-embedded human kidney tissue using CSB-PA683815ESR1HU at dilution of 1:100
-
-
其他:
產品詳情
-
產品名稱:Rabbit anti-Homo sapiens (Human) DNAL1 Polyclonal antibody
-
Uniprot No.:
-
基因名:DNAL1
-
別名:axonemal antibody; Axonemal dynein light chain 1 antibody; Axonemal dynein light chain antibody; C14orf168 antibody; Chromosome 14 open reading frame 168 antibody; CILD16 antibody; DNAL 1 antibody; dnal1 antibody; DNAL1_HUMAN antibody; Dynein axonemal light chain 1 antibody; Dynein light chain 1 antibody; Dynein light chain 1 axonemal antibody; MGC12435 antibody
-
宿主:Rabbit
-
反應種屬:Human
-
免疫原:Recombinant Human Dynein light chain 1, axonemal protein (41-190AA)
-
免疫原種屬:Homo sapiens (Human)
-
標記方式:Non-conjugated
-
克隆類型:Polyclonal
-
抗體亞型:IgG
-
純化方式:Antigen Affinity Purified
-
濃度:It differs from different batches. Please contact us to confirm it.
-
保存緩沖液:PBS with 0.02% sodium azide, 50% glycerol, pH7.3.
-
產品提供形式:Liquid
-
應用范圍:ELISA, WB, IHC
-
推薦稀釋比:
Application Recommended Dilution WB 1:200-1:1000 IHC 1:20-1:200 -
Protocols:
-
儲存條件:Upon receipt, store at -20°C or -80°C. Avoid repeated freeze.
-
貨期:Basically, we can dispatch the products out in 1-3 working days after receiving your orders. Delivery time maybe differs from different purchasing way or location, please kindly consult your local distributors for specific delivery time.
-
用途:For Research Use Only. Not for use in diagnostic or therapeutic procedures.
相關產品
靶點詳情
-
功能:Part of the multisubunit axonemal ATPase complexes that generate the force for cilia motility and govern beat frequency. Component of the outer arm dynein (ODA). May be involved in a mechanosensory feedback mechanism controlling ODA activity based on external conformational cues by tethering the outer arm dynein heavy chain (DNAH5) to the microtubule within the axoneme. Important for ciliary function in the airways and for the function of the cilia that produce the nodal flow essential for the determination of the left-right asymmetry.
-
基因功能參考文獻:
- DNAL1 and MAP4 may exert their functions in the HIV life cycle at reverse transcription, prior to nuclear translocation. PMID: 22018492
- DNAL1 mutation could help to elucidate the interaction between the DNAL1 to dynein heavy chain and to tubulin. PMID: 21496787
- identification of the human (DNAL1) ortholog of the Chlamydomonas LC1-gene; protein interaction studies demonstrated binding of DNAL1 and DNAH5; DNAL1 considered a candidate for primary ciliary dyskinesia PMID: 15845866
-
相關疾?。?/div>Ciliary dyskinesia, primary, 16 (CILD16)亞細胞定位:Cytoplasm, cytoskeleton, cilium axoneme.蛋白家族:Dynein light chain LC1-type family組織特異性:Expressed in tissues carrying motile cilia such as respiratory epithelia, ependyma and testis.數據庫鏈接:
Most popular with customers
-
-
YWHAB Recombinant Monoclonal Antibody
Applications: ELISA, WB, IHC, IF, FC
Species Reactivity: Human, Mouse, Rat
-
Phospho-YAP1 (S127) Recombinant Monoclonal Antibody
Applications: ELISA, WB, IHC
Species Reactivity: Human
-
-
-
-
-















